拇(趾)外翻
定义
拇趾外翻是一种进行性足部畸形,其中第一跖趾关节(MTP)受到影响,经常伴有严重的功能残疾和足部疼痛。该关节逐渐半脱位(MTP关节的侧偏),导致第一跖骨外展,而指骨内收。这通常导致内侧软组织和骨性突起,即所谓的拇囊炎(第一跖骨头背内侧的外生骨)。在晚期,这些变化会导致疼痛和功能缺陷:即步态受损(侧移和后移重心,后期足跟抬高,单侧肢体平衡下降,旋前畸形)。拇外翻在整个人群中的发病率很高(18-65岁的成年人占23%,65岁以上的成年人占35.7%)。女性(30%-13%)和老年人(35.7%)患病率较高。


厦门中山骨科李映超医生:颈肩腰腿痛
临床相关解剖学
拇趾或第一趾,在脚的中远部。它由第一跖骨(有两个籽骨的关节)、第一近节指骨和第一远节指骨组成。所以拇趾不像其他脚趾有一块额外的骨头叫做中间趾骨。

第一个脚趾有三个滑膜关节。第一个关节是跖跗关节位于内侧楔形骨和第一跖骨之间,不允许大幅运动。第二个关节是跖趾关节,连接第一跖骨和第一近端趾骨。该关节允许第一个脚趾的弯曲和伸展,以及向第二个脚趾中心的小幅度的外展和内收。它同时被韧带加强(包括:跖趾侧副韧带和跖板)。最后一个关节是趾间,是第一趾两趾骨之间的连接。这个关节只允许屈曲和伸展,它也被韧带加强。

如前所述,有两块籽骨与第一块跖骨相连。这些籽骨保护附着在肌肉上的肌腱,但它们的主要功能是通过伸展杠杆帮助肌肉产生更多的力量。


其他结构:胫前肌、拇长伸肌、腓骨长伸肌、拇长屈肌、拇短伸肌、拇外展肌、拇短屈肌、拇内收肌、背内侧肌、跖腱膜。

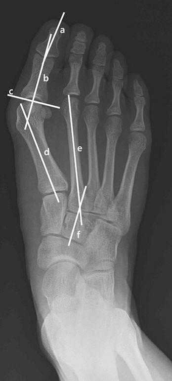
在纵向将近节指骨和第一跖骨中轴线之间形成的角度称为拇外翻角(hallux valgus angle,HVA)。小于15°视为正常。大于等于20°的角度视为异常。45-50°的角度被认为是严重的。
流行病学
确切的病因尚不清楚。然而,某些因素被认为在拇外翻的发展中起作用;
性别(女性发病率比男性高10倍)
鞋类(尖头鞋)
先天畸形
慢性跟腱紧绷
严重扁平足
第一跖楔关节过度活动
全身性疾病
在20到39岁之间穿过紧的鞋和/或高跟鞋对以后拇外翻的发展至关重要。也有可能异常的肌肉插入是导致拇外翻的部分原因。拇外翻也与髋和膝关节OA相关,与较高的BMI呈负相关。
厦门中山骨科李映超医生:颈肩腰腿痛
临床表现
在这种足部畸形中,随着第一跖骨远端向内侧漂移和近端指骨向外侧偏移,内侧隆起变得突出。第一MTP半脱位,导致拇趾向外侧偏,第一跖骨远端内侧移位,第一跖骨头骨质增大。

这种拇外翻形成的机制始于拇展肌的过度拉伸(例如,穿着过紧鞋)。第一近节趾骨的基部开始侧化和外展。在步态中,前脚变成旋前,伸展内侧副韧带和第一个MTP关节的囊膜结构。由于第一MTP关节由多个骨骼、韧带、籽骨组成,并且附近有肌肉,所以该结构在运动或伸展时会影响其他结构。这样,一旦达到拇趾外翻的临界程度,第一跖骨开始进入内翻位置。这样,拇趾就被推到外翻的位置。关节囊变弱,拇展肌腱变成拇跖屈肌。当情况变得更糟时,多块肌肉的牵拉轴被侧向化,往往会使情况恶化。

