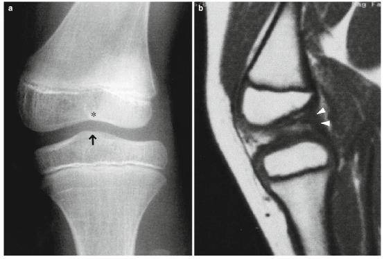
- 胫骨内翻(Blount disease)也称布朗病
- 近端胫骨干骺端、骨骺和干骺端后内侧的发育障碍。
- 生长板部分被破坏,导致胫骨内翻。
- 病因不明,但被认为是外伤或发育不良。内侧骺板的畸形及其早期闭合导致喙状畸形和胫骨近端干骺端的分离。
- 见于2岁或以上的儿童,如果畸形轻微,可能会在青春期自然消失。
- MRI可直接显示骺板(图9.19)。

图9.19布朗特病。一个9岁的女孩。(a)前后位x线照片,(b)冠状位T1WI,以及(c ) T2*WI。胫骨内侧骨骺和干骺端在x线片上显示不规则和喙状畸形(箭头)。MRI显示骺板早期闭合,如图所示骺软骨信号丢失(箭头,c)
- 先天性前交叉韧带缺失
- 很少出现前交叉韧带缺失或发育不全。
- PCL可能同时缺失。
- 通常与膝关节或下肢的先天性发育障碍有关。
- 髁间隆起可能缺失或变形(图9.20)。
- 通常无症状,但随着患者年龄的增长,可能会出现前交叉韧带缺失的体征,如前抽屉征。

图9.20先天性前交叉韧带缺失。一个8岁的女孩。(a)前后位x光片和(b ) T1WI。股骨外侧髁和髁间间隙(*)发育不全。髁间隆起是单峰的,而不是双峰的(这是正常的)。因此,胫骨变得异常短。MRI显示前交叉韧带缺失,但后交叉韧带存在(箭头)