前段时间来了一位患者,年龄不大,才30多岁,跟爱人一起从北京出发,一路往南过来,去了不少医院,每一个看过她肺部CT影像的大夫都很惊讶,因为像她这么年轻,出现这种情况还是比较少见的。

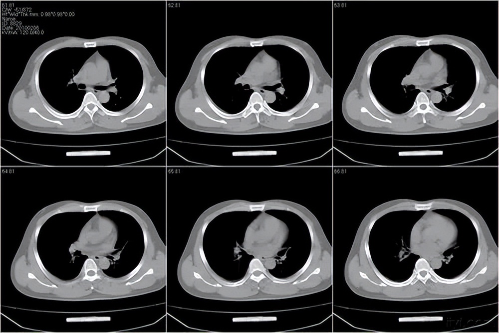
双肺像撒了一把沙子一样,上叶、下叶到处都是磨玻璃结节!
除了数量多以外,患者还说虽然自己爷爷奶奶已经年近90,依然身体康健,没有肺部问题,但是伯伯、父亲、叔叔这一辈兄弟四个,先后有三个因为肺癌的原因,在短短四年半的时间里走了。因此,本人也承受了巨大的心理压力!

好在通过对其肺CT影像的对比观察发现,虽然双肺密密麻麻的都是磨玻璃结节,数量极多,但真正比较大的主病灶只有两个,一个直径12.5mm,一个8.5mm,且与两年前对比,变化不明显。可见,虽然患者本身问题比较严重,但是目前尚未对身体健康构成危险,采取规范治疗随访即可。

于是详细的给患者做了讲解,患者本人和爱人对自己的病情也算是有了清晰的认识,放下了心理负担,积极配合治疗!实际上像这种情况,非必要,手术是最后一步的选择,毕竟数量太多,不可能把整个肺叶切除,若只切除两个主病灶,其实意义并不大,因为还有很多其他病灶存在,所以,在未构成生命危险的前提下,采取中医中药治疗随访,是最优的选择!