一、TORCH综合症:
TORCH综合症是病毒或原虫感染脑组织引起脑炎。包括弓形体原虫、风疹病毒、巨细胞病毒、疱疹病毒,以疱疹病毒最为常见。主要发生于胚胎期或分娩过程中,故又称先天性宫内感染或先天性TORCH感染。
巨细胞病毒感染引起的钙化常位于脑室周围,可引起胎儿脑发育畸形,如巨脑回畸形、多小脑回畸形、无脑回畸形。
弓形体原虫感染引起的钙化常靠外围,可散在分布于脑实质,往往引起中脑导水管狭窄。
疱疹病毒感染出现钙化可很晚,于3岁后才出现。

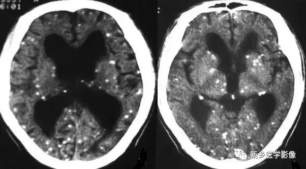
二、脑囊虫病
脑囊虫病慢性期,囊虫死亡以后,囊液逐渐被吸收,囊虫被机化,最后出现钙化。
钙化特点:多发、散在结节样钙化。钙化病灶通常较小、较圆、大小较均匀,少者单发或仅数个,多者可弥漫性分布于全部脑实质。

三、脑结核病
结核性脑膜炎患者后期,约半数在靠近颅底部、鞍区附近出现散在钙化斑点,区别于其他细菌性脑膜炎。
脑内结核瘤早期,中线干酪样坏死区可出现斑点状钙化,增强扫描时周围呈环状强化,与病灶中心点状高密度钙化,构成典型的结核瘤的“靶样征”,是识别结核瘤的重要证据;
晚期,整个结核瘤可出现钙化,呈结节状,也可仅其壁部分出现钙化,呈断续之环状或蛋壳状。

四、脑包虫病
以在脑实质里形成巨大囊肿为特征,囊壁可出现壳状钙化完整或不完整,或囊壁出现结节样钙化,囊壁钙化的出现有助于与囊壁无钙化的颅内囊性病变区别,如神经上皮囊肿、蛛网膜囊肿。

五、脑肺吸虫病:
脑肺吸虫病晚期,病灶区可出现钙化,且常为蛋壳样钙化,以多分壳样钙化聚集在一起最为典型。

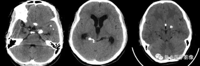
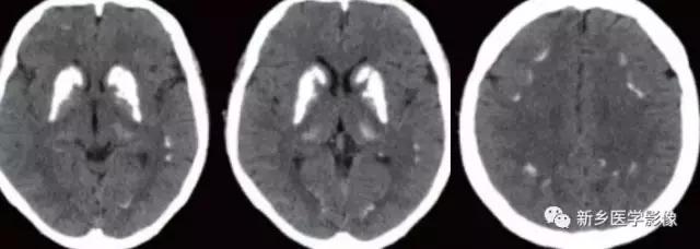
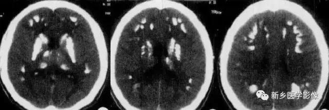
六、甲状旁腺功能低下
临床表现:与低血钾有关,主要表现有癫痫发作、注意力不集中、记忆和定向障碍、白内障、皮肤粗糙。生化检查特点:血清钙降低,血清磷增高。CT表现:钙化多位于基底节区,呈双侧对称性。在丘脑、小脑齿状核、大脑半球皮层下级皮髓质交界区,也可出现两侧较对称,呈斑片状、条形、月牙状或点状钙化。

七、假性甲状旁腺功能低下(PHP)
组织对甲状旁腺激素无反应,导致低血钙症,称假性甲状旁腺功能低下,生化检查示血钙降低。好发于儿童级青少年。脑内钙化与甲状旁腺功能低下相似,诊断主要依靠临床及生化检查。

八、继发性甲状旁腺功能亢进
本病主要表现有无力、易疲乏、肾绞痛、腹痛、关节痛、便秘,也可有精神症状,生化检查时血清钙升高。常表现为硬脑膜广泛钙化,如大脑镰、小脑幕等。基底节区及其他脑实质内也可以同时出现钙化,常较对称,诊断需结合临床。
九、维生素D中毒
表现为颅内多发钙化斑片,常呈双侧对称性分布。
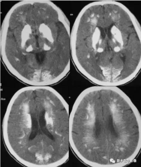
十、结节性硬化
是一种先天性、家族性、遗传性疾病。
临床表现:以皮脂腺瘤、癫痫和智力低下三联征为特征。CT:沿侧脑室边缘对称性排列的钙化结节。

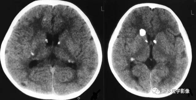
十一、特发性家族性脑血管铁钙质沉着症(Fahr’s病)
病理学上以双侧基底节区铁钙质沉积为特征。也可发生于丘脑、小脑齿状核和皮质下区。CT表现为双侧基底节区对称性钙化,呈均质较高密度,轻者钙化仅局限于苍白球、尾状核、壳核和丘脑,严重者大脑半球皮层下、小脑齿状核和脑回呈弥漫性广泛性钙化。

十二、科克因综合症
又称20-三体综合征,常于20-30岁死亡。CT:双侧基底节区及其他部分钙化,颅骨和脑膜增厚,脑室和脑沟扩大,脑白质脱髓鞘呈斑点状或斑片状,CT扫描呈低密度,MRI T2WI呈高信号。

