患结核的帅小哥很憋屈:4个月没牵女朋友的手,我现在还传染吗?

一位22岁的小伙子,大学刚毕业,查出肺结核。

在结核病医院已经接受了4个月的规范治疗,今天过来复查胸部CT。

“我啥时候可以去找女朋友啊?”

小伙子忧伤地交代,因为害怕肺结核传染,已经4个月没见女朋友了,问啥时候才能放心见面啊?都做过7、8次痰液化验了,已经没有结核菌了。

豪大夫有点晕,都说现在是开放的时代,快节奏,这对小情侣能坚持4个月不见面也是很有毅力了。嗯,主要原因难道是小伙太帅气?

患结核的帅小哥很憋屈:4个月没牵女朋友的手,我现在还传染吗?

CT片上可以看到,右肺尖一个球形病灶,边界清晰,里面有多高斑点状的钙化,这个是典型的“结核球”。

观察他第一次的片子,在结核球的周围还有小斑片影和一些小结节(属于肺结核的卫星灶),本次已经基本吸收了,说明治疗有效。

小伙子对这些都兴趣不大,反复就问一个问题:还有传染性吗?能去见女友了吗?

这倒可以理解,换成任何人热恋时候突然4个月不见面,也会觉得压力很大变数很多啊!

我们知道,对于活动性肺结核的诊断,金标准是痰细菌学检查。

就是说,从痰液中能查到结核杆菌,就表示具备传染性。

但是痰检阳性率只有30-50%,活动性肺结核的痰检阴性比例很高。而除了此类生物学检测之外,多排螺旋CT其实是个很好的辅助方法。

那么,CT影像上,都有哪些征象代表结核处于活动期呢?

有影像学专家有过统计,看到下面6种征象要警惕肺结核尚处在活动期——

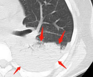
1.“树芽征”和小叶中心结节:

患结核的帅小哥很憋屈:4个月没牵女朋友的手,我现在还传染吗?

结核引起小气道炎症,形态类似小树芽

患结核的帅小哥很憋屈:4个月没牵女朋友的手,我现在还传染吗?

小树芽

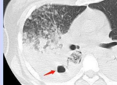
2.空洞:

结核杆菌感染引起肺组织坏死、液化,咳出后会形成局部空洞:

患结核的帅小哥很憋屈:4个月没牵女朋友的手,我现在还传染吗?

患结核的帅小哥很憋屈:4个月没牵女朋友的手,我现在还传染吗?

3.肺组织实变:

结核杆菌感染可以引起某些肺叶、肺段的炎症性实变,肺内空气消失:

患结核的帅小哥很憋屈:4个月没牵女朋友的手,我现在还传染吗?

结核杆菌感染引起左下肺干酪性肺炎

4.磨玻璃密度影:

肺结核的间质损伤,可以呈磨玻璃密度改变:

患结核的帅小哥很憋屈:4个月没牵女朋友的手,我现在还传染吗?

右下肺干酪性肺炎,形成空洞,周围大片磨玻璃影

5.气道损害

近年来,结核杆菌感染引起的气道损害得到了更多深入认识,以前称为支气管内膜结核,随着病理研究的深入,发现结核性炎症损害并不局限于支气管黏膜层,而常累及全层,故重新命名为气管支气管结核(TBLB):

患结核的帅小哥很憋屈:4个月没牵女朋友的手,我现在还传染吗?

气管支气管结核引起气道壁不均匀增厚

对照上述征象,这个帅小伙的肺结核是不是活动期呢?

我们从开篇第一张图中可以看出,小伙子的结核球属于孤立性病灶,伴有多发斑点状钙化,没有空洞,没有树芽征,也没有肺实变和磨玻璃密度影,气管壁没有增厚,说明不具备影像学的活动期表现。

再结合他的多次痰检阴性,跟女朋友见个面,拉个手,亲个……应该是没什么风险了。

当然我们不建议他们在地铁等公共场所做上述动作,毕竟影响不好嘛,别带坏了围观儿童……

最后强调一点:

胸部CT影像上,对“复杂病变”如大片纤维化,大斑块,多发病变,含钙化的较大病变和界限清楚的结核瘤等,不能下陈旧性结核诊断。

对于,孤立,局限,体积较小的局灶性病变如钙化,纤维化,边界锐利,致密的结节灶,影像打稳定性也无可厚非。

这个小伙子属于大斑块病灶,虽然含有多发钙化,依然需要完成疗程,加强营养,按照医生指导做规范随诊。

我是影像科豪大夫,做靠谱的医疗科普,感谢您的阅读,欢迎点击关注!