37岁的脑干出血
过年的时候收了一位37岁,家属不清晰患者有没有高血压,但近两年经常头疼,大年三十喝了不少酒,晚上玩了一夜麻将,初一上午9点多突然叫不醒昏迷被送到医院!
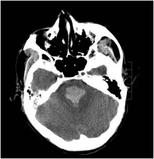
查头CT见是脑干出血,患者出现呼吸间停,收到我们科后给予气管插管,呼吸机辅助呼吸,气管切开了!
为啥几毫升的血就昏迷了?

家属问出多少血?告诉在5,6毫升左右吧。又问这么少的血为啥病情这么严重,患者这还这么年轻,平时身体没有一点毛病。为啥别人脑出血二三十毫升都没事,这么年轻的人几毫升的血就昏迷了,还给下了病危?
细心解释:那是你出血的地方不好,那个地方叫脑干。
1、脑干是人脑内重要什么生命中枢,管人的呼吸和循环的地方就在这里,还有链接大脑与身体的重要传导通路。
2、位子重要,但占得地方却很小,大约人大拇指这么粗,手术当中如果滴上一滴水人的心跳呼吸就会有变化。
3、出血在不同部位影响不一样,在大脑半球一般30毫升以下都不用手术,在小脑10毫升以上就要手术了,就怕压迫脑干。但脑干出血一般很少手术,因为位置太重要,手术难度大,手术后可能损伤更大。
4、脑干并不是一个部位,它包括中脑,脑桥,延髓三部分,不同部位出血症状是不一样的,但这些地方都很重要,一般如果出血5毫升以上就算出血量大的,预后相对较差。
5、脑干出血症状都很重,昏迷,高热,离子紊乱,呼吸消失,血压不稳等,并发症出现早且重!
6、治疗上多选保守治疗,因为大多数手术效果也不佳!预后主要和出血量和部位有直接关系!
脑干出血预后

预后极差,病死率和致残率高,而影响其预后的因素众多。
1、与具体的出血部位、出血量、是否破入脑室、脑室积血的类型。同等量出血位于中脑上部时预后差,可能与下丘脑受影响有关,脑桥出血相对较好,而延髓出血因直接压迫呼吸心跳中枢而病情极为严重。
2、脑干出血量在15ml以上,死亡率80%以上,其中脑干出血量超过20ml以上的死亡率更高。
3、脑干出血量较少者5ml以下,大部分意识障碍多有恢复,脑干功能障碍明显好转,生命体征趋于平稳。
4、在中等量脑干出血(10ml左右),一部分病人生命体症可在出血后2周左右渐趋于平稳。
珍惜健康,中年的你*不起病**
脑干出血就算能活下来进入恢复期,也多数有后遗症。
平时管理好血压,生活规律能很好的预防它的发生。
珍惜生命,照顾好自己的身体,管理好自己的健康,上有老下有小的年龄家里离不开你!