
本文由儿科主任医生集团/中山大学附属第八医院 陆长东 主任医师原创
平时经常会遇到儿童意外伤害的事情来求助,这儿想说说最近经历的几起儿童意外伤害事情处理的对与错,帮助家长们吸取经验和教训。其中二起是儿童误吞硬币,另外三起是意外受伤,身体有伤口,没及时做清创处理,以至耽误了最佳处理时间。

一、误吞硬币
第1例是位即将满三岁的女孩,平时都是老人照看为多,这天老人一时没照顾到,也不知道这位具有探究精神的淘气小女孩出于什么动机,竟然将一枚5角钱的硬币给吞了下去!老人想上前阻止也来不及。 (强调不要给小孩玩细小异物,要照看好)
老人赶紧通知孩子父母,孩子妈妈第一时间打电话向我求助,简要了解下情况后并确认误吞硬币后,重点询问了孩子目前的情况,包括目前的状况,反应怎么样?面色如何?呼吸是否急促或明显呼吸困难?有无腹痛、恶心和呕吐等等。在得知上述情况并无特别异常的前提下,我安慰了孩子妈妈几句。 (意外发生后不要慌乱,迅速了解当时状况)

当时是周日的中午,我让她赶紧去医院,孩子妈妈问:不去医院行不行?会不会自己拉出来?确实,这枚五毛钱的小硬币,是有自行排出可能的。但是小孩毕竟还小,如果排不出呢?如果硬币卡在消化道的狭窄处,就有可能导致食管梗阻、消化道溃疡、出血或穿孔、撕裂伤。 (不要有侥幸心理,有些后果很严重,要及时送宝宝到医院检查)
还是应该去医院的,首先要在医院接受检查。如果硬币还在食道内就可以也应该立即取出,若已经下到胃内,仍可考虑用内窥镜的方式取出。如果已经经过胃下移至小肠乃至大肠,那就只能静候硬币今后随便便排出来了。 (异物大小、形状以及所处消化道的位置,采用的方法会不同)

哪家医院更合适呢?我让直接就去儿童医院的急诊。因为综合所有条件来看,儿童医院相对最合适。首先是离家较近,而且中午时分儿童医院的急诊人手配备相对齐全,最主要这是家专科医院,处理这一类意外事件比较多,加之要用消化内镜去取硬币,所要使用的消化内镜尺寸大小应该属儿童医院最齐全。
另外,小孩的麻醉,医生的经验(遇到和处理此类意外事情较多),术后观察及护理,综合各方面的条件,所以我建议她去了儿童医院,并告知可以和我随时联系,会给予一些及时的专业意见帮助。 (要综合考虑所去医院的条件;有个医生朋友真好)

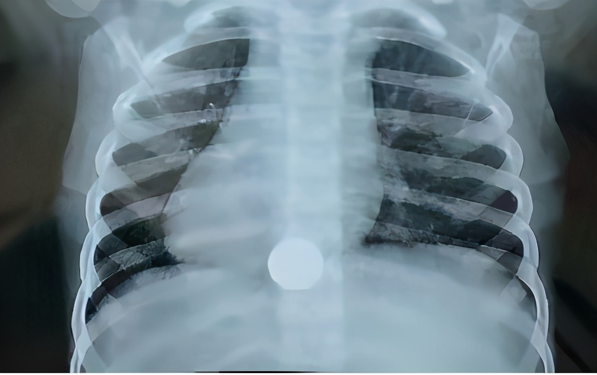
去到医院以后,急诊医生很快给他做了一个x光胸片检查。发现硬币就卡在食道下端,并没进入到胃。如前面所说,倘若这枚小硬币卡在食道下端和胃入口(贲门)交界狭窄处,就有可能因肌肉痉挛导致食道下端或者胃入口处出血,甚至撕裂性损伤及穿孔,所以应该尽早取出硬币。( 及时就医很重要)
孩子妈妈拿到这张x光胸片,即刻通过微信发到我的手机上,也就是图上所示的这张胸片,说急诊医生已经通知让住院手术,之前要进行一系列的前期准备并签署一些同意书之类的文件。孩子妈妈问我下一步怎么办?我告诉她应该遵从医生的意见,赶快签字做手术,但最终决定由自己做。随后不久,家长打来电话表示感谢,说硬币已经顺利被取了出来,心头一块石头终于落地。 (专业的事情交给专业的人做)

另外一例小孩误吞硬钱币的事,跟前面的情形差不多。这是一个两岁多一点的男孩,同样因为家人照顾欠周,这位充满好奇心的宝宝吞下了一枚硬币。妈妈在上班时接到家人的电话,匆忙赶回家中,一了解又是一枚5角钱的硬币。孩子妈妈很着急,打电话向我告急,问怎么办好?如同前面一样,我初步了解大致的情况后,也是让赶紧去医院,不要侥幸会排出。
不过这个孩子去到医院通过胸腹x光联片,发现硬币已经落入了宝宝的胃内。医生将情况与家长沟通了一会,征求家长的意见,最后决定先暂行观察。二天后家长扒拉便便终于从中找到了这枚宝贵的硬币。( 已经落入胃肠的异物,体积又较小,也有可能会自行排出。但要密切观察,有异常情况随时要手术)
建议:如果宝宝出现不能言语、咳嗽、哭泣、面色和唇色青紫或挣扎的情况,往往来不及送到医院,这个时候家长要冷静,不要随便拍打宝宝后背或者把手伸进宝宝嘴里去抠,应该马上争分夺秒现场实施海姆立克氏法抢救,同时拨打120急救电话。

