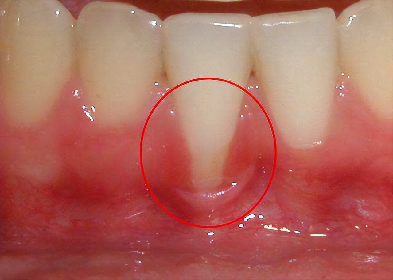
为什么牙根会外露?
牙根外露一般是由这两个原因引起的:
1、牙周炎症引起的
日常没有做好口腔清洁工作,牙结石堆积在牙齿表面,长期的刺激下,导致牙龈发现,出现牙龈萎缩、牙槽骨吸收,最后引起牙根外露。

2、咬合问题引起的
某个牙齿承受的咬合力量过大,容易造成局部牙槽骨被刺激,导致吸收,引起牙根外露。不过这种情况是比较少见的。

牙根外露要如何治疗?
1、纠正清洁方式
如果牙根外露情况比较轻的话,建议学习正确的刷牙方法,定期进行口腔检查和超声波洁牙。很多牙根外露都是由于口腔清洁不到位引起的。
2、进行牙周治疗
如果处于中度的牙根外露,则需要及时进行牙周治疗,以及因牙根外露引起的抗敏感治疗。并且根据牙根外露以及松动程度进行固齿术。

3、重新进行牙齿修复
如果牙根外露比较多并存在三级以上松动度的情况的话,建议拔除后重新进行缺牙修复。
