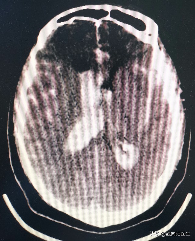
患者,男性36岁,今年对他来说可能就是本命年,一次“活动”之后突然就昏迷了。即送至当地医院,头CT说:“你脑出血了”。

这下家属慌了,脑出血是一个大病,患者现在处于昏迷状态,直接进入医院的重症监护室。
医生当时就在脑袋上打了两个洞,放了两根管子进入脑室内,持续的引流颅内的血。

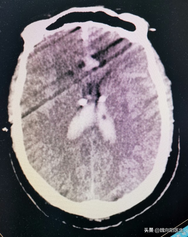
头上的管子放了一周多,血是太多了,实在不敢再放了(管子放的时间越长,颅内感染的风险越高)。且颅内的血液明显减少。

但是颅内的血依然存在,怎么办?只能从腰上再接着放管子,继续持续引流。
颜色由最开始的深红色,到暗红色,到黄色,再到淡黄,脑室内的血慢慢地减少。

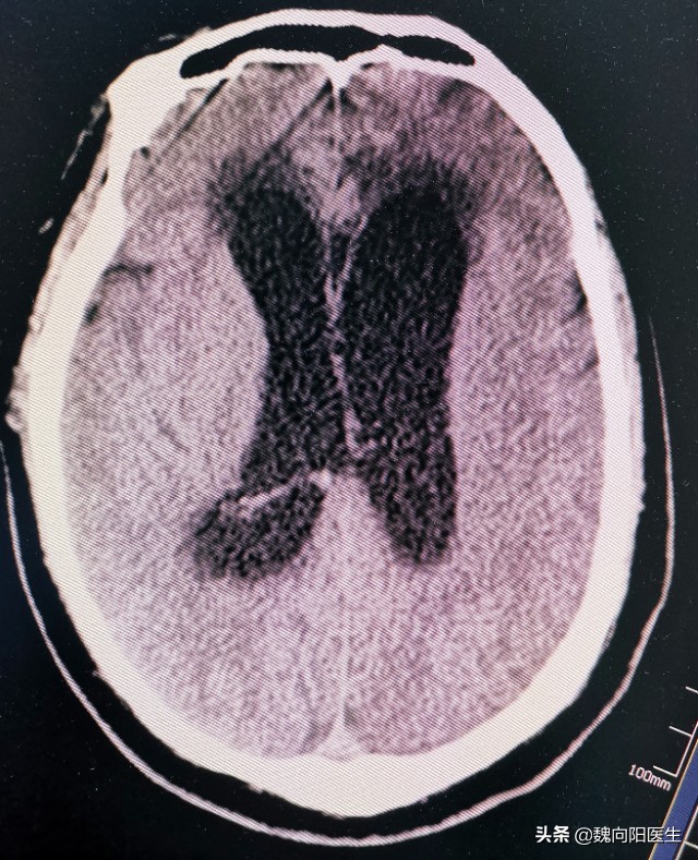
脑子进水了
但是他的脑室却越来越大,血少了,但是水多了,学名叫做《脑积水》。

它的水是哪儿来的?
CT说:“这个不归我负责,我只检测它水多还是水少,其他的我不管”。

彩超说:“脑袋的问题不用问我,因为如果颅骨妨碍我工作。”
MRI说:“这问题也把我难倒了”。
其实,脑内增加的并不是“水”,是脑积液。脑积液是由脑室内脉络丛分泌的一种正常的生理液,每天分泌400~500毫升。但是在正常生理状态下,通过脑膜颗粒又重新回收,形成一个动态的平衡。
蛛网膜下腔出血后,在蛛网膜下腔中充满了血液。尤其是出血量较大时,凝血块可以阻塞脑室与外部的通道,而且陈旧的血液封闭了脑脊液吸收结构——蛛网膜颗粒。导致脑室内不断生成的脑脊液有流不出来,甚至蛛网膜颗粒回收减少或不能回收,于是造成脑室“水增加”,引起脑室扩大,这就是脑积水。
- 蛛网膜下腔出血急性期的脑积水有时是很严重的,连同出血和脑水肿一起引起明显的颅内压升高,因而可危及病人的生命。
- 蛛网膜下腔出血的恢复期,因为蛛网膜颗粒脑积液回收障碍,从而导致脑室内脑脊液便增加,从而使脑室变大,行成慢性脑积水。

关注健康,请关注魏向阳医生。
