儿科病例: 高血压危象、颅内出血、脑外伤
患儿,男,10 岁,46 kg,以头部外伤后右侧肢体软瘫1 d收入院。
入院前1 d 突发头晕头痛,继之倒地撞伤头部,3 h后出现右侧肢体瘫痪,渐加重,不伴有意识障碍及抽搐。无肾脏疾病病史,无多汗、消瘦病史,无糖皮质激素及儿茶酚胺类药物应用史,运动耐力良好,智力发育正常,无高血压家族史。
查体:左上肢血压220 /190 mmHg,右上肢血压210 /185 mmHg,左下肢血压215 /195 mmHg,右下肢血压210/185 mmHg,测血压最高260 /190 mmHg;呼吸平稳,面容正常,体型偏胖,无满月脸、水牛背等中心性肥胖表现,心率150 次/min 左右,心音有力,律不齐,无明显杂音,脉搏及脉率正常,末梢温。
颅脑CT 示“左侧基底节区脑出血9 ml,右侧基底节区脑软化灶”。入院后查腹部增强CT 未见异常,无肿瘤,肾上腺形态及密度正常;胸片正常;双侧肾脏形态及肾脏血管超声正常;心脏彩超正常,主动脉弓未见异常,左室收缩功能良好,无反流及瓣膜改变;心电图可见左室高电压,多形室性早搏;尿常规蛋白2 ﹢,复查正常;电解质、肝肾功、心肌酶正常;CRP 16 mg /dl;ESR 22 mm/h;ASO、RF 阴性。眼底检查见Ⅰ°高血压眼底改变。
结合病史、查体及辅助检查,诊断为“高血压、高血压危象、颅内出血、脑外伤”。
本例患儿血压极高,在严重高血压的基础上出现颅内出血、偏瘫、头晕等高血压脑病表现,诊断高血压危象明确。眼底检查见Ⅰ°高血压眼底改变,提示患儿高血压病程已较长;心电图可见左室高电压及多形室性早搏,考虑与血压过高心脏过度牵拉有关。
病因方面,本例患儿查腹部增强CT 未见异常,双侧肾脏形态及肾脏血管超声正常,肾功正常,复查尿常规正常,不支持肾脏及肾血管病变。患儿无多毛、中心性肥胖表现,CT 见肾上腺形态及密度正常,血压无明显昼夜变化,不支持肾上腺皮质增生。无多汗、低钾,血压呈持续升高,无剧烈波动,不支持嗜铬细胞瘤,如能完善24 h 尿香草扁桃酸则更能明确。正常情况下,下肢血压应比上肢血压高20mmHg 左右,此患儿下肢血压略低于上肢血压,应注意大血管病变。主动脉缩窄患者下肢血压低于上肢,但心力衰竭出现较早,伴有明显的左心增大。患儿无心力衰竭表现,心脏彩超未见异常,心功能良好,无反流及瓣膜改变,不支持此病,应行心脏大血管重建协诊。患儿查CRP、ESR 均较正常升高,应注意自身免疫性疾病,故多发性大动脉炎不能除外。如能行全主动脉造影找到大血管狭窄并且伴有自身抗体阳性可有力支持诊断。此外,患儿有颅内出血,与高血压的因果关系尚不能完全明确。亦应注意颅内血管畸形引起颅内出血,颅压升高继之导致高血压的可能性。如行颅脑磁共振血管造影则可进一步证实。由于家长过早签字出院,未能完善全部检查,实属遗憾。
转入我科后采取静脉及口服联合给药,积极降血压治疗。硝普钠泵维,剂量自0.5 μg /(kg•min)渐升至7 μg /(kg•min),48 h左右血压平稳降至140/90 mmHg,患儿无头痛,无恶心呕吐等不适主诉。硝普钠应用72 h 左右,已达足疗程,为避免长时间用药出现药物毒性反应,逐渐减停。减量后血压复升,换用酚妥拉明泵维。剂量自1 μg /(kg•min)渐升至7 μg /(kg•min),用药24 h 左右,血压降至150 /90 mmHg。静脉给药的同时应用双氢克尿噻、卡托普利、氨氯地平口服,血压稳定于130 ~140 /85 ~95 mmHg。患儿一般状态良好,肢体活动正常,无不适,复查脑CT 示“颅内亚急性血肿,较前体积变小,密度减低,右侧基底节区低密度性脑软化”,血肿较前吸收。家长签字出院。
读后评:
病因方面,尽管儿童原发性高血压的发生率逐年增加,但儿童高血压仍以继发性因素最常见,约占80%。继发性因素中以肾脏病变最为常见,约为80%,其次为血管病变、内分泌疾病、颅脑病变、药物因素等。就本例而言,由于种种原因,病因诊断没法给出,也是临床的实际情况。
在我国临床实践中,硝普钠使用较多。一般从0.5 μg /(kg•min)开始,根据降压效果逐渐调整剂量,通常剂量为3 ~5 μg /(kg•min),最大剂量不超过8 μg /(kg•min)。但由于其长时间大剂量应用后的氰化物毒性反应问题以及快速耐药反应,目前硝普钠在国外已不作为一线用药。
酚妥拉明也是高血压危象抢救时的常用药物。剂量为1 ~10 μg /(kg•min),最多不超过15 μg /(kg•min)。优点是对于正常血压无明显降低作用,缺点是可造成反射性心动过速。
国内某儿科中心的治疗概况

