导语:Machado-Joseph病是以前两位病人的姓氏(安东约瑟夫和马查多)命名的,也因为这种病集中在亚速尔群岛,所以也被称为亚速尔病。这是一种常染色体显性遗传的神经退行性疾病。

Machado-Joseph病是什么?有哪些特点?主要是什么因素导致?
1、什么是Machado-Joseph病?
Machado Joseph病是一种遗传性脊髓小头畸形症(Ⅲ型, SCA3型 )。以锥体外系综合征、四边形萎缩及 感觉障碍、 眼外肌麻痹及眼球震颤等为特征。该疾病最早由Nakano(1972)报告,被认为是一种葡萄牙血统的 遗传疾病。
2、病因
结果表明,Machado-Joseph 病基因( Machado Joseph disease, mjdl)位于染色体14q32.1区。该基因的第三外显子位于3端附近,与不稳定的CAG 重复序列 (C:胞嘧啶,腺嘌呤,G:鸟嘌呤)是mjdl基因ataxin-3的 产物 ,即聚谷氨酰胺链,其正常功能尚不清楚。 扩增突变 导致了此病。编码的多谷氨酰胺链可能是该病的蛋白质基础,对神经系统有毒性作用。

3、发病机制
一些研究表明,突变的ataxin-3可 整合 到MJD患者的培养细胞和脑损伤区域,导致神经核内包涵体(nls)的形成和感染细胞的死亡。MJD是CAG 重复序列 导致的至少8种神经退行性疾病( 亨廷顿病、 SCA1等)之一。CAG重复次数与病理改变的严重程度呈正相关。这是Machado Joseph病的一个 重要特征 ,但NII的形成与神经退行性变之间的关系尚不清楚。
患有Machado-Joseph病,不同发病年龄的患者,临床表现也不同
临床主要表现为脑性 共济失调 、锥体束征、锥体外系征或周围肌萎缩。
1、临床分型
不同年龄患者的临床表现略有不同。Coutinho根据临床表现将该病分为 三种类型。
(1)Ⅰ型
15%在早期会得到 诊断 ,患者年龄20 ~ 30岁,锥体束征、锥体外系统损伤征,进行性眼外麻痹,面肌、舌肌束纤颤, 轻度小脑功能缺损 。

(2)Ⅱ型
占38%,发病年龄在 30-50岁之间。 以小脑功能障碍和锥体束征为特征,伴或不伴眼外肌麻痹,无外锥体系统征,症状轻,死亡年龄 60岁左右 。
(3)Ⅲ型
占47%,是一种 晚期疾病 。它开始于50-60岁或 60岁之后。 以小脑功能障碍和运动神经多发性神经病(对称性肢体末端肌萎缩 )为主 ,可伴或不伴眼外麻痹和锥体束征,进展缓慢,预后良好。
部分病例为混合型。发现I型MJD与核性眼肌麻痹呈 正相关 ,Ⅲ型MJD与核上眼肌麻痹呈 正相关。 平均CAG长度与锥体束征和肌张力障碍有关。
2、主要症状和体征
临床以共济失调步态为首发症状,早期表现为 软腭无力 、构音障碍、垂直或水平眼震、睁眼困难、 上视困难 。后期阶段有exopyramidal迹象如exopyramidal脸部或软腭肌阵挛等迹象,患者有肌张力障碍,手脚动作迟缓和四肢 肌肉震颤的萎缩。 可能会有下肢振动感。约1 / 3的患者有 脊柱侧凸 、足弓、杵状指等骨畸形。

3、眼外肌瘫痪
眼部运动障碍是其特征性表现。多数病例有眼球 运动障碍 、水平或垂直眼震、眼球突出、复视、 视神经萎缩 、视网膜色素变性等。
4、诊断标准
常染色体显性遗传。神经学表现主要为伴有锥体束征的 小脑共济失调 (II型)、伴有不同程度强直肌张力障碍的 锥体外征 (I型),或周围肌萎缩及感觉障碍(III型)。轻微但较具体的体征,如进行性眼外麻痹、颜面舌肌束性颤动、 眼球突出 等。对先证者家属的体格检查和患者的早期 诊断有帮助。
PCR有助于诊断。采用PCR方法检测MJD基因CAG重复 扩增的数量 ,认为无假阳性或假阴性结果。该方法简单、 可靠 、经济实惠,可用于患者症状前和产前的诊断。

