很多人在体检时发现肝囊肿,第一时间想知道的就是肝脏囊肿是什么、要不要紧、严不严重、会不会癌变、需不需要处理、怎样处理、有什么后果?

什么是肝囊肿?
长在肝脏上的所有囊泡状病变统称为肝囊肿。由于形成的原因不同,可以分成①先天性肝囊肿,②创伤性肝囊肿,③炎症性肝囊肿,④肿瘤性肝囊肿,⑤寄生虫性肝囊肿。
临床上常见的肝囊肿为先天性肝囊肿(约占90%以上),即为单纯性肝囊肿。先天性肝脏囊肿分为单发、多发及多囊肝。囊肿的数量可多可少,少则一个,几个、十几个,多则成千上万个(多囊肝)。囊肿的大小可大可小,有些很小,只有几个毫米;有的黄豆大小,葡萄大小,鸡蛋大小;有的可大到20多厘米。囊内液体少则1毫升,多则可达上万毫升。多囊肝常常合并有多囊肾。

肝囊肿是如何形成?
肝脏先天性囊肿是一种胚胎发育障碍性疾病,所以说它是一种良性的、先天性的疾病。说它良性,是说它一不是肿瘤、二不是癌症、也很少癌变,它是肝脏里面的一个“小水泡”,囊壁是上皮细胞,囊内是水,上皮细胞产生水,使水球不断膨胀变大。说它是先天性,是说它的正常细胞在胚胎期没有发育好,不是说它在胚胎或出生后就开始长囊肿,大多数都在身体不长或衰退性即成年或老年时开始长大。

如何确诊是肝囊肿?
肝脏囊肿检查首选B超检查,既便宜简单又准确可靠。CT对肝囊肿的诊断意义很大:可以把整个肝脏显示在CT片上,然后肝脏上所有大大小小的囊肿都可以呈现在CT片上。这种图像的显示比我们平时看到的B超图像要全面、清楚,我们自己和临床医生可以更好地了解肝脏囊肿的情况。
肝囊肿需要与其它哪些囊性病变区别?
肝脏囊肿除了要区分先天性、创伤性、炎症性、肿瘤性和寄生虫性外,还要与肝脏血管瘤、肝脓肿、肝癌等鉴别。鉴别的方法需要临床医生根据病史、症状、体征、化验和检查去综合判断。例如肝血管瘤增强CT时表现瘤内有“快进慢出”、“树上挂果”典型表现,而囊肿是没有血流的。肝癌病人常有乙肝病毒携带、慢乙肝、肝硬化,甲胎蛋白升高,CT增强扫描呈现“快进快出”等典型表现。
肝囊肿会导致哪些不适?
先天性肝囊肿大多数因为很小对人体没有什么影响,对肝脏也没有影响,因此也没有什么症状,绝大部分都是在体检时发现。当囊肿越长越大、越长越多时就会出现症状。当囊肿直径达10多厘米时可能会出现压迫症状,比如压迫胃、压迫肠出现上腹部饱胀感;压迫膈肌影响呼吸;肝门部的囊肿压迫胆管可出现黄疸;多囊肝压迫使正常肝组织越来越少,肝功能受到影响。如果囊肿内细菌入侵感染,可以出现腹痛与发热。
肝囊肿需要治疗吗?该如何治疗?
先天性肝囊肿绝大部分都不需要处理,只需要定期观察。先天性肝脏囊肿目前还没有预防办法。也不能通过药物治疗和预防。重要的是定期体检与复查。一部分生长较快、囊肿较大、继发感染、出现症状者需要处理。
先天性肝囊肿处理的原理很简单,就是把“水泡”内的水引出来,并让其不再产生水。随介入微创技术普及,肝囊肿治疗已变得简便、高效!
肝囊肿穿刺硬化治疗如何进行的?
肝囊肿穿刺硬化治疗是在B超或CT引导下的将纤细穿刺针直接插入肝囊肿囊腔内,置入引流管充分引流囊液,随后通过多次注入硬化剂硬化破坏囊壁上皮细胞,使其坏死从而丧失分泌功能,从而达到治疗目的。绝多数经治疗后症状即可缓解、消失。
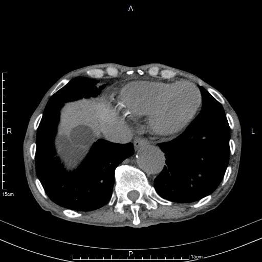
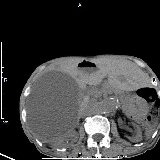
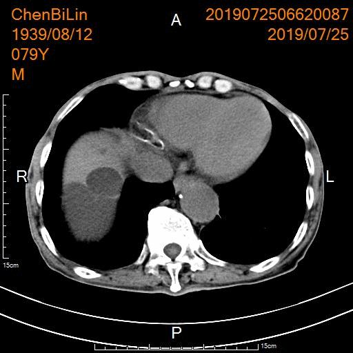
典型病例
老年男性,腹部闷胀痛1年余。CT检查显示肝脏多发、巨大囊肿,最大者直径达20cm。患者行CT引导下肝穿刺置管引流及硬化治疗后,腹胀痛症状即刻缓解。

CT显示肝脏多发、巨大囊肿

CT引导下肝囊肿穿刺置管引流治疗

肝囊肿引流及硬化治疗后复查,囊肿明显缩小

再次行另一较大肝囊肿穿刺置管引流及硬化治疗
介入微创治疗肝囊肿有何优点?
创伤小:小小的穿刺口只要消消毒,然后用一个创口贴贴上就行了,不用换药不用消炎药;对肝功能影响极小:现在随着微导管等介入材料的发展,肝功能有时基本上不会受到损害,或只有一点点损伤,几天就恢复了;住院天数短:想来谁也不愿意在医院多住几天吧,而该方法都可以达到这个目标,术后通过留置导管行硬化治疗,很快就能出院。风险低:该技术为介入科经典治疗手段,技术成熟,常规开展,风险非常低。
那些情况下可以行肝囊肿穿刺硬化治疗?
- 直径>5cm者,特别是直径>10cm的巨大肝囊肿者
- 有腹痛、腹胀等相关症状
- 位于肝脏包膜边缘,容易外伤破裂者
- 需要大量运动的特殊职业者,容易可能招致肝外伤

介入微创帮你守护肝脏