
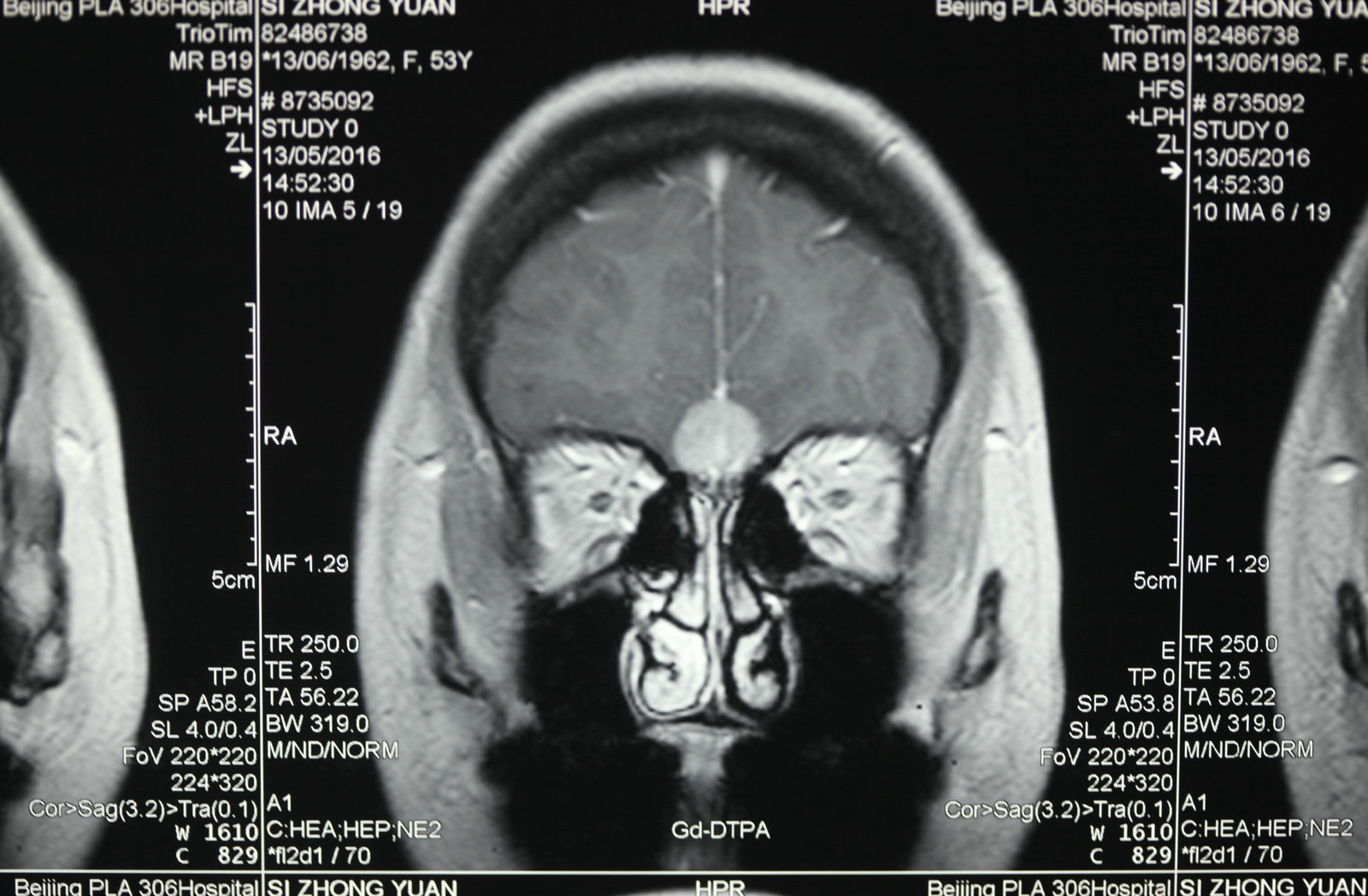
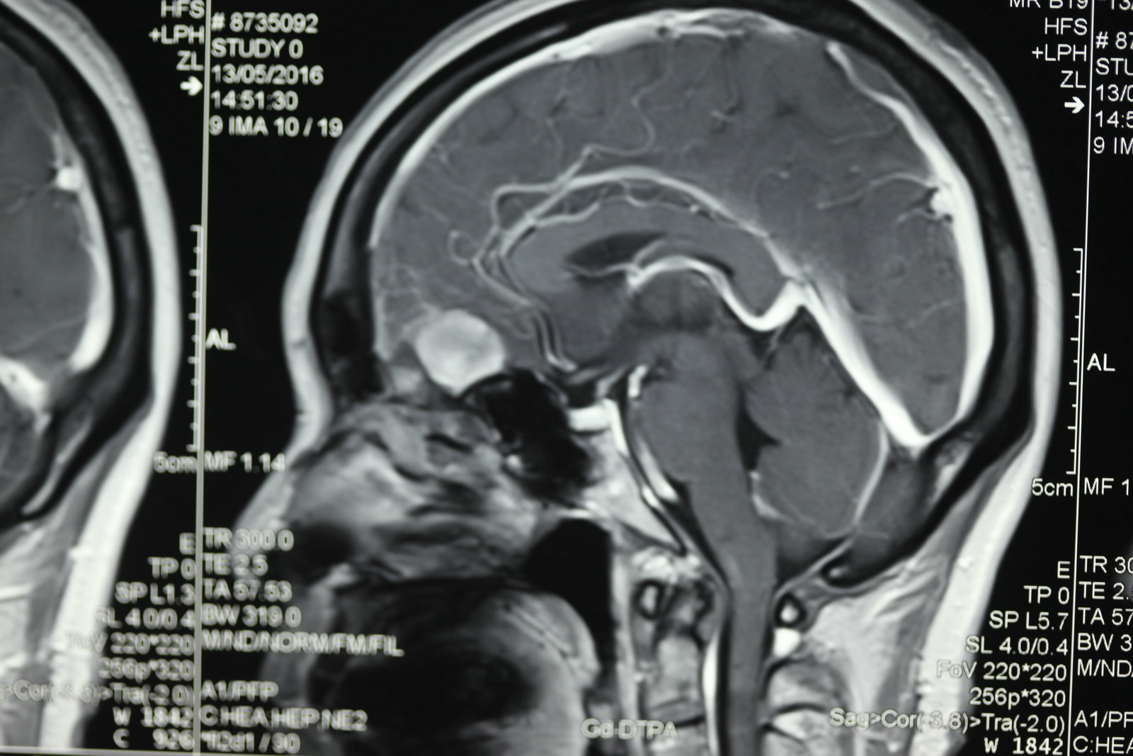
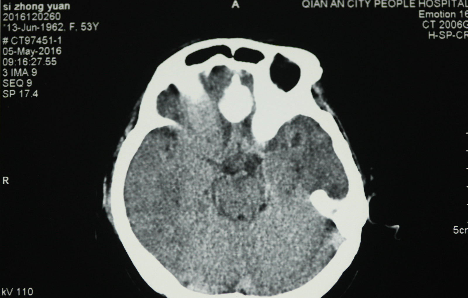
顾建文教授,解放军306医院,神经外科
20世纪80年代,世界神经外科领域普及了显微神经外科技术。 我国的显微神经外科学建立于20世纪70年代,经过20多年的努力取得了长足的发展,在治疗颅内肿瘤、动脉瘤、动静脉畸形、脊髓肿瘤等方面积累了大量临床经验。
显微神经外科学是以应用手术显微镜为标志,但是,我们决不能片面的将显微神经外科学理解为只要手术中使用手术显微镜就是显微神经外科手术。而显微神经外科学的正确概念,足指以近代影像学为诊断基础,一整套与显微手术相匹配的手术设备、显微神经外科手术器械为保证的,以颅内病灶为中心的手术。显微神经外科学不仅是技术,更重要的是概念的更新。
1.以病灶性为中心手术,减少脑组织损伤:显微神经外科手术将经典神经外科“脑叶范围手术”,推向“病灶性手术”水平,尽量减少干扰脑组织,探索出新的手术入路。譬如,翼点入路、经岩骨入路以及额眶颧入路,这些具有代表性显微手术入路的共同特点是,牺牲部分颅底骨结构获得手术空间,经过脑外抵达病灶,尽量减少对脑的牵拉和损伤。20世纪70年代,Yasargil提出利用颅内自然的解剖间隙和经脑外到达病灶部位,处理病变,降低手术创伤,成为了显微神经外科手术的基本概念。随着对脑功能认识的逐步深入,手术中还对各种神经和脑血流进行监测,加大了对脑和神经的功能保护。

2.手术显微镜下全新的手术操作模式:神经外科是从外科发展而来,经典神经外科时期,手术需要2~3名医师完成,手术中强调的是医师之间的相互配合。而显微神经外科手术中,应用众多的显微手术器械,替代了人手的功能,比如自动脑牵开器,代替了助手牵拉脑压板;显微镜的光线代替了带灯脑压板等,手术中的主要关键性操作,基本是由一位医师完成的。