目前在美国,尼卡地平和拉贝洛尔已经成为治疗儿童高血压危象的一线用药。国内儿科尚无相关指南,尚需要更多的临床用药经验积累。
成人病例:高血压急症并发硬膜下血肿
患者,男,53岁,因左侧额颞部突发性头痛3天来诊。头痛被描述为压迫性,位置恒定,强度8/10,向左侧辐射。仰卧站立时伴有恶心和头晕。
体温为37.2℃,血压为255/130mmHg,脉率83次/min,呼吸16次/min。
既往史:三年前诊断高血压,口服降压药包括氨氯地平10mg/d和氢氯噻嗪25mg/d。患者依从性差。
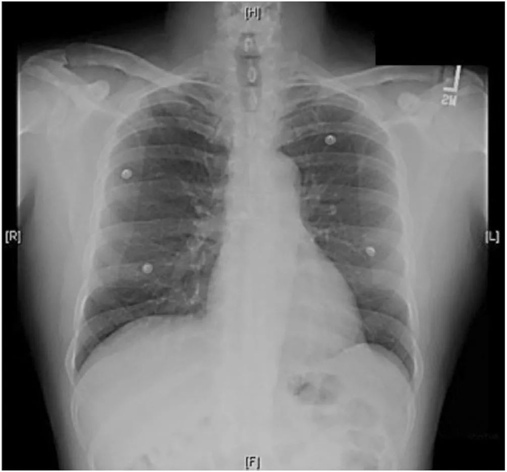
图1 胸片心影正常,无肺部疾病。

图2心电图也没有显示任何缺血性改变或心律失常。

经胸超声心动图显示轻度左室肥厚,但在正常范围内。
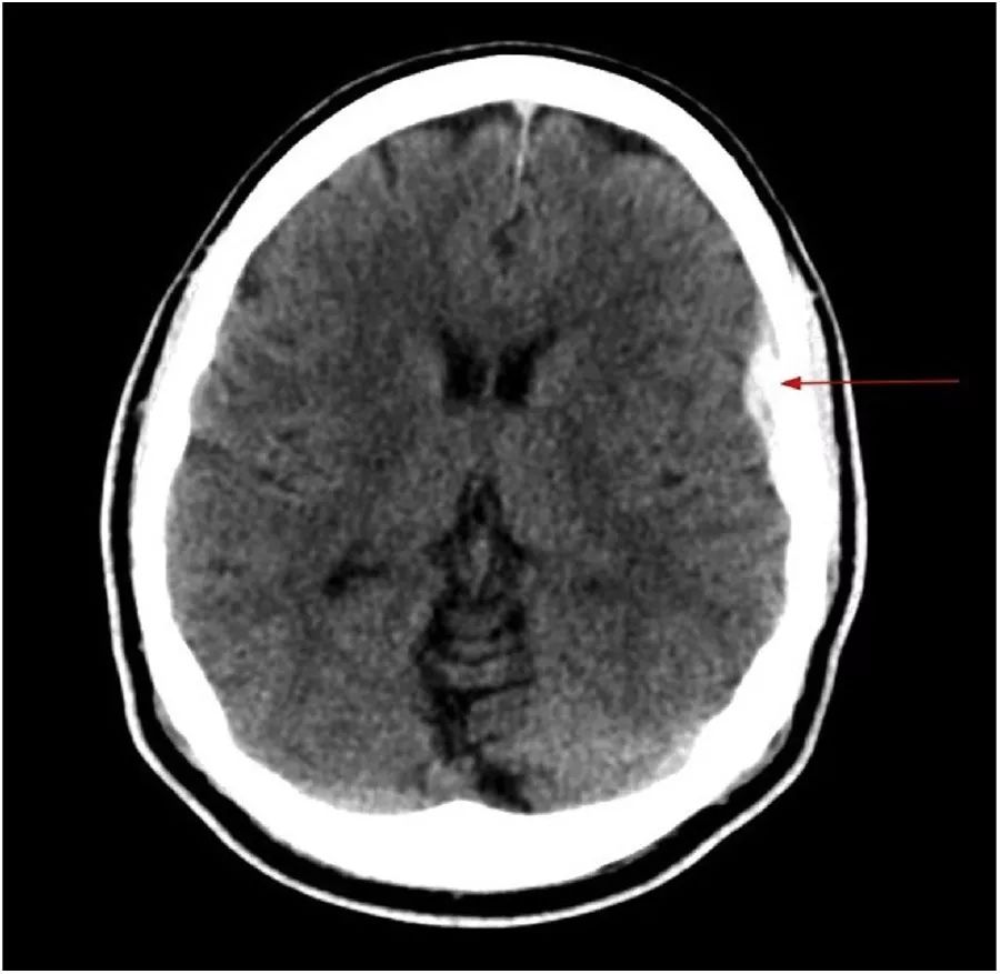
图3 急诊行头部CT显示左额叶皮质上方有少量急性硬膜外出血,没有颅内压升高的表现。