二、伤口没及时清创处理,耽搁宝贵时间
日常生活中,孩子稍有不慎就有可能跌倒摔伤、碰到磕到,造成伤口和出血。通常家长们容易在两个环节上有些犹豫。一个是要否去医院进行伤口处理,另外一个就是。不缝行不行?或者压根就没有意识到有些伤口必须要缝合。
对此,我们强调 伤口的一般处理原则 :除特别浅表的擦伤外,都建议尽快看医生。由医生根据伤口的深浅、面积大小、位置、轻重程度,有无异物等情况判断该如何处理,彻底清创很重要,然后再决定伤口是否需要缝合。

我这里有几起伤口处理不及时的案例,提醒家长们注意。
第一例。记得大概是夜间十一点多钟,一位家长朋友在微信上@我,给我发了一张他们家小宝手部受伤的照片。这张照片上清楚可见小宝右手食指第2节指关节处受伤,皮肤裂开伤口很深,说是下午哥哥带着这个两岁大的弟弟在窗台上玩。哥哥关窗的时候,不小心压伤了弟弟的手。
当时爸妈都在上班,家里只有老人在,做了一下局部涂碘伏和包扎等处理,没去医院,说等孩子的爸妈晚上来处理。孩子爸妈回来后伤口已包住,也没再出血,小孩也没怎么太多的哭闹,所以没在意。晚上父亲等小宝睡觉以后,打开伤口准备给他做点处理,一看这个伤口这样就向我求助。

这个伤口当时就应该去医院处理的,此时虽说已经很晚,但也应该赶紧去医院处理。家长问孩子现在已经睡了,明天早上行吗?我说不行赶紧去!因为这个伤口不及时处理,日后因为化脓感染深达这个手指受伤处的肌腱会导致该手指的活动障碍,甚至残疾。加上还有铁锈,是个污染性伤口,要打破伤风针。
后来家长听了我的话,连夜赶紧去了医院急诊。第2天早上告诉我,医生把他俩批评了一通,说再来晚点就过了缝合的最佳时间,当天晚上已给予了清创缝合,还开了一些抗菌素。 (受伤后要及时看清伤口和就医,伤口缝合有一定时限,不能耽搁)

第二例,说的是一位刚满一岁的宝宝,在商场不小心从婴儿车上摔了下来,嘴被磕破,当时一通哭喊口中出血,后面也就止住了,回家还能正常吃饭,所以妈妈也就没太在意。但晚上不放心,趁宝宝睡觉时扒开小嘴,看到小宝口腔内近下唇内侧有一道较深的口子。
记得当时已经是凌晨时分,妈妈在群里面问该怎么办?但当天晚上确实很晚我已入睡,早上看到后立即答复她要去医院,做清创缝合。后来小宝上午去儿童医院的口腔科进行了处理。 (要看清伤口,及时去医院处理,不能被还能吃饭的假象所掩盖)

第三例,是位六岁的男孩,早上兴冲冲上学行走过快,扑倒在地上,下颌部磕伤,有大约两厘米的裂口,深度一般。家长担心小孩怕痛苦哭闹,问是否能不去医院处理伤口和缝合,顺手给我从微信发来一张照片。
我即刻联系回复,这伤口还是要去医院做清创缝合。后来家长带孩子去医院做了清创处理,因为伤口不太宽,而且相对浅,最后用了一种复合材料的胶布贴上。两周后发来照片给我看,伤口对位愈合良好。 (裂口不太宽又较浅,表面张力小,有时候也能用胶布拉上不用缝合)


建议:孩子受伤后家长要稳住自己,先看一下伤口,如果出血较大,说明有血管破裂,需要用纱布或干净毛巾按住伤口,既能止血又能保护伤口;如果不出血,可以用纱布覆盖,然后到医院后由医生处理。不推荐用“药粉”撒在伤口上进行所谓的止血消炎,这样伤口污染的机会更大。
外伤之后缝合时限一般是6小时之内,当然越快越好。 不过也有临床实例表明,血供情况比较好的头面部伤口,24小时之内缝合也可能取得较好的恢复效果。

三、美容清创缝合:
很多家长朋友问我能不能采用美容清创缝合的方式?当然, 美容缝合方式值得推荐选择 。只不过有的时候,受伤时间在非正常上班时间,此时大部分医院的美容科都已休息。也许随着社会进步和医学发展,今后将有更多的社会办医来填补这一空白。
美容缝合属精细缝合,集治疗与美容于一体,采用医疗美容科处理伤口原则和缝合技术,能尽可能的减少疤痕形成和恢复美观。所以,有条件的话可考虑美容手术缝合。

美容清创缝合是通过彻底清创止血、逐层精确对合、减少张力,来达到减少伤口疤痕的目的。美容缝线要比普通缝线细很多,表面光滑、极细、无刺激、无组织反应,对切口血液循环干扰少,所以切口愈合快。缝合针与线相连形成无创结构,术后不会形成缝线和针眼瘢痕。所以带来的愈合效果会更好。当然,为了减少异物刺激,美容线也是要拆线的。
当然也可以在普通外科缝合后进行美容缝合修复,不过需要在伤口没有感染的前提下,等伤口肿胀消退以后才进行美容缝合,可以更好的方便医生精细对合。
好了,今天就几起小孩意外伤害处理的对与错讲到这里,不知道您又get到什么呢?希望能对您有所帮助!
如果您认为这篇科普文对您的家人、您的朋友会有帮助,就请分享给他们吧。谢谢!