十三、神经纤维瘤病
临床表现:皮肤牛奶、咖啡斑,多在幼年或出生时即可看到。
钙化少见,大脑半球及小脑半球表面可钙化,少数情况下室管膜下及基底节亦可发生钙化。
十四、基底细胞痣综合征
颅内可发生钙化,常位于大脑镰及小脑幕,也可发生于脑实质内。

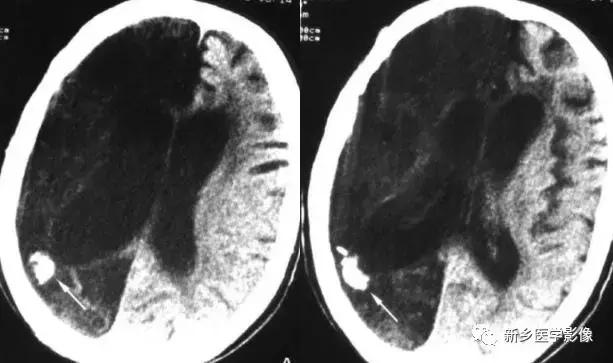
十五、外伤后颅内钙化
外伤后导致颅内钙化少见,主要见于慢性硬膜下血肿及硬膜外血肿,钙化多呈条状或环状,分布于原血肿部位,结合病史易于诊断。

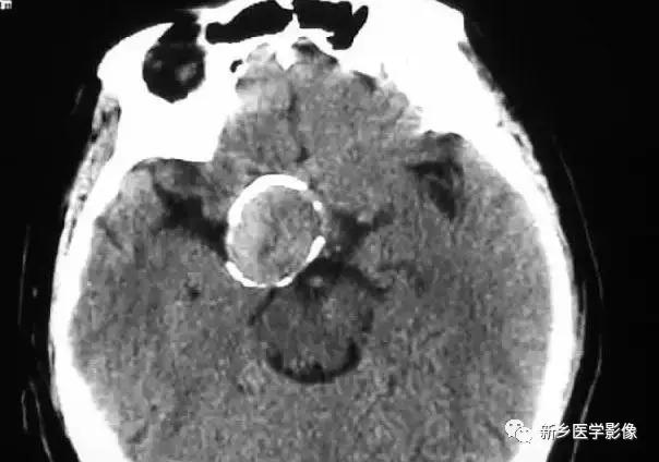
十六、颅内动脉瘤
部分或者完全血栓形成的动脉瘤,其壁常出现弧形或环形钙化。有时,动脉瘤内血栓形成部分也可出现小点状或小片状钙化。

十七、动静脉畸形(AVM)
A VM发生钙化较为常见,主要与血栓形成及反复出血有关,钙化可呈小点状或不规则小片状,也可呈团块状或许多血管条形钙化

十八、脑三叉神经血管瘤病
又称颅颜面血管瘤病,Sturge-Weber综合征,绝大多数为散发。
CT:①钙化灶多为单侧性,始于枕叶,逐渐向前发展,居脑表浅部位,沿脑回呈曲线形或宽大锯齿状钙化;
②脑组织异常:局部脑组织坏死、胶质增生、钙化(斑点状、锯齿状),脑萎缩,脑皮质萎缩以枕叶萎缩明显,亦可累及整个大脑半球,脑沟增宽,但脑室不扩大;
③患侧颅骨增厚,头颅不对称;
④软脑膜血管畸形,增强扫描可见脑回状强化;脑深部异常引流经脉;
⑤75%病例同侧脉络丛增大,且显著强化。

十九、脑梗死后钙化
较少见,可能与原梗死区合并出血、动脉硬化或血管炎有关,钙化可呈点状、小片状或不规则状。

二十、放射治疗后颅内钙化
钙化常位于基底节区、半球灰白质交界区、小脑齿状核等处,患者可同时有放射性脑病的改变。

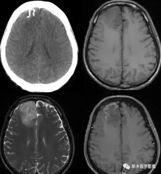
二十一、少突胶质细胞瘤
多见于青少年,类圆形肿块,边界清楚,密度不均,点片状、弯曲条带状、不规则或皮层脑回状钙化,可能轻度水肿,轻度强化。MR为长T1长T2信号,钙化均为低信号。

二十二、节细胞瘤和节细胞胶质瘤
节细胞瘤:钙化率不到35%,钙化常位于肿瘤囊变区。
节细胞胶质瘤:囊周围壁钙化。

二十三、室管膜瘤
幕上室管膜瘤钙化发生率不如幕下多,约占38%。

二十四、脑膜瘤
幕上脑膜瘤中约15%发生钙化,位于中心者常呈散在结节或斑片状,位于边缘者常呈弧形状。

二十五、其他肿瘤
脂肪瘤:钙化常发生于大的脂肪瘤,钙化常位于脂肪瘤的边缘部分。此外胼胝体发育不全合并脂肪瘤钙化。
转移瘤:骨肉瘤脑转移和乳腺癌脑转移可合并钙化
松果体区肿瘤:生殖细胞瘤、松果体瘤和畸胎瘤
鞍区肿瘤:鞍区畸胎瘤、皮样囊肿、颅咽管瘤和表皮样囊肿;颅咽管瘤钙化最常见,尤其是儿童颅咽管瘤,钙化可高达80%以上,钙化呈蛋壳样、点状、斑片状、不规则团块状等。
神经母细胞瘤:恶性程度很高,钙化常散在分布于整个肿瘤区,甚至整个肿瘤呈团块状钙化。
来源:新乡医学影像
【版权声明】本平台属公益学习平台,转载系出于传递更多学习信息之目的,且已标明作者和出处,如不希望被传播的老师可与我们联系删除