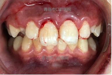
孩子一个不小心磕伤了两颗大门牙,血流不止,拍片一检查,两颗门牙从牙根中1/2处折断,牙齿还能有救吗?3月7日下午5点,一位焦急的家长带着流泪不止的孩子赶到青岛市口腔医院口腔急诊科。
在口腔急诊科诊室,张倩妮医生、刘靖医生仔细检查了患儿的情况。患儿男,11岁,下午3点左右不慎跌倒致上前牙外伤,于外院就诊拍片检查,两颗门牙牙根根中折断。

听了儿子的情况后,患儿妈妈眉头一紧,儿子的两颗门牙还能保住吗?其实,来此之前,儿子的门牙已经被判“死刑”。在外院就诊时,患儿家长被告知,由于折裂位置较深,可能要拔掉。
由于孩子年仅11岁,门牙缺失后要等到18岁才能进行种植牙修复,活动义齿修复会给年幼的孩子带来生活上的不便。如果不做义齿修复保持间隙、维持咀嚼功能,不仅影响孩子的面部形象,更重要的是影响颌骨发育及后期的种植修复。在这种情况下,家长根据外院推荐,马不停蹄从城阳区赶到了青岛市口腔医院就诊。

鉴于患儿的特殊情况,急诊科张倩妮医生、刘靖医生分别开展工作,张医生对患儿进行详细的口腔检查,刘医生安抚家长情绪并解释病情。由于患儿为两个上门牙牙根中折断,病情紧急,治疗复杂,预后较差,为尽可能保证治疗效果,张医生联系儿童口腔科会诊。了解患儿情况后,儿童口腔科杨玉娥主任及谭军艳医生提出精准详细的诊疗建议与指导。

诊疗建议就是试行复位固定,将门牙尽量保留。而牙根折断复位固定施术中,由于牙根在牙槽骨内不可见,折断面血凝块已形成,牙齿个体差异大等原因,复位难度非常大,几乎相当于闭着眼睛,全凭医生的手感,通过微细的调整,将折断的牙齿严丝合缝对接上。

第一次对接复位尝试,拍片后发现折断牙齿未完全对接复位。此时,刚刚忙完科内病人诊治工作的谭军艳医生,再次来到急诊科协助诊疗。由张倩妮医生与谭军艳医生联合治疗,在赵海平护士配合下,经多次复位,拍片确认,顺利将折断牙完全复位,达到预期治疗效果。

看到跟以前几乎一模一样的牙齿,孩子从最初的惊慌害怕中恢复过来,还跟护士阿姨开起了玩笑,说担心自己还没有完成作业。医生叮嘱,断根接回去后,需小心呵护,两周后复查。
临走时,患儿妈妈眼眶湿润,一再地说:“医生,来的路上我特别担心,心慌得要命,看到你们每个人都这么尽心尽力,既专业又暖心,我就知道我来对地方了,肯定错不了,你们真是太辛苦了,感谢你们”。家长质朴的语言,打动了在场的每一位医护人员。
3月7日、8日连续两天,青岛市口腔医院急诊科接连接诊两例儿童牙外伤。儿童牙外伤多发,令人遗憾的不是“意外来敲门”,而是面对意外,很多家长仍然不知所措!

很多家长都认为
孩子牙齿磕断了不要紧
等长大了再治疗
还有的家长认为
牙齿磕掉了就真的是掉了
再也补不回来了
其实牙齿磕掉了或磕断了
一是要及时治疗

青岛市口腔医院
儿童口腔科杨玉娥主任
提醒家长和老师
发现孩子牙外伤情况后
一定要正确进行处理
无论牙齿伤得轻重
无论有无疼痛感觉
都应及时到医院就诊

发生牙外伤该如何应对
今天我们就来说说
最常见的两类较严重牙外伤
牙折断和牙脱位

牙折断
分为冠折未露髓、冠折露髓、根折

本图源于网络,仅用于科普。如有侵权请联系删除。
牙齿断裂怎么办
A别扔
断牙不要随意丢弃
可以暂时存放在
有生理盐水的容器中
就医时带上备用
B就医
及时就医
千万不要因为外伤牙不疼
而耽误最佳治疗时机
C治疗
若牙冠折断未暴露牙髓
直接护髓再断冠粘接修复
若折断已暴露牙髓
先做牙髓治疗
待病情稳定后再断冠再接修复
根折则需根据X线片确定治疗方案
D定期复查
外伤牙预后较为复杂
需要定期复查
牙脱位
包括牙挫入、牙移位、全脱出
其中全脱出最为严重

本图源于网络,仅用于科普。如有侵权请联系删除。
牙齿脱落怎么办
A捡牙
捡起牙齿
用手捏住牙冠
注意别碰到牙根
B冲洗
若牙齿已经落地有泥沙污染
可以使用流水冲洗干净
最好使用生理盐水
注意不要搓洗牙根
不要用酒精等刺激性液体
C保存
冲洗干净的牙齿
应立即放入
生理盐水中或牛奶中
也可以短时间
含在患儿或家长的舌下和颊部
注意不要用纸、干布或者棉花包裹
D就医
分秒必争到专科口腔医院
找牙医复位

(这是手持脱落牙齿的正确方式)
为什么要分秒必争?
因为时间就是成功率!
牙齿脱出牙槽窝时间越短
再植成功率就越高
划重点
15-30分钟:复位的黄金时间

牙外伤后的疑问
有些牙外伤后没啥明显疼痛
为什么也需到医院就诊呢
因为牙齿受外力发生震荡后
可能会牙髓坏死、牙根吸收
必须以防万一
还有的牙冠折断没有露神经
但是牙齿的表层折断后
细菌会从折断面慢慢侵入牙神经
所以疼不疼都需要及时就诊
并拍摄X线片,对症治疗,定期复查
乳牙碰伤要紧吗?
虽说乳牙碰伤了还有恒牙替换
但可能会损伤牙根下方的的恒牙
所以家长也不要忽视
及时送医进行诊治

总之
做好保护,预防第一
若有牙伤,及时就医
不要随意扔掉断齿
珍惜黄金三十分钟

转发到您的朋友圈吧
您的一次转发
说不定可以
保住孩子一颗牙齿