40岁的大叔,血糖“爆表”突然昏迷!
到医院一查,竟然查出了胰腺癌!
血糖异常和胰腺癌咋扯上关系了?
专家告诉我们:它俩的联系千丝万缕,关系相当“亲密”!
一次突然昏迷的背后,竟是胰腺癌与糖尿病的“纠缠”
李先生今年40多岁,正值壮年,平时身体也感觉很棒,连感冒都极少。但最近一次午饭后,他忽然陷入昏迷。同事们吓坏了,赶紧把他送到南京医科大学第二附属医院。
医生一检查,李先生的血糖已经“爆表”,竟然是糖尿病导致的酮症酸中毒昏迷。

恐怖 ! 酮症酸中毒昏迷可是糖尿病最常见、最严重的急性并发症
对李先生的抢救争分夺秒,家人觉得很奇怪,从没听说过他有糖尿病,怎么忽然就昏迷了呢?
显然,李先生不知不觉已经是糖尿病人,而他自己一点都不知道。酮症酸中毒昏迷的原因其中就包括了糖尿病病人胰岛素停用或减量过快,或病情加重。
但接诊的医生留了心,他通知了一位权威专家来会诊——南京医科大学第二附属医院胰腺中心主任钱祝银教授。
钱祝银教授了解李先生的基本病情后,建议给李先生做个腹部的CT。正值青壮年的糖尿病人,突然遭遇严重并发症,为什么要做腹部CT检查?
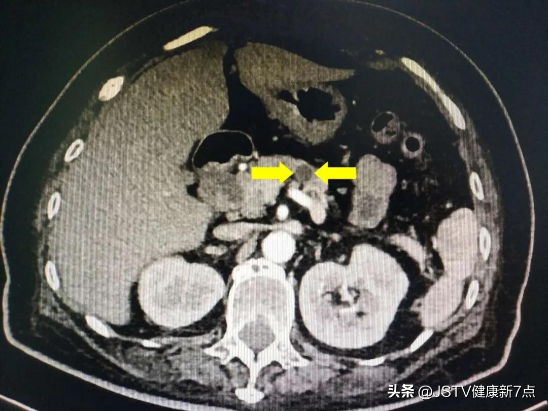
钱教授自有推断。结果一检查,竟然发现了在李先生胰腺尾部有一个可疑的肿块!

黄色箭头指出胰腺肿块的位置
进一步检查,竟然是胰腺癌,但是幸运的是肿瘤不算太大,也没有侵袭到其他部位。
钱祝银教授和团队为李先生做了手术切除肿瘤之后,李先生康复出院,精神也一直不错。
像李先生这样,因为糖尿病而发现胰腺癌的,并不少见
“算起来也是“不幸中的万幸”。因为血糖的异常,反而更容易在胰腺癌的早期被发现,避免出现一确诊就失去手术机会的状况。”钱祝银教授说,其实,胰腺癌与糖尿病有着千丝万缕的联系。

红色脏器就是胰腺
钱祝银教授介绍,胰腺在腹部深处,不起眼,但其实是人体非常重要的器官之一。
它“对外”分泌胰液帮助消化食物,“对内”分泌胰岛素等激素,有调节人体血糖的功能。胰腺癌和糖尿病,有千丝万缕的联系。简单来说,糖尿病患者容易得胰腺癌,而胰腺癌患者也经常会出现高血糖的情况。
有研究表明,糖尿病患者胰腺癌的发病率是非糖尿病患者的2.5倍,糖尿病患者中发生胰腺癌的,大约有10%。这主要是因为慢性的高血糖状态下,糖尿病患者身体的内环境发生了变化,导致胰岛细胞功能障碍,炎症反应,甚至诱发癌变。
胰腺癌患者合并血糖异常的情况更常见
有研究指出,45%的胰腺癌患者会伴发糖尿病。这其中,有肿瘤细胞的直接影响和间接影响。肿瘤细胞在胰腺上的生长,会破坏胰岛细胞,导致胰腺内分泌功能不全。另外肿瘤也同样会引起一系列内环境紊乱,通过复杂的机制,最终造成血糖的异常。这部分“糖尿病”患者血糖异常的根源在胰腺肿瘤上,所以手术将肿瘤切除后,患者的血糖状况可以明显改善。
就李先生的这样的病例,钱祝银教授建议:
建议新发糖尿病患者,再查一下腹部CT,排除胰腺癌

因为新发糖尿病可能是胰腺癌特有的早期表现之一。这种糖尿病发生得通常比较“突然”,患者可能没有家族史,年纪也可能比较轻,此前也从来没发现血糖异常过,但糖尿病进展特别快,甚至一下就到酮症酸中毒昏迷的地步。
钱祝银教授提醒,如果是新发糖尿病,不能掉以轻心。虽然根子在胰腺癌的情况比较小,但也建议及时就医之外,进行腹部CT检查,排除胰腺癌的可能。一旦早发现,可以赢得救治的时间,对自己、对家庭都意义重大。
另外,长期患糖尿病的病人如果近来病情发生了变化,或原本能控制病情的治疗措施变为无效,需注意有可能在原有糖尿病的基础上又发生了胰腺癌的可能性。
文字资料:南京医科大学第二附属医院 胰腺中心
编辑:蔡晓凤
审核:龙斌
出品:江苏省广播电视总台卫生健康栏目《健康新7点》