刚满40岁的阿杨,因嗓子干燥发痒,剧烈咳嗽半个月来院就诊。
“吸烟喝酒吗?”引起咳嗽的原因很多,我只能从最基本的生活习惯问起。
“你可别说了,他一天一包烟,吸了十几年了。因为这个家里老人孩子都吵了他不知道多少回了,可就是不听。”
“吸烟就算了,他还天天喝酒,就这样他还嫌在家喝酒不过瘾,三天两头和他那帮朋友出去喝酒。”
阿杨还没来及回答,老婆已经一股脑把这些全说完了,仿佛心里积攒多年的怨气也一次性发泄完了。

“除了咳嗽还有其他不适吗?”
阿杨犹豫了一下,缓缓说道:“最近感觉有点反酸,但是症状不明显。”
“哦对了,我前两天咳嗽的时候把饭粒都咳出来了。”
“你还好意思说呢,要不是我拉着你过来看病,你还老觉得是咽炎,指望着用胖大海加菊花泡茶把病给治好是吧?”阿杨老婆再次插嘴。
听到这,我紧绷的神经放松了下来,毕竟正常人有时候咳嗽比较剧烈都是有可能把胃里的东西给咳出来的。
眼下,他咳嗽这么久,初步怀疑是消化道有问题。不过患者说有反酸症状,再加上抽烟喝酒这个习惯,所以也要怀疑是不是胃有问题。
“这样吧,你们先去做个胸片,再去做个核酸,明天再来做胃镜。”因为现在特殊时期,做胃镜必须要有核酸阴性证明,所以只能让患者第二天再来做胃镜。

夫妻俩一听要做这么多检查,顿时脸色就变了。其实我也理解,在很多病人眼里,医生都喜欢乱开检查,他们觉得这样医生才有回扣拿。但事实上,清者自清,这么多年我已经习惯了患者突然变化的脸色,唯一希望的就是让每一个患者尽快治愈。
好在胸片结果很快就出来了,并没有什么大问题。
可能是不想又去做核酸又去做胃镜那么麻烦,所以在临走前,阿杨又补充了一句:“医生,我感觉我这应该不是胃问题,因为最近吃饭的时候吞咽还有点不顺畅,怎么说和胃也扯不上关系啊...”
“你说什么?”本来我还不是太重视,一听到这句话,我有股不详的预感。
因为吞咽困难是食管癌最典型的症状,可一旦吞咽困难明显时,病灶一般都很大了。这就导致,在临床上有近80%的患者在查出食管癌时已经是中晚期了,能够查出早期的都是极少数。
于是我接着问:“吃其他东西,还有喝水时有没有感觉?”
“最近几天喝水也有点感觉,就感觉有个东西在那堵着。”
“这样,你们最近有没有去过外地,给我看下行程码。要是没问题了,就先去做个胃镜吧。”
本来两口人还极不情愿,一看我这么说,连连答应下来。
现在我已经高度怀疑是食管癌,但在胃镜结果没出来前还是不能确定。只是现在他的这些症状很符合食管癌的情况,并且还很不乐观。
因为在肿瘤比较大时,食管腔就会明显变窄,使得食物难以通过,吞咽就会困难起来。而且一开始,食管癌患者还可能出现哽噎、喉咙发紧等症状,这就导致不少人以为是咽炎。