在急诊室,每10-15分钟20mg拉贝洛尔静脉注射,共4次,血压从255/130mmHg下降到180/113mmHg,脉率为61次/min。1g左乙拉西坦预防癫痫发作,并静脉注射去氨加压素40mg以防止进一步出血。
头CT在来诊后6h复查,显示病情稳定。入院第二天进行头颈部CT血管造影,排除血管瘤或动静脉畸形。神经外科医生会诊,建议在神经外科进行密切观察。由于硬膜下血肿很小,不扩大,与颅内压升高或局灶性神经功能缺损无关,因此内科治疗,密切观察。患者住院期间否认发热、呕吐或畏光。
口服降压药物,包括氨氯地平10mg/d和羟氯噻嗪25mg/d。在接下来的3天内,血压进一步下降到160/105 mmHg,在第二天口服100 mg拉贝洛尔,日3次,在第3天增加到200 mg,日 3次。第五天,出院回家,血压为130/85mmhg,脉搏每分钟66次。
用药情况见下表

图4显示了系统血压、舒张压和心率的趋势。

指导患者每天服用氨氯地平10mg,氢氯噻嗪25mg,拉贝洛尔200mg,以控制血压。
出院后2周复查头部CT显示血肿大小稳定,无扩张或颅内压升高迹象。血压控制良好,随访中。
读后评:
高血压急症患者表现为缺血性中风、脑内出血、蛛网膜下腔出血或高血压脑病。急性自发性硬膜下出血是一种少见并发症,此时应该定为高血压急症还是高血压亚急症?这个成人病例提示,高血压并发急性自发性硬膜下出血建议归为高血压急症,应给予严格积极治疗。
此外,这篇病例文献通过较详尽的病例描述,我们可以了解目前国外的成人高血压急症的诊治概况。
知识点1
血压危象的定义高血压危象( crisis)包括高血压急症和亚急症。
高血压急症( emergency):指血压短时间内严重升高(通常BP>180/120mmHg)并伴发进行性靶器官损害的表现。
高血压亚急症( urgency):血压显著升高但不伴靶器官损害,通常不需住院,但应立即进行口服抗高血压药联合治疗,应仔细评估测高血压导致的心肾损害并确定血压升的可能原因。
在临床上,若患者收缩压≥220mmHg和/或舒张压140mmHg,则无论有无症状亦应视为高血压急症。
对于妊娠期妇女或某些急性肾小球肾炎患者,特别是儿童,高血压急症的血压升高可能并不显著,某些患者既往血压显著增高,也已造成相应的靶器官损害,未进行系统降压治疗,或者降压治疗不充分,而在就诊时血压未达到收缩压(SBP)≥210~240mmHg和/或舒张压(DBP)≥120~130mmHg,但检查明确提示已经并发急性肺水肿动脉夹层、心肌梗死或脑血管意外者,即使血压仅为中度升高,也应视为高血压急症。
注意事项
目前国内外尚存在一些其他高血压的相关术语如高血压脑病、恶性高血压等,其实质均属于高血压急症范畴。
高血压脑病:由于过高的血压突破了脑血流的自动调节范围,脑组织血流灌注过多引起脑水肿所致的临床综合征。
恶性高血压:指动脉血压严重升高(舒张压>140mmHg,但不是必须),伴血管损害,包视网膜出血、滲出和或视乳头水肿。如无视乳头水肿的表现,则称为急进性高血压。
患者血压的高低并不完全代表患者的危重程度,是否出现靶器官损害以及哪个靶器官受累不仅是高血压急症诊断的重点,也直接决定治疗方案的选择,并决定患者的预后。在判断是否属于高血压急症时,还需要注重其较基础血压升高的幅度,其比高血压的绝对值更为重要。
高血压急症
◆急性主动脉夹层
◆高血压脑病
◆颅内出血
◆蛛网膜下腔出血
◆动脉硬化栓塞性脑梗塞
◆急性左心衰伴肺水肿
◆急性心肌梗死
◆不稳定型心绞痛
◆急性肾功能不全
◆妊娠子痫
降压目标

推荐用药

知识点2
蛛网膜下腔出血、硬膜下血肿、硬膜外血肿的鉴别
