胰腺导管腺癌(PDA)是最常见的一种胰腺癌,致死率高,预后极差。治疗PDA一直是临床研究中一项极具难度的挑战。大部分胰腺癌在确诊时已是晚期,癌细胞的转移难题一直困扰着研究学者们。
在3月4日发表于Science Translational Medicine上的一篇研究中,来自China Medical University等机构的研究人员揭示了白细胞介素-17受体B(IL-17RB)在胰腺导管腺癌转移中的重要作用及其机制。同时,研究证实,通过阻断IL-17RB的激活可抑制肿瘤的发生和转移并延长胰腺癌小鼠的寿命。

早在2015年,研究团队就发现胰腺癌细胞表面有大量的IL-17RB表达,而且使用IL-17RB抗体能阻断IL-17RB与其配体IL-17B的结合,显著延长小鼠模型的寿命。
但是在正常的辅助型T细胞2(Th2)上,IL-17RB会作为IL-17E的受体发挥作用。研究人员发现在敲除IL-17RB后,小鼠容易被微生物感染。
因此需要找到一种方法,在阻断胰腺癌细胞中IL-17RB的作用的同时保留正常免疫细胞中IL-17RB的功能。
IL-17RB属于IL-17受体家族,这一家族中还包括:IL-17RA、IL-17RC、IL-17RD和IL-17RE。这类分子往往会经过配对形成异源或同源二聚体结构,不同的配对会产生不同的下游效应。如IL-17RB和IL-17RA能形成异源二聚体结合IL-17E,发挥免疫作用。
但在本项研究中,研究人员发现,由于IL-17RB在胰腺癌细胞表面大量表达,所以IL-17RB更倾向于和另一个IL-17RB结合形成同源二聚体。
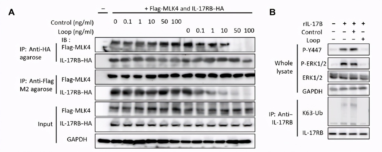
进一步机制探究后他们发现,IL-17RB同源二聚体形成后会在细胞内部招募磷酸激酶MLK4,使IL-17RB在酪氨酸447位点磷酸化,进一步招募泛素E3连接酶TRIM56与磷酸化的IL-17RB结合,TRIM56将K63链接的泛素链添加到IL-17RB的赖氨酸470上,再招募Act1等相关因子,向下游传递致癌信号。

研究团队还设计了一种特异性环肽,能够阻断MLK4与IL-17RB的结合,消除了酪氨酸447的磷酸化和赖氨酸470的泛素化。

在动物模型中也证实,这种阻断方法显著降低了胰腺癌小鼠模型中癌细胞转移至肝脏与肺的机率,并延长了小鼠的寿命。

值得一提的是,相比于利用抗体抑制IL-17RB的激活,这种环肽可以专一性抑制肿瘤细胞中IL-17RB所导致的癌细胞转移,不影响Th2的免疫应答,是一种更好的治疗策略。
研究团队表示,接下来,他们会继续开发更稳定的小分子药物用于治疗胰腺癌。