伴随着肿瘤变大,进食米饭等粗糙食物时就会有异物感。再往后发展,进食面条、白粥等半流质食物也会变得困难,甚至喝水都是问题。
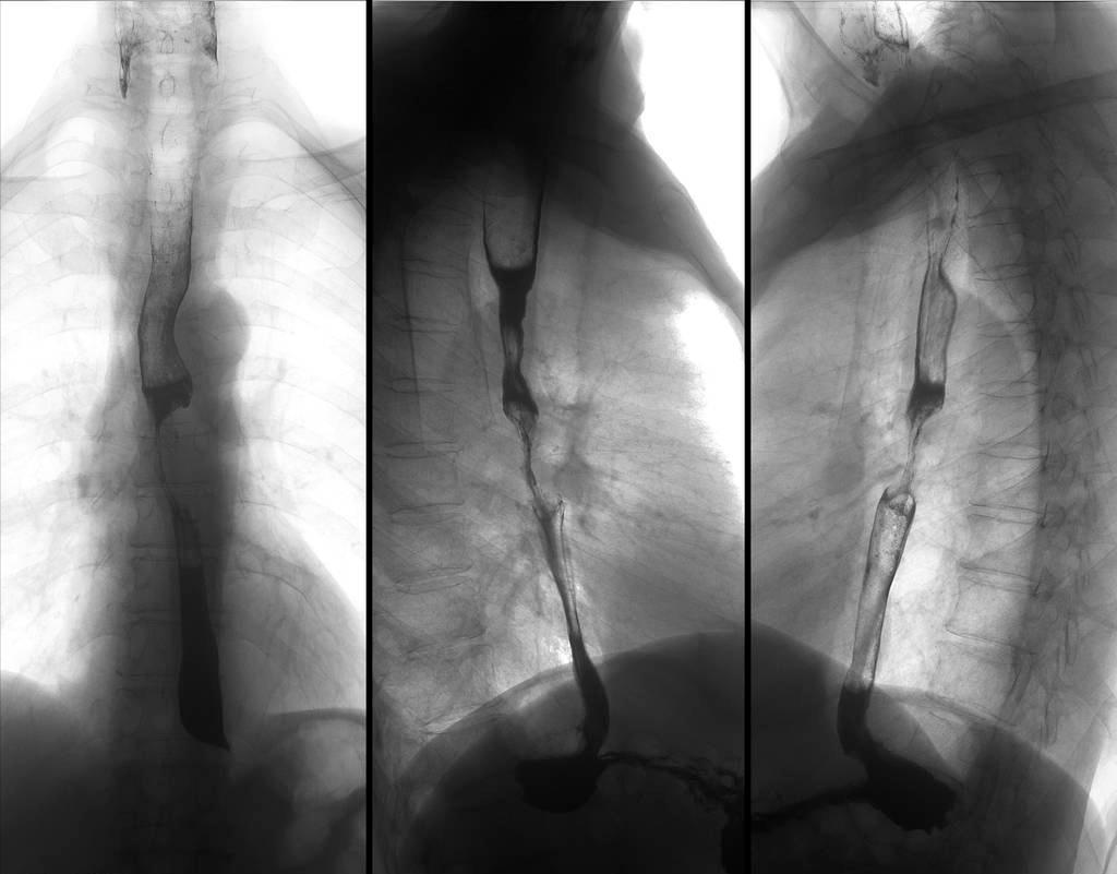
当天下午,结果出来了: II期食管癌,且肿瘤病变已经侵犯到食管肌层。
看着眼前的结果,夫妻俩怎么也想不到本来一个简单的咽炎,现在居然变成了中期食管癌。
今天,我也想借着这个病例告诉大家,一定要重视一些不起眼的症状,千万不要轻易把食管癌当成咽炎。
咽炎和早期食管癌的区别!
虽然食管癌早期和咽炎都可能出现咽部不适症状,和咽部干痒、异物感和咳不出去等。但咽炎主要是在做吞咽动作时有异物感,在进食时不会有异物感。相反的,食管癌在进食时就有比较明显的异物感。
除此外,早期食管癌进食后胸骨和剑突下有疼痛感、食物滞留感和异物感,咽喉部会有干燥和紧缩感。这种感觉时有时无,进食热食时会更加明显。
当肿瘤直接侵犯或者是气管食管沟淋巴结转移后压迫喉返神经,还会引起声音嘶哑。另外,食管癌还会伴随着全身症状,比如体重下降和发热、肿瘤向肺转移时引起咳嗽、胸闷和呼吸困难等。
几个习惯诱发食管癌!
癌症不是无缘无故发生的,任何癌症的出现都有迹可循。就比如上文中的阿杨,他有长期喝酒的习惯,这也为他后来罹患食管癌埋下了伏笔。
因为酒精在经过食管时,会刺激到食管黏膜,长期反复,会使得食管黏膜变性、坏死。久而久之,食管黏膜自然就发生了癌变。
还有就是热茶,尤其是“功夫茶”。这种很容易导致食道烫伤,引起炎症,如果炎症长期反复,就很有可能恶化成癌症。

当然,咸菜、泡菜和硬食也是一个诱因。泡菜和咸菜中都含有较多的亚硝酸盐,这个是明确的致癌物。硬食则很容造成食管损伤,诱发癌变。
排除食管癌,做胃镜是性价比最高的,因为胃镜不仅能够诊断胃部问题,还能发现特别细小的早期食管癌,诊断率可以达到80%。
所以我建议以下人群,如果符合第一条并且符合第2-6条中的任意一条,最好每年做一次胃镜。
①年龄40岁以上;②有食管癌家族史;③有反酸、吞咽困难和上腹疼痛等上消化道症状的;④来自食管癌高发地区;⑤患有食管息肉或慢性食管炎的;⑥有吸烟饮酒等高危因素的。