智齿问题几乎是每个人都会面临到的,许多人对于刚长出来的智齿都是很茫然,这个智齿会不会危害到我们其他牙齿的健康?要不要拔掉?要是后续发炎了又该怎么办呢?别着急,黄医生来给大家解答,面对智齿的种种情况我们该如何正确应对!
我们到底要不要拔智齿?
除了“疼痛发炎才从医生那了解到是智齿的问题”以外,其实很多人都是在口腔检查的时候被医生告知长了智齿,当医生建议拔除时,心里都很忐忑,这个智齿到底要不要拔?因为担心拔牙很疼,而且一想到牙科医生拿着个“锤子”在口腔内一阵敲打,很多人心里就不禁打了个寒颤,也开始产生了退缩的想法。
对于这个问题,如果大家想要知道自己的智齿该不该拔,最好的方法还是找口腔专科医生检查自己的智齿是否在“正常”的范围中,同时也要时刻留意这颗智齿会不会存在潜在的安全隐患,一旦发现具有健康隐患,给身体造成危害,需及时就医进行拔除。

像是有些智齿没有长好的话,或者是处于一个发炎的状态,如果一直不做相关处理就会产生一系列的口腔问题。所以在这里建议大家,如果长了智齿还是赶紧去找口腔专科医生检查后再进行评估,以免影响到自己的口腔健康。
智齿的生长会有哪些情况发生?
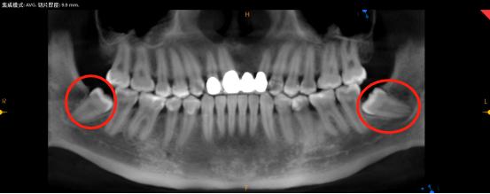
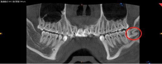
我们通常所讲的会造成严重后果的智齿,都是指下颌智齿。那么可能引起严重后果的下颌智齿又有哪些情况呢?如下图:

近中阻生

水平埋伏阻生

倒置阻生
大家千万注意,长成以上类型的智齿都可能发炎,如果不对它们进行及时的处理,任由它发展下去的话,便会导致很严重的后果。所以对于上述所讲情况的智齿,都应该引起一定的重视,最好尽早将智齿拔除。
发炎后的智齿会有哪些症状呢?
智齿发炎会导致周围的牙龈红肿、疼痛,龈袋溢脓,并发间隙感染,张口受限,面颊瘘,更严重的还会导致菌血症、败血症而是危及生命。所以对于发炎的智齿我们千万不能放任不管,最好在控制炎症后尽快进行拔除。

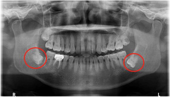
那么它会对其他牙齿产生什么影响吗?
如果我们不把上图情况的智齿拔掉,最直接的影响就是智齿旁边的牙可能会被顶坏,导致牙髓发炎需要根管治疗,甚至牙根都可能烂掉,最终无法保留,只能拔除。
位置不正的智齿建议尽早拔除,不然会严重危害到其他牙齿甚至是整个口腔的健康。我是口腔科黄医生,以上内容如果对你有所帮助的话,想要了解更多有关口腔疾病知识就点个赞+关注吧~