uu感染一般多久能治好 (uu转阴后会传染吗)

“医生,报告单上写着UU生长,我是不是得了性病了?我老婆是不是给我戴绿帽子了?”

“不一定,您先别慌!UU感染并不可怕,只要早发现早治疗。”

什么是“UU”?

我们来说说这个“UU”,它中文名叫“解脲脲原体”。它是一种条件致病菌,是生殖道中最常见的致病菌之一,因此它不一定是通过不洁*生活性**感染的。

当我们机体免疫功能低下,UU 就会离开正常寄居部位,脱离原来的制约因素,趁机转移或大量繁殖。又或者长期服用抗生素等药物后,引起菌群失调,这时UU就会成为致病菌。

UU它也可以引起非淋球菌性尿道炎,典型的临床症状有尿道痒、尿痛、排尿不畅,好像排不干净的感觉。有些时候还会有黏液丝随尿液排出,也有一部分患者会有稀薄的脓性分泌物。它可以引起男性不育、前列腺炎,还可能影响受孕过程。

下面,广东生殖小编来为大家介绍一下UU的真面目吧。

uu感染是什么意思,uu感染严重吗

微分干涉显微镜下的UU形态

uu感染是什么意思,uu感染严重吗

扫描电镜下观察的UU形态

uu感染是什么意思,uu感染严重吗

扫描电镜下观察的被UU感染的精子

uu感染是什么意思,uu感染严重吗

扫描电镜下观察的被UU感染的精子

uu感染是什么意思,uu感染严重吗

相差显微镜下UU附着精子,▲显示UU簇群寄生

uu感染是什么意思,uu感染严重吗

相差显微镜下UU附着精子,▲显示UU簇群寄生

uu感染是什么意思,uu感染严重吗

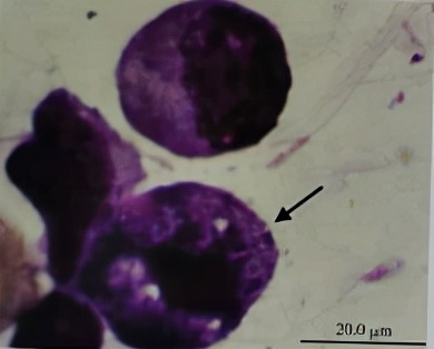
uu感染是什么意思,uu感染严重吗

瑞-吉染色观察到精子的顶体部位黏附着UU

uu感染是什么意思,uu感染严重吗

UU感染的生精细胞,使其凋亡(核固缩,核碎裂)

uu感染是什么意思,uu感染严重吗

UU感染的生精细胞,使其凋亡(核固缩,核碎裂)

uu感染是什么意思,uu感染严重吗

瑞-吉染色观察到UU感染前列腺小体后会有紫色颗粒

uu感染是什么意思,uu感染严重吗

瑞-吉染色观察到UU感染前列腺小体后会有紫色颗粒

(以上图片来源自曹兴午教授主编的《精液脱落细胞学与*丸睾**组织病理学》)

UU感染与男性不孕

UU感染导致的男性不育一直是临床上的一个热点问题,有一大部分男性不育患者精液检测时会发现UU感染,例如:

  • UU能黏附精子,干扰其运动,导致精子活力下降。
  • UU亦能侵入精子,造成精子畸形率增高。
  • UU还能侵入生精细胞,使其凋亡,从而破坏生精细胞的生精功能。
  • UU通过破坏精子的顶体区,使精子顶体缺陷,缺乏了顶体中的顶体酶,精子就不能穿过卵子的透明带,引起不育。

UU如何检测?

UU检测最常用的方法是通过液态培养基检测,并同时进行药敏试验。由于标本可能会受到细菌和真菌污染出现假阳性,因此需要固体培养基确认菌落形态后才能确诊。随着科学的发展,现在能通过采集男性的尿液,通过核酸检测RNA的方进行UU检测,使UU检测特异性更高、更灵敏。同时也能减轻男患者的痛苦,取样更便捷。

uu感染是什么意思,uu感染严重吗

UU培养阳性呈褐色菌落,有黑色的芯子

由于UU没有细胞壁,一般我们结合药敏结果,使用红霉素类或四环素类药物进行治疗,效果也是非常显著的。建议停药两周后,再一次采用培养法进行复查;核酸检测法可在停药四周后再复查,确保Uu感染得到彻底治疗。同时亦建议让配偶检测一下,若妻子也有感染,建议夫妻同治,必定会事半功倍。

UU感染并不可怕,

只要早发现早治疗,

定能早日当爸当妈!