患有Machado-Joseph病,需要通过周围血淋巴细胞检查,颅脑MRI检查等进行诊断
1、周围血淋巴细胞、羊水、绒膜绒毛等的聚合酶链反应(PCR)检测
显示MJD基因的CAG重复数。
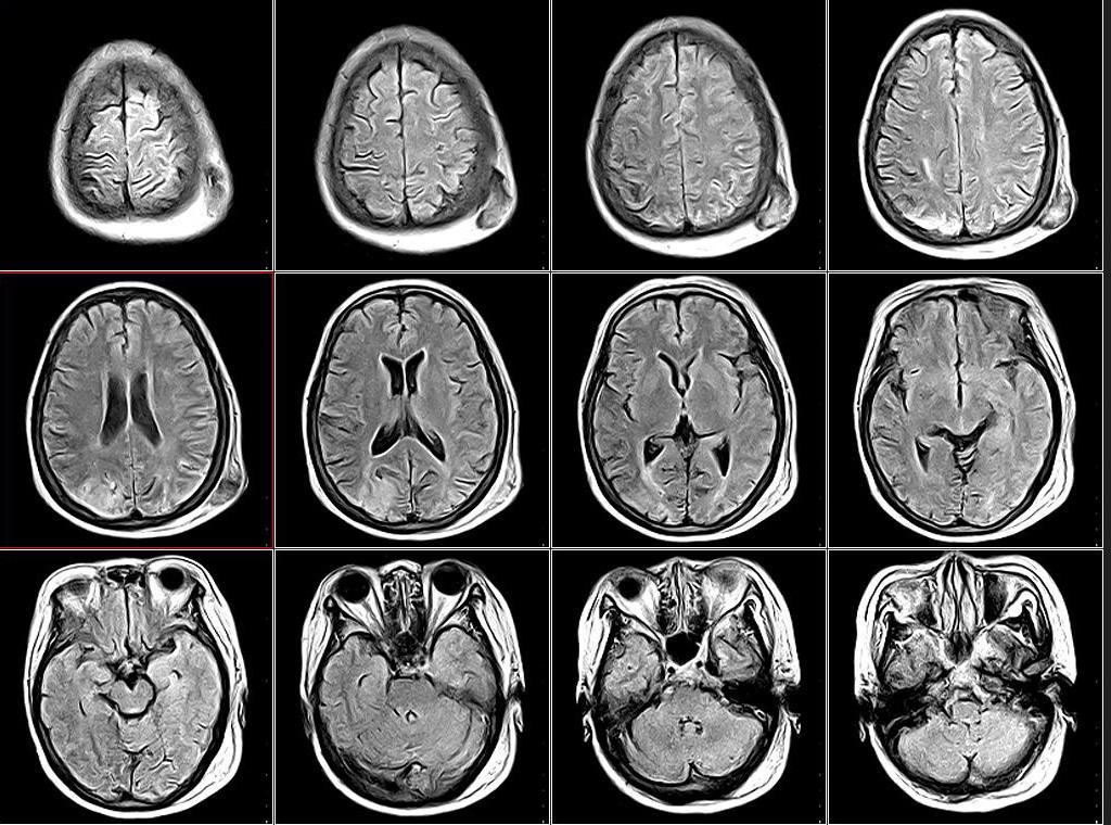
2、颅脑MRI检查
可发现脑干和小脑萎缩。MJD患者的脑桥横向纤维在T2加权图像上 呈高信号 ,偶发性橄榄桥萎缩者为高信号,对照组为 低信号 。

患有此病,容易和橄榄-脑桥-小脑萎缩,以及眼运动障碍等混肴
1、橄榄-脑桥-小脑萎缩(OPCA)
本病可能有类似MJD的 眼部表现。 Shimizu比较了Draer综合征(SDS)和27例OPCA的眼部运动障碍。结果显示,OPCA的发生率很低,差异有 统计学意义 。眼球突出和眼球不自主运动是MJD的 特点 。因此,眼动成分的分析有助于MJD和OPCA的识别。
2、帕金森
本病可能表现为典型的帕金森病,对左旋多巴 可能有效 。然而,它可能与其他疾病区分,包括锥体束和 小脑征, 周围神经病变等疾病。
3、治疗方法
这种疾病目前没有特定的治疗方法, 主要是预防 。

结语: 此病最主要的是预防,目前还没有有效的治疗方法。在结婚前最好做遗传咨询。 预防措施包括避免*亲近**结婚、基因检测和产前诊断、选择性流产等。此病是遗传疾病,危害性很大,建议尽量避免患儿出生。
