类风湿关节炎是另许多人都感到头痛的一种慢性炎症性疾病,容易使关节受累产生红、肿、热、痛等现象,还会产生其他并发症和全身症状,限制患者正常系统功能,影响患者的生活质量。

早期类风湿关节炎发作时,常使手、足等小关节出现对称性的肿胀、疼痛、僵硬、变形等,关节疼痛一般呈持续性,受累关节受到局部的压迫时会产生疼痛加重现象,关节畸形则体现在关节的骨性强直,或者掌指关节半脱位,手指尺侧偏斜等情况。
此外,类风湿关节炎是一种全身性疾病,除了上述症状,根据个人体征的差异,类风湿关节炎还可表现出晨僵、低热乏力、食欲减退、关节外器官受累,导致肺脏、心脏、肾脏等器官发生损害,从而引起相关症状。
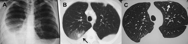
类风湿结节就是类风湿关节炎的关节外表现之一,不少患者在得了类风湿关节炎后出现了各种症状,比如胸部CT显示肺部多发结节,出现一个个“疙瘩”,心中不免有许多猜疑和担忧。事实上,这种疙瘩正和类风湿结节有关,让我们来认识一下什么是类风湿结节。
类风湿结节是类风湿关节炎常见的关节外表现,容易出现在患者关节周围以及受摩擦的部位,比如肘关节、枕骨部和骶尾部,表现为圆形无痛质硬结节,其中心有胶原纤维坏死,周围有栅栏状排列的吞噬细胞及纤维细胞。
结节于疾病早期发生率7%,随着疾病发展其发生率可高达30-40%,多见于类风湿因子阳性(98.3%)及疾病控制不佳的患者。
类风湿结节对患者影响程度取决于疾病结节发生部位,尺骨鹰嘴、前臂、手指和脚跟等关节伸侧受压部位最常见,肺部类风湿结节多见于外周及胸膜下等肺周边部位,直径可以从数毫米到数厘米。少数影响骨髓、声带、心脏瓣膜等重要器官。
多数类风湿结节是固定和无痛的,发生足掌及跟腱等引起明显不适,表浅部位的类风湿结节常根据病史及临床表现不难诊断,肺部及内脏部位类风湿结节需与莫顿神经瘤、结核及肿瘤性鉴别,必要时可能需要病理活检明确诊断。
类风湿结节这项症状表现可以持续存在数周、数月甚至数年,少数患者的类风湿结节可以逐渐软化、缩小,甚至于消失。也有一部分类风湿结节出现于心脏、肺脏、脑膜等处,常引起相应系统的症状,患者在出现这类症状时,需要要及早诊断,做详细的病理检查,以免延误治疗时机,给身体器官造成不可挽回的损害。
哪些人群易出现类风湿结节?
类风湿关节炎病程长、类风湿因子及抗CCP抗体强阳性、吸烟都可增加罹患类风湿结节风险,此外治疗效果不佳的活动性类风湿关节炎患者有更高类风湿结节发生率。
对于加速型类风湿结节常在短期内快速增长,需要及时就诊,调整类风湿关节炎治疗方案。
治疗上首要任务是控制疾病活动,常用药物包括激素及甲氨蝶呤、来氟米特、环磷酰胺等慢作用药物,近年来生物制剂用于治疗类风湿结节有效,CD20单抗可用于治疗难治性类风湿结节。
总之,积极控制类风湿关节炎,达到治疗目标,减少呼吸道感染、戒烟可减少类风湿结节的发生率,RA患者一旦发现肺部或皮下结节,先不要惊慌,更不要自暴自弃,应尽快至风湿免疫科专科就诊,接受规范治疗以控制病情。