当拇囊炎出现时,第一节MTP关节MCL韧带可能受到刺激,导致关节炎症和钙化。在早期阶段,由于鞋子的原因,这会导致拇囊炎的发作。拇囊炎的皮肤坚硬,皮温升高,发红。后来病人可能会有其他因骨关节炎引起的症状。

拇外翻(术前)患者的一个常见问题是,由于第一跖趾关节畸形,他们的步态出现一种或多种紊乱。可能存在的功能障碍:
中间阶段(中间阶段)和推进阶段(后期)的步态偏差。当承重的脚向前移动时,患者会倾向于将体重保持在脚的外侧边缘。这会导致横向和后向的重心变化
病人还有旋前畸形
患者无法将脚放平,重心保持在脚的外侧边缘,从而导致脚跟抬高。
单侧肢体支撑时间缩短。
进行体格检查时,可能出现以下迹象:
MTP接横向偏移
第一节TP关节肿胀
拇短屈肌缩短
拇部趾痛
拇外展肌无力
疼痛(主要症状)

(A)拇外翻角和(B)第1-2跖骨角的测量可以反映拇外翻畸形的严重程度。

拇外翻角:第一跖骨轴与第一近端指骨轴之间。
厦门中山骨科李映超医生:颈肩腰腿痛
诊断程序
x线片通过观察第一跖骨和近节趾骨的中轴线之间形成的角度来确定拇外翻的存在。如果角度大于15度,则诊断为拇外翻。45-50°的角度被认为是严重的。同时还应考虑第一节MTP关节内的籽骨移位程度和骨关节炎程度的变化。
并不是所有的情况下都有可能或有必要拍X光片来确定拇外翻的严重程度。因此,曼彻斯特量表应运而生,曼彻斯特量表由四种类型的拇外翻的标准化照片组成:无、轻度、中度和重度。研究表明,该量表在重复测试和测试者间的可靠性方面都是很好的(kappa值分别为0.77和0.86)。

在Roddy等人(2007)的研究中,作者开发了一个由四张照片组成的工具。每张照片的拇外翻角度增加了15°。该工具具有良好的复测信度(kappa=0.82),也是确定拇外翻严重程度的良好工具[16]。两种量表(四级分类或二分量表)均可用于确定拇外翻的严重程度。
体格检查应在患者坐着和站着的情况下进行。在负重过程中,畸形通常会加重。检查时,应评估是否有扁平足和跟腱挛缩。还检查了纵弓和拇趾的高度及其与小脚趾的关系。
管理/干预
非手术治疗
预防
遗传因素或倾向(例如由于广泛的韧带松弛)是不可预防的,但其他事情是。例如,穿合脚的鞋子(不要太紧)和避免穿高跟鞋是防止拇外翻的重要因素。

治疗
首选治疗方案是非手术治疗:
调整鞋类,以帮助消除内侧隆起(bunion)水平的摩擦。例如,患者应提供一双鞋头更宽、更深的鞋子。

矫形器可能有助于改善扁平足的病情。严重的扁平足可导致术后拇外翻复发。

跟腱挛缩可能需要拉伸甚至延长(证据水平:4)。

当软组织继发挛缩和关节面的改变不是永久性的时,这种治疗方法可以在早期应用。(证据级别:5)
厦门中山骨科李映超医生:颈肩腰腿痛
手术治疗
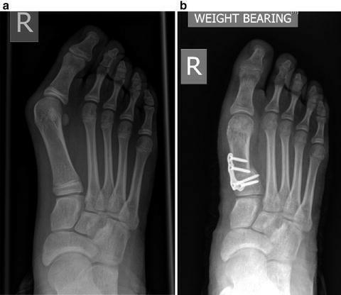
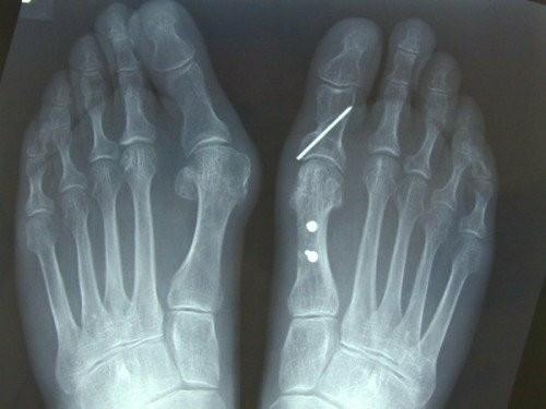
如果非手术治疗失败,可以考虑手术治疗。(证据级别:4)在选择手术前,必须确定拇外翻的严重程度。为了做到这一点,使用了负重平片射线照相术。
根据损伤的严重程度,我们可以采用以下几种外科手术:
Austin/Chevron Procedure
这种手术通常用于轻度畸形。截骨术呈“V”形。然后将松动的截骨以不同的方式放置,以纠正第一跖骨角度。截骨块用克氏针或螺钉固定。



