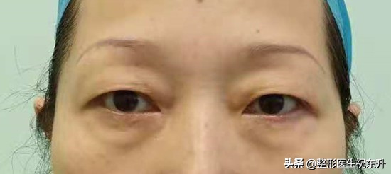
年纪越大,眼周的问题越严重,上眼皮松弛、有脂肪堆积,伴有眼窝凹陷,下眼睑膨隆(出现了眼袋),看起来像50、60岁的人,显老几十岁。看着镜子里不再年轻的自己,我实在忍不了了,决定改变。

毕竟是在脸上动刀子,而且是在眼周,马虎不得,为了自身的安全,我决定在北京做手术。
当时祝大夫给分析了眼周存在的衰老问题,手术操作的过程,能解决那些问题,以及手术后可能出现的问题。给我的感受是:祝大夫很专业、很实在。

手术方案是:提眉和祛眼袋同时手术。
手术是做的局部麻醉,除了打麻药的时候有点疼,手术过程中是感觉不到疼痛的,但能感觉到祝大夫的操作,时不时还要我配合一下。
术后第1天:
做完后眼睛有点淤青,手术部位有点肿胀,护士说这是正常情况,可以用冰敷来缓解,同时饮食尽量清淡,不能压迫手术部位。
可能有的姐妹比较关心,术后疼不疼?我觉得不怎么疼,在可忍受的范围内。若您对痛感特别的敏感,可以和医生沟通配止疼药。
术后第10天:

我之前还担心疤痕太明显的问题,看了祝大夫的缝合技术,放心了大半。现在提眉和眼袋的切口缝线都拆掉了,切口呈一条很细的线状,祝大夫的缝合技术真是不错。恢复挺快的,这才刚10天,虽然还能看到一些淤青,但已经不怎么肿了,能大致看出术后效果。
最让我开心的是,之前被遮盖的双眼皮也露了出来,眼睛看起来大了一些,人更精神了。
给我感觉是:做提眉比割双眼皮手术恢复的还要快。
欲了解更多提眉手术的相关问题,可关注头条号:整形医生祝东升。
#提眉手术# #提眉留疤# #提眉切眉术# #提眉术眉毛# #整容# @头条健康