
近日,领星与中山大学第一附属医院神经外科金华伟教授团队合作撰写的学术论文“Rosai-Dorfman disease in the central nervous system with two isolated lesions originated from a single clone: a case report”,发表于“BMC Neurology”。这是第一篇关于有两个单独病变的罗道病(Rosai–Dorfman,RDD)在中枢神经系统中克隆进化的报道。该报告有助于研究RDD的病理学,并支持RDD患者的子集是由基因改变驱动的克隆性组织细胞疾病的观点。

背景
罗道病(Rosai–Dorfman,RDD)是一种罕见的特发性非朗格汉斯细胞组织细胞增生症,常见于儿童和年轻人。在组织学上,RDD 的特征是淋巴结或结外组织中的组织细胞增殖。免疫组化染色显示病变组织细胞为CD68+、S-100+、CD1a-,呈明显的周向运动。
涉及中枢神经系统的RDD病例极为罕见,但由于位置原因,这些病例被证明是致命的。一直以来,RDD被认为是一种反应性非克隆性疾病,但也有一些证据支持RDD的克隆性,至少在一部分病例中是如此。然而,人们对RDD的克隆起源知之甚少。
研究者发现了一个罕见的 RDD 病例,该病例在颅内两侧大脑半球有两个独立的病变。为了解克隆起源,研究者进行了全外显子组测序(WES),并根据测序数据对两个病变进行了比较,发现大的肿瘤病灶比小的病灶有更高的TMB和更多的驱动基因。同时,在两个病变中发现了7个常见的躯干突变(truncal mutations),表明它们可能来自同一祖先克隆。这些发现为RDD的病理学提供了新的视角,并有可能将靶向治疗引入选择。
案例介绍
本案例的研究对象是一名33岁中国男性,其最初表现为癫痫发作。
磁共振成像(MRI)检测到两个轴外、均匀、边界清晰的硬脑膜病变。大的在左额颞顶叶区,小的在右额区。T1加权图像显示等信号和稍高信号,T2加权图像显示等信号和病灶内低信号病灶,明显均匀增强,伴有增强的硬脑膜尾征(图1)。

▲ 图1
该患者最初被诊断为多发性凸面脑膜瘤,并接受开颅手术切除大病灶。左侧病灶切除后,患者恢复良好,言语功能恢复正常。
研究者建议进行辅助激素治疗或放射治疗,但患者拒绝进一步治疗,直到MRI显示病情进展,并且患者在术后20个月出现症状性癫痫发作。MRI显示右侧病灶明显增大。
然后第二次开颅手术切除右侧病变,患者再次恢复,无神经功能缺损。到目前为止(2年随访)没有癫痫发作或肿瘤复发。
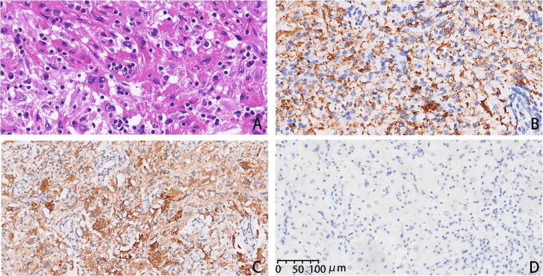
在第一次手术的切片中,显微镜检查显示大量淋巴细胞和浆细胞浸润在纤维组织中,分散着大量组织细胞,细胞质丰富。免疫组化染色显示S100、CD68呈阳性,但CD1a呈阴性(图2)。左侧病变的形态学和免疫组织化学特征均支持RDD的诊断。

▲ 图2
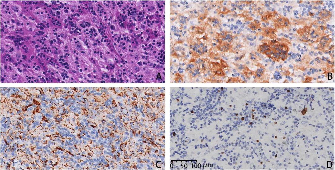
第二次手术切片的组织病理学检查结果与第一次手术相似(图3)。组织细胞是主要细胞,含有丰富的苍白至空泡状细胞质和轻度多形性泡状核,具有多个突出的核仁和球状细胞。

▲ 图3
基于全外显子组测序(WES)数据,计算肿瘤突变负荷(TMB),获得驱动基因,并进行克隆性分析。较大的(左侧)肿瘤病变比较小的(右侧)病变(1.03/Mb)具有更高的TMB(3.06/Mb)和更多的肿瘤驱动突变。
在较大的病变中发现四种驱动基因突变,包括PIK3R2、MED12、SUFU和SOX2,而在较小的病变中仅发现一种肿瘤驱动突变(NOTCH2)。两种病变中有七种常见的躯干突变(图4)。它们都不是驱动基因突变。这些突变很少出现在其他人群中,表明这两种病变可能起源于同一个主要祖先克隆。

▲ 图4
讨论和结论
这项研究描述了一例罕见的中枢神经系统受累的两个单独的病变。基于WES数据,在两个病变中发现了7个常见的躯干突变,表明这两个病变可能来自同一个主要祖先克隆。这些躯干突变在RDD中都是首次报道,并且没有一个是肿瘤驱动基因。IFITM2和MST1都参与免疫反应。RECQL5在维持基因组稳定性方面起着重要作用。PER3是一个昼夜节律途径基因,常被报道与肿瘤进展相关。
其他RDD研究显示,一些突变基因主要集中于MAPK/ERK通路,但病变并非来自中枢神经系统。在我们的病例中未发现这些MAPK/ERK通路相关突变,提示RDD可能是一种异质性组织细胞增生症。
当没有驱动突变出现时,组织细胞会中性进化,表现出反应性增殖,生长更慢,甚至自发缓解。然而,如果在突变累积的情况下出现驱动突变,病变将以达尔文方式进化,伴随着克隆选择、生长加速和谱系扩展。获得的驱动突变越多,病变增长越快。在我们的病例中,大病变比小病变有更高的TMB和更多的驱动突变。
这是第一篇关于RDD在中枢神经系统中克隆进化的报道,有两个单独的病变。本研究证实,至少有一部分RDD病例是由基因改变引起的克隆性组织细胞疾病,应进一步开展RDD的遗传学研究,以更好地描述其发病机制,并开辟潜在的治疗途径。
第一作者信息

金华伟
◆中山大学附属第一医院神经外科副主任医师,外科学博士,硕士研究生导师。
◆1996年毕业于中山医科大学临床医学七年制专业,在院本部从事神经外科临床工作25年,对神经外科疾病有丰富的诊治经验。
◆擅长显微外科手术治疗颅内大型听神经瘤、三叉神经鞘瘤、脑室内肿瘤、鞍区颅咽管瘤以及各种部位包括岩斜脑膜瘤;以精准手术和基因检测为基础,对颅内(功能区/深部)脑胶质瘤或者转移瘤的综合治疗有深入的研究。
◆国家卫生计生委脑卒中防治专家委员会出血性外科专业委员会委员,广东省抗癌协会委员。
◆在国内外专业杂志上发表论著数十篇,主持以及参与国家和省级科研项目多项。
