对于不可切除胰腺癌,传统的消融治疗如(射频消融、微波消融、冷冻消融)可造成胰腺周围正常组织、血管的损伤,术后出血、胰瘘、胆瘘等并发症发生率高。纳米刀消融是一种新型的非热能肿瘤消融技术,不会对胰腺周围血管、胆管造成损伤,在超声影像融合导航系统引导下,精准布针,无需传统开腹或腹腔镜辅助,只需几个穿刺针即可实现对肿瘤细胞的杀灭。

胰腺癌俗称“癌中之王”,其恶性程度极高,侵袭能力较强,进展迅速,患者生存时间短,平均生存期仅为3-6月。加之胰腺癌患者前期无明显临床症状,早期较难发现,多数患者就诊时已是晚期,失去手术治疗的机会。
纳米刀消融通过高压电脉冲在肿瘤细胞膜上形成不可逆的电穿孔(IRE),它利用高压脉冲电场,破坏肿瘤细胞膜表面的稳定性,在细胞膜上产生不可逆的纳米级通道,导致细胞内渗透压上升,最终通过凋亡导致肿瘤细胞死亡,基本不影响血管弹性纤维、细胞基质,可以有效保护周围的血管、胆管等重要组织。
郑州大学五附院肝胆胰腺外科自2015年省内率先引进纳米刀消融技术至今,已成功完成100余例纳米刀消融手术,患者创伤小,恢复快,临床效果显著。近日,肝胆胰腺外科为一名不可切除胰腺癌患者成功开展了河南省首例超声影像融合下经皮胰腺癌纳米刀消融术。
来自甘肃的冯女士,2个月前在当地医院确诊为胰腺癌,肿瘤侵犯、包绕肠系膜上动脉及腹腔动脉干,无法行手术切除。由于她白细胞较低,先天性血小板减少,无法化疗。当地医院只能采取一些对症治疗,但效果不理想。肿瘤侵犯腹腔神经丛,冯女士经受常人难以想象的疼痛,同时吃饭也不好,睡眠差。她的女儿积极寻找治疗方法,在媒体平台搜索到纳米刀的信息,了解到郑州大学五附院肝胆胰腺外科李晓勇教授在河南省率先开展纳米刀消融技术,具有丰富的纳米刀消融经验,遂不远千里,一路舟车劳顿14个小时,从甘肃天水慕名前来就诊。
李晓勇主任热情接待冯女士一行后,根据既往病情以及检查结果,再次明确肿瘤无法切除,但未发现有其他部位转移,适合纳米刀消融治疗。考虑到病人体质较差,常规开腹对病人创伤较大,决定在超声影像融合导航系统的引导下,为患者实施经皮胰腺癌纳米刀消融手术。该导航系统能够将多种影像手段融合,术中彩超实时引导,精准穿刺肿瘤,实施消融。


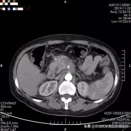
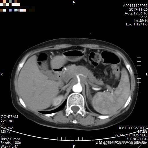
▲ 图 1 患者术前增强CT检查
2019年11月29日下午3点,手术如期进行,在手术室胡强夫主任团队,超声诊断科杨青主任团队缜密的配合下,李晓勇主任团队联合台湾大学附属医院黄凯文教授,通过术前增强CT与术中实时彩超融合引导,精确定位肿瘤位置,精准穿刺布针,纳米刀消融时间约15分钟,术中彩超提示肿瘤消融彻底,效果满意,且周围重要血管流动通畅,未见出血、胃肠道的损伤。


▲ 图 2 李晓勇主任术中图片
超声影像融合引导下经皮纳米刀消融是更加先进的微创技术,无需开腹,只需几个针尖大小的小口,达到杀灭肿瘤的效果,缩短了患者住院时间,减轻病人痛苦,符合加速康复外科理念。术后第1天,患者即可拔除尿管,下床活动,术后5天康复出院。

▲ 图 3术后照片
郑州大学五附院肝胆胰腺外科2015年在省内率先开展纳米刀消融技术。2018年又率先采用超声影像融合导航引导下经皮高危部位肝癌纳米刀消融术,目前该技术已成功应用于局部晚期胰腺癌、不可切除肝门部胆管癌、高危部位肝癌的治疗,临床疗效显著。
科普
纳米刀消融是一种新型的肿瘤消融技术,通过高压电脉冲在肿瘤细胞膜上形成不可逆的电穿孔,导致肿瘤细胞凋亡,释放胞内物质激活体内免疫系统,吞噬凋亡的细胞碎片。
纳米刀消融具有以下优势:1、纳米刀消融术中可实时监测,实现精准治疗,治疗时间短;2、对消融区域的血管、胆管不产生严重影响,适用于侵犯血管而无法切除的肿瘤;3、不受热沉效应影响,消融更彻底。