另外,为了减少手术损伤,缩小手术野,无法容纳过多的手术器械操作,这就要求手术医师加强训练,特别是术者本人的子、眼配合,左、右手的动作的协调。通常,右利手的医师,固定用左手持吸引器,右乎操作处理病灶。右手最常用的器械是双极电烧镊。在显微手术中,要求手术者的眼睛尽量少的离开目镜,用余光和手的本体觉去寻找和交换手中的器物。手术者还应该学会用右手与器械护士更换器械。手术中常用的双极电烧镊、棉条板置于手术者余光可见到的范围内,手术医师在手术操作中,还需要利用自己肢体的本体觉去完成某些动作,比如手术者固定使用右足踩双极电凝或颅钻的脚闸,左足踏超声吸引器踏板。为尽量少的干扰脑组织,减少频繁的更换器械,还应该充分发挥器械作用,如吸引器可用于做牵开器,双极电凝镊除了可持夹棉条、明胶海绵外,可以用作分离血管、神经的剥离子。手术中尽量少的更换器械,还可以节省手术时间。

1.显微神经解剖: 在乎术显微镜下,解剖组织被放大几倍或十几倍,为了适应显微手术的需要,20世纪60年*开代**始,在欧芙等国家的一些神经外科,兴起显微神经解剖的研究,为临床提供了新的显微神经解剖资料。 显微神经解剖包括脑(神经、血管)和颅底两个部分,其中,脑的显微神经解剖以脑动脉为线索,颅底显微解剖分为鞍区、桥小脑区和斜坡区:经历十年多不断努力,国际神经外科界,已经完成脑显微解剖的实用研究工作,为显微神经外科的普及和规范,奠定了坚实的基础、当前的显微手术的培训,不再是显微神经解剖的学习,而是利用显微手术技术平台,模拟实际的手术入路和试用各种新手术器械。
2.显微神经外科的器械设备: “欲善其事,必先利其器”。显微神经外科手术之所以能高质量的完成,与精良的显微神经外科的设备和器械分不开 显微神经外科的设备配备不齐全、质量不佳或使用不当,都会影响显微神经外科手术的效果。以手术显微镜为核心的一系列显微手术器械(材),如高速颅钻、可控手术床与头架、自动脑牵开器、超声吸引器、双极电凝、止血纱布等应用,解决了困惑神经外科手术的照明、手术空间狭小和有别于其他外科的止血问题。