脊柱甘露语林 :“于诸病苦,为作良医;于失道者,示其正路;于暗夜中,为作光明;于贫穷者,令得伏藏。”脊柱甘露语林学术•疾病与健康科普•助学公益平台,以杏林春满为愿景,致力于探索普及青少年特发性脊柱侧弯AIS自然史、低电离辐射拍片法等领域,跬步前行,已5年余。
本文由“脊柱甘露语林”微信公众号平台原创,脊柱甘露语林公众号《jzglyl》
原创作者:王海强,张军
腰痛与椎旁筋膜肌肉
- 2016年5月16日,脊柱甘露语林发布「腰痛与椎旁筋膜间室综合征:老生常谈与新知」, 腰椎椎旁筋膜为腰痛之新指标 ,MRI上测量的从棘突尖至横突尖的筋膜周径短,与腰痛具有一定之关联度
- 2016年7月31日,脊柱甘露语林发布「腰痛与腰部尺寸腰部肌肉有关联吗?」,腰部肌肉横截面积小,或为慢性腰痛之因或果;腰痛患者,腹直肌于腰3/4和腰4/5水平横截面积大,于腰5/骶1水平小,或为机体代偿之表现
- 2016年11月25日,脊柱甘露语林发布「杏林微音—腰痛肌肉关节突之关联度」,诠释了 椎旁肌肉脂肪浸润之MRI(图1)与CT分级法(图2)

图1 MRIT1相轴位:腰椎多裂肌脂肪浸润分级法从左至右依次为0级,1级(10-50%脂肪浸润)2级(>50%脂肪浸润)

- 腰椎间盘突出而致腰腿痛,广为关注;然则,腰椎间盘突出与椎旁肌肉改变有关系否?脊柱甘露语林,深入文献,结合病例,汇成此文,普为饶益
椎旁肌肉概述
- 椎旁肌对维持腰椎之功能,不可或缺;多裂肌为椎旁肌肉中最靠近中线者,其外为竖脊肌
- 多裂肌之神经供给,归于节段神经后根之内侧支,且无侧支支配;故尔,腰椎间盘突出所致神经根压迫,或可致椎旁肌改变

图3 腰3/4椎间盘水平腰椎肌肉示意图
腰突与多裂肌改变:显微观
- 2000年,日本富山医科大学Zhao等[1],对19例腰突患者之病侧与健侧多裂肌取样(5×5×10毫米),以冰冻切片,辅以染色,加以观察

图4 一例48岁男性腰突患者之多裂肌:A正常侧;B病侧;I型(暗色)和II型(浅色)肌肉纤维
- 以要言之,Zhao等通过切片、染色、显微镜下观察、频率法比较,腰突患者之多裂肌,病侧与健侧,有所不同:I型与II型肌肉纤维均细于正常侧;直腿抬高试验阳性者,此改变尤为显著
- 后续之报道,仁者见仁,智者见智; 以神经根压迫受损之理念,所察见之显微改变,Yoshihara等认为仅局限于腰突所在之节段
腰突与多裂肌改变:MRI观
神经根压迫致病侧多裂肌萎缩之学派
- 学界以MRI研究腰突与多裂肌,常以横截面积CSA(图5),评估两侧对称与否;亦有以多裂肌至椎板之垂直距离MLD加以研究者(图6)。

图5 腰4/5椎间盘平面多裂肌与腰大肌横截面积之测定

图6 多裂肌外缘与椎板垂直间距示意图
- 其研究所见,与显微观大同小异,以先导之理念,研究所见,多为 单侧腰突平面,多裂肌较健侧萎缩,或表现为横截面积减少,或表现为多裂肌外缘与椎板间距增大 (图7);持此观点者, 多认为多裂肌CSA或MLD之改变,与腰突压迫程度、病程长短具有一定之关联度

图7 腰4/5椎间盘突出,偏右侧之矢状位(a)、轴位(b);多裂肌至椎板之垂直间距:病侧(c)>健侧(d);多裂肌横截面积:病侧(e)<健侧(f);
腰突病侧多裂肌并无萎缩之学派
加拿大阿尔伯塔大学Niemeläinen、Battié和Fortin等,为此学派之代表。