Reverdin Procedure
从第一跖骨头的头部取出楔子,以便更好地组织关节软骨。楔块位于背侧和内侧基部。在某些情况下,外科医生认为旋转关节软骨是必要的。用螺钉或K线固定。

Scarf Procedure
当畸形中等至严重时,Scarf Procedure是常用的选择。从内向外沿跖骨干纵轴截骨。将跖骨头截骨块移向外侧,并用两个螺钉固定。



Closing Base Wedge Procedure
该手术主要用于严重的畸形。在跖骨近端外侧做楔形截骨。当楔块被移除时,远端部分被转移到外侧,导致间隙闭合,第一跖骨与第二跖骨对齐。双皮质螺钉固定。


Lapidus关节融合术
当观察到严重的畸形时,这是另一种选择。通过切除内侧楔形关节软骨和第一跖骨基部,两者融合。用钢板或螺钉固定。



Akin Procedure
当在第一近节趾骨的内侧制作楔形截骨时,可以进行额外的矫正。通过将远端推到内侧并固定来闭合间隙。与Closing Base Wedge Procedure的相似之处很明显。



First Metatarsal-Phalangeal Joint Arthrodesis
永久性的运动消除是该手术是治疗严重畸形的最后选择之一的原因。大多数情况下,还有另一个因素促使选择这种关节破坏性手术:退行性关节炎或关节不稳定。近端指骨正确定位于第一跖骨,然后用螺钉、钢板或交叉的克氏针通过关节固定。

术后管理
对于所有的手术,病人可以在术后立即主管部分负重行走。患者需要矫形支具进行保护。对于年龄小于50岁和大于50岁的患者,雪佛龙截骨术后的长期随访显示同样的积极结果。
理疗管理
由于步态障碍(见非手术治疗),物理治疗的目标可以是:
鞋尖宽而深的调整鞋
增加MTP关节的背伸
减轻负重应力(证据水平5)
籽骨松动术:*物理治疗师对受影响的第一个MPJ的内侧和外侧籽骨进行III级关节松动术。一个拇指放在籽骨的近端,用于施加从近端到远端的力,使籽骨达到运动的末端范围(远端滑动)。这些是用大幅度的节律性振荡来完成的。在这项技术中,MPJ的移动不得超过20°(证据级别2B)。


腓骨长肌强化(证据水平2A)
步态训练:
站姿阶段:可以在脚跟外侧的生理位置进行脚跟打击训练。
站姿阶段后,第一跖骨在中、末站姿时可负重,由拇趾屈肌、趾长屈肌、短屈肌和腰肌进行主动推脱训练(证据水平1:2B,证据水平2:2C)
在步态训练中,可以提供言语暗示。
这些目标应确保疼痛减轻,功能恢复。(证据级别2B)
理疗师应该包含一个扩展的计划,包括涡流,超声波,冰,电刺激,MTJ动员和运动。这比单纯的物理治疗更有效。这种结合将导致MTP关节ROM、力量和功能的增加,以及疼痛的减少。(证据级别2B)
鉴别诊断
在诊断过程中,拇外翻可与其他疾病或损伤混淆。
在早期,红肿和疼痛可与第一个MTP关节的炎症、感染或痛风相混淆。痛风相关的疼痛突然出现,而拇外翻的发病是逐渐的。此外,尿酸水平可以区分两者。
其他形式的关节炎,例如拇僵硬可以与拇外翻混淆。例如,感染性关节炎的关节也会红肿。
中山骨科 止于至善
大道至简 天人合一