显微神经解剖学与外科手术技术的巩固和提高相伴。 显微神经外科解剖对于传统的手术技术改进和完善,适应新的条件都十分重要。每年神经外科技术都会有新进展,以适应患者的治疗需求,这些新技术无一不是在深入理解显微神经外科解剖的基础上进行的工作。
将手术显微镜和显微神经解剖结合,会使许多常规的神经外科手术得到进一步完善,如脊髓的切除、动脉瘤的夹闭等,并开创了以往神经外科医生不能施行的手术。由于对显微神经解剖认识的深入,医生能够以较小的脑牵开或皮层结构切开,经过神经血管间隙,安全准确地达到脑深部病灶,进行微损伤的手术切除。总之,显微神经解剖和显微外科技术结合,可在微创下切除以往不能手术切除的病变。而应用手术显微镜进行神经外科解剖研究和神经外科教学是对以往的肉眼神经解剖研究的全新修正,它使肉眼观测困难的微小结构和纤细神经清晰可辨,属于全新的领域。 手术显微镜的应用又使医生感到手术操作在灵活性和精确性方面受限,因此又有学者开始探索机器人辅助手术,这将开创精细外科技术的新境界,当然它也要求有新的显微解剖知识与其适应。其他新技术的发展也需要以精确的显微神经解剖知识为基础,如在血管内栓塞治疗动脉瘤时,需要详尽了解载瘤动脉、穿通动脉及其解剖变异经过缜密的开颅设计,可达到颅底任何部位。将显微神经外科解剖研究结合影像学定位,利用脑表面的沟裂建立细小孔道,一些脑深部解剖能理想的显露。显微解剖研究也研究了一些新的手术入路,如经脉络膜入第三脑室手术入路、经鼻腔入蝶窦的垂体瘤手术入路等。在未来,通过更深入的显微外科解剖学研究,还会有一些新的更好的手术入路研究出来。另外一些新的手术技术的改进和完善也需要对显微外科解剖的深入理解。 随着神经精细结构显露技术的显著提高,显微解剖照片准确鲜明,生动活泼,非常优美,适合于神经外科学习和参考。



