加拿大阿尔伯达省埃德蒙顿市之阿尔伯塔大学
- 2011年,Niemeläinen等[5],对600名双胞胎男性成人之研究,值得关注
- 300对双胞胎,来自芬兰双胞胎队列,经无腰痛及卧床史之筛选,178名符合条件;行腰椎MRI
- 分析、计算L3/4、L4/5及L5/S1椎间盘中分平面,多裂肌和竖脊肌之总横截面积和无脂肪(纯肌肉)横截面积
- 基于频率分析论, 多裂肌特征 : 65%至68%之研究对象,多裂肌横截面积:右侧>左侧 ;最下三个腰椎之不对称度为10%至13.2%,L4/5最小;两侧不对称度:0.1%至44.3%
- 竖脊肌特征 :L4/5和L5/S1之横截面积:左侧倾向于>右侧,两侧不对称度,越向尾侧,越为明显
- 肌肉脂肪 : 多裂肌与竖脊肌,越向尾侧,肌肉间脂肪含量越多
- 以要言之 :无有腰痛者,健康成人,椎旁肌不对称度,超过10%
- 后续,他们又加以报道[6,7],认为腰椎间盘突出,病侧之多裂肌、竖脊肌,并无明显萎缩;反之,肌肉构成具有一定之改变;亦与病程长短无关
结语
- 正常人群自身结构之多样性,如双眼皮、身高、体重、体型,客观存在;椎管之宽度、深度,髂骨之高度,亦有先天之差异;椎旁肌肉,亦复如是(图8-图11)

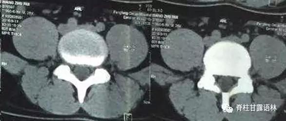
图8 一例年轻、男患者之腰4/5轴位CT 椎管左右径与前后径均较宽椎旁肌肉致密脂肪少关节突无增生

图9 另一例年轻、男患者之腰4/5轴位CT 椎管左右径与前后径均较小 椎旁肌肉致密脂肪少关节突无增生

图10 一例年轻女患者之腰4/5轴位MRI,椎管径尚宽,椎旁肌肉欠发达脂肪含量多,棘突亦短,关节突无增生

图11 一例46岁女患者之腰4/5轴位CT,椎管左右径窄、前后径大,棘突亦长,椎间盘深在,椎旁肌肉中等发达
脂肪中等,关节突内聚、增生
- 脊柱之椎旁肌肉,成人中81%、青少年中14%具有脂肪浸润之特征;故尔,开篇所提之椎旁肌分级,应考量体型与性别,善加权衡;人体两侧椎旁肌肉,对称性,亦具有一定之变异度;此点,与六个腰椎、颈1椎弓孔、颈椎双或三个横突孔之变异度,具有一定之类似
- 脊柱甘露语林之建议:一方面,骨科与影像诊断医师,评估腰椎MRI之时,明察秋毫,不仅关注椎间盘、神经根等兴趣区域,亦应关注椎旁软组织、肌肉之改变,亦应关注脊柱外之腹部、盆腔之信号(参见:王海强 专栏 腰椎 MRI 对脊柱外重要疾病漏诊率高达 38.6%;2015-12-5 丁香园);另一方面,一味卧床休息,无益于多裂肌在内之脊柱肌肉功能,适度劳作、肌肉锻炼,亦为有益。
参考文献
1.Zhao WP, Kawaguchi Y, Matsui H, Kanamori M, Kimura T. Histochemistry and morphologyof the multifidus muscle in lumbar disc herniation: comparative study betweendiseased and normal sides. Spine (Phila Pa 1976). 2000 Sep 1;25(17):2191-9.PMID: 10973402.
2.Yoshihara K, Shirai Y, Nakayama Y, Uesaka S. Histochemical changes in the multifidusmuscle in patients with lumbar intervertebral disc herniation. Spine (Phila Pa1976). 2001 Mar 15;26(6):622-6. PMID: 11246373.
3. HyunJK, Lee JY, Lee SJ, Jeon JY. Asymmetric atrophy of multifidus muscle inpatients with unilateral lumbosacral radiculopathy. Spine. 2007;32:598–602.
4. AltinkayaN, Cekinmez M. Lumbar multifidus muscle changes in unilateral lumbar disc herniationusing magnetic resonance imaging. Skeletal Radiol. 2016 Jan;45(1):73-7. PMID:26377578.
5.Niemeläinen R, Briand MM, Battié MC. Substantial asymmetry in paraspinal musclecross-sectional area in healthy adults questions its value as a marker of lowback pain and pathology. Spine (Phila Pa 1976). 2011 Dec 1;36(25):2152-7. PMID:21343855.
6.Battié MC, Niemelainen R, Gibbons LE, Dhillon S. Is level- and side-specific
multifidusasymmetry a marker for lumbar disc pathology? Spine J. 2012 Oct;12(10):932-9.PMID: 23084154.
7. Fortin M, Lazáry À, Varga PP, McCall I, Battié MC. Paraspinal muscleasymmetry and fat infiltration in patients with symptomatic disc herniation.Eur Spine J. 2016 May;25(5):1452-9. PMID: 26957101