中风 不仅是危及生命的危急重症,它所留下的后遗症更是会长期折磨患者的生活。往往很多患者情绪低落,家庭关爱不足,易错过最佳恢复时机,产生无法逆转的后遗症,甚至多次中风,健康状况急剧恶化。
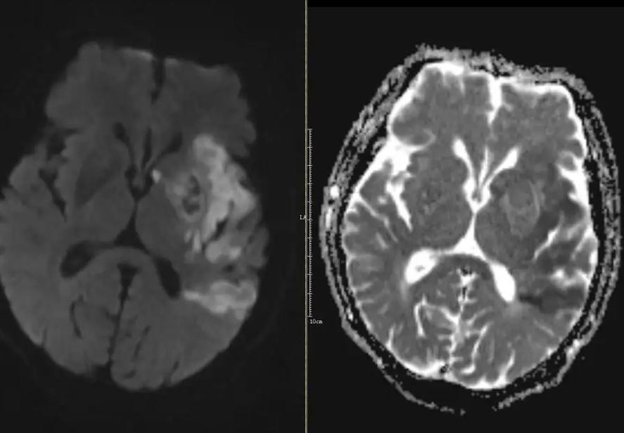
话说有这样一位患者郭先生,55岁,来看诊的3天前夜间卧床休息时,突感言语不清,发音费力,右侧上、下肢体难以活动,乏力明显。家属及时发现送至当地三甲医院,急做头颅CT检查后诊断“急性脑梗死”,给予溶栓治疗。病程中,郭先生意识清晰,无其他明显不适,但言语不清未见改善,右侧肢体仍无力,甚至有加重趋势。主诉:言语不清伴右侧肢体无力3天。

刻下症: 言语不清,吞咽困难,右侧肢体无力,上肢仅能在床上平移,下肢能抬离床面但不能对抗阻力,无明显怕冷怕热,汗可,纳可,眠一般,二便可。舌暗红,苔薄黄,脉数。
方证辨证: 中风后遗症,便以《古今录验》 续命汤加减使用,开方如下:
组成:生麻黄、杏仁、生甘草、川芎、桂枝、当归、*党**参、生石膏、干姜。颗粒剂,沸水冲服,分2次早、晚饭后半小时温服。

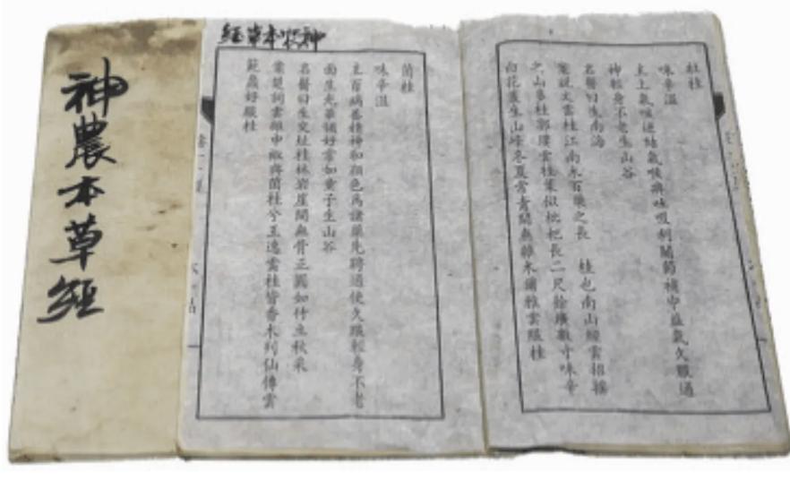
《神农本草经·中品》载:“麻黄,主中风伤寒头痛温疟,发表,出汗,去邪热气,止咳逆上气,除寒热,破癥坚积聚。”此中明确指出中风为麻黄主要证治之一,麻黄在《古今录验》续命汤中主要解表祛邪,散邪则可利脉络。本案中笔者的父亲也在服用1剂后出汗明显,感觉右侧偏瘫肢体有显著改善。
郭先生回去后坚持调理了一段时候后,二诊时其述服药后全身出汗,感觉头脑清醒,右侧半身如蚁行感。随后晚上继服半剂,第2日清晨,见父亲右上肢已能抬起,右下肢明显可抗阻力,肌力均可见增加。郭先生已能在搀扶下行走,全身感觉轻松,尤其右侧上、下感觉明显有力。服用7剂后,已经能够自行下床行走,仅有时出现活动不灵活的情况。效不改方,继续服用,同时帮助其功能锻炼。三诊时已能正常自行活动,甚至能够跑步,与常人活动无异,甚为欣喜。

最后,在多数中风发病都是有前兆的,例如疲劳感明显、头晕、一过性肢体麻木乏力、发作性眼前发黑以及哈欠不断等,如老年人短期内这些情况明显,就应高度警惕或及时就医。中风的主要症状是突发口角歪斜、言语不利和一侧肢体麻木乏力,出血中的中风患者,还可伴随头痛及恶心呕吐。