德宏州人民医院肿瘤血液科目前利用粒子植入治疗术治疗中晚期癌症病人获得满意的效果,标志着医院在恶性肿瘤治疗方面取得重大突破。
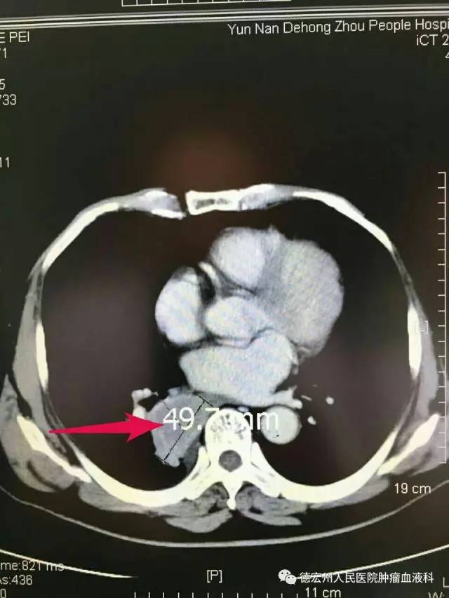
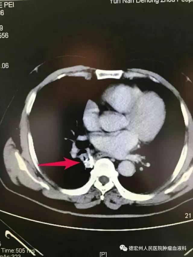
患者一,男,74岁,因乏力、纳差10余天于今年4月到州人民医院就诊,CT检查发现:患者右肺肿块。经CT引导下肺穿刺活检术,术后病理:右肺下叶鳞状细胞癌。患者确诊后转诊至省级医院,拟行外科手术治疗,但由于患者高龄,基础疾病较多(高血压、糖尿病、脑梗塞、肾功能不全等)不能耐受外科手术。于6月再次到州人民医院肿瘤血液科就诊,并于6月24日在CT引导下行经皮肺穿刺右下肺癌粒子植入手术治疗。 8月回院复诊时发现,其右下肺癌肿块消失。碘125粒子植入术又称体内伽玛刀,是肿瘤近距离放射治疗的一种,是治疗肿瘤的新手段。该项技术在局麻下完成,有创伤小、并发症少、术后恢复快等优点。从本患者的医治情况看,此技术疗效确切,获得满意的治疗效果。

① 术前右下肺约5cm肿块

② 术后右下肺肿块消失
患者二,男,69岁,因确诊前列腺癌一年入院。确诊时分期晚,高龄,基础疾病较多(高血压、脑梗塞等),无手术指征。给予内分泌及药物去势治疗。患者近一月来出现排尿困难,再次到医院就诊。并于8月21日在院外专家的指导下接受了CT引导下经皮穿刺前列腺癌粒子植入治疗术。该手术的开展,标志着州人民医院前列腺癌的治疗翻开了新的篇章。

①手术中

② 术后粒子分布良好
德宏州人民医院肿瘤血液科 供稿
点击“阅读原文”,*载下**Hi德宏,获取更多新闻资讯!
责编 朱边勇 高怀芬
审核 陈仲全 刘晓燕
