
2021年,随着TAVR术式在国内进一步开展,临床上也遇到越来越多的疑难病例,为方便与国内外同道深入交流,广东省人民医院罗建方教授,范瑞新教授、李捷教授TAVR团队特开展“经典病例周周谈”活动,每周分享一例经典病例以推进TAVR术式的普及和疑难病例的处理。
近日,广东省人民医院罗建方教授,范瑞新教授,李捷教授TAVR团队完成一例因造影剂过敏,无法完成术前常规CT评估的高难度手术。
每周寄语-超声引导下TAVR
目前TAVR手术术前评估的金标准是CTA,但在某些情况下,患者因为各种原因无法耐受CT检查,这时候心脏彩超就成为术前评估的重要手段。作为术前评估,心脏彩超除了常规指标外,会有更多的解剖学测量要求。比如我们需要准确描述瓣叶分型,二叶瓣还是三叶瓣,二叶瓣的方向如何。冠脉开口高度多少,在冠脉开口水平是否可以看到活动的瓣叶。类似CTA的评估,需要测量流出道,瓣环平面,窦的大小,STJ以及升主动脉大小。根据超声测量瓣环和流出道大小,结合瓣叶的分型,估测大概的瓣膜尺寸,再用合适的球囊来做balloon sizing,最终决定瓣膜尺寸。
超声引导下TAVR最重要的是配合默契的超声医师,需要术者在平时有CT的情况下和超声医师反复的沟通,这样超声医师才知道术者所需要知道的数值以及测量的方法。当遇到需要超声引导时,超声医师才能很好地配合术者进行测量。入路的评估可以通过超声结合术中造影的结果进行。最后一个难点就是投照角度的选择。个人经验是常规三叶瓣一般从左足位开始找,二叶瓣多数是左肩位往右足位的方向找,此外要记住下面这张图(图1),根据术中造影结果逐步调整到合适的角度。


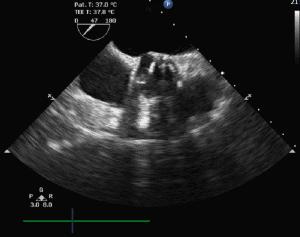
术前评估



患者女,85岁,术中经食道超声评估,为三叶瓣,重度钙化,瓣环径20mm,左室流出道19mm,法式窦29mm,STJ21.5mm较小,双冠高度可。
术中,术者综合考虑,决定使用Numed18号球囊进行预扩,预计植入VenusA23号瓣膜。
患者超声下入路尚可,左右股腹主无明显迂曲,选取右股作为主入路进行操作。

术中操作
患者插管后已可以耐受造影剂,常规左侧作为辅入路进行操作,翻山造影后进行穿刺等操作,患者辅入路植入猪尾造影,根据造影调整体位使无窦,右窦,左窦分离,右窦居中,三个窦保持在同一平面,之后常规跨瓣进行后续操作。

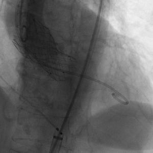
主动脉根部造影

Numed18球囊扩张

瓣膜释放01

瓣膜释放02

释放后造影

入路造影
术后评价
术后患者跨瓣压差由79改善为低于10,术中造影剂控制在120ml以下,气管插管下患者无明显过敏反应,术后加强利尿,患者顺利苏醒,第二天即可下床活动。
总 结
罗建方教授TAVR团队术后表示,随着TAVR手术在国内的推广,临床上越来越多的遇见疑难病例,如心衰严重,或造影剂过敏,无法常规行术前CT评估,这要求手术中心拥有强大超声在内MDT团队,新开展手术中心在建设TAVR团队时,也应与超声,麻醉等科室进行精密合作,多学科合作,以便应对复杂病例。
团队介绍

罗建方
医学博士、主任医师、博士生导师。现任广东省人民医院南海医院院长、广东省人民医院血管病诊疗中心主任、广东省冠心病防治研究重点实验室副主任。
学术任职:
美国心脏病学院Fellow (FACC)、欧洲心脏病协会Fellow (FESC)、美国心血管造影与介入学会Fellow (FSCAI)、首批Global Hybrid Algorithm Community国际认证Hybrid CTO带教专家、卫生部心血管疾病介入诊疗培训基地(冠心病介入治疗)导师。
中华医学会心血管病学分会大血管学组副组长、中国研究型医院学会心血管影像专业委员会副主任委员、中国研究型医院学会血管医学专业委员会副主任委员、中国医疗保健国际交流促进会血管疾病分会副主任委员、中国医疗保健国际交流促进会难治性高血压与周围动脉病分会副主任委员、中国医药教育协会血管医学分会副主任委员、广东省介入性心脏病学会周围血管介入分会主任委员、广东省医师协会心血管介入医师分会副主任委员、广东省医师协会心血管内科医师分会常务委员、广东省医学会心血管病分会结构性心脏病学组副组长等。
血管疾病多学科协作论坛(VMDT)执行主席、冠心病与周围血管介入沙龙(CPIS)执行主席、亚太CTO俱乐部广州峰会共同执行主席、亚洲心脏病学会年会秘书长等。
技术特长:
擅长复杂冠脉病变、主动脉疾病、瓣膜疾病、周围血管病等的介入治疗。在国内率先开展脑保护装置下颈动脉介入治疗、经桡动脉行肾动脉介入治疗、快速起搏与经皮穿刺主动脉腔内修复术(TEVAR),2016年4月完成华南地区首例经导管主动脉瓣置换术(TAVR),2019年2月成功实施全球首例经股动脉途径TAVR联合TEVAR一站式手术,团队整体TAVR手术量已超过500台,已经帮助全国100家中心开展TAVR手术。
科研成果:
获中国医药教育协会科学技术奖二等奖1项、广东省科学技术奖二等奖2项、三等奖2项。参编学术专著6部,发明专利4项,发表学术论文100余篇。先后承担省市级课题数项,培养硕博士20余人,目前在研经费超过500万元。

李捷
医学博士,副主任医师,硕士导师
学术任职
中国医师协会心血管病分会结构组委员
广东省介入性心脏病协会结构分会常务委员
广东省医师协会心血管介入医师分会委员
广东省医师协会高血压分会青年委员
广东省医院协会心血管质控管理分会结构性心脏病学组委员
中国大湾区心脏协会精准诊疗分会委员
中国结构周秘书长
血管疾病多学科协作论坛(VMDT)秘书
技术特长
擅长经导管主动脉瓣置换术,手术量超600台,帮助全国70多家中心开展TAVR手术。擅长复杂冠脉病变、主动脉疾病、瓣膜疾病、周围血管病等的介入治疗。