如今,大多数人每天都在低头伏案工作、低头玩手机的姿势下来回切换,等到出现头晕头痛、颈肩酸痛不适的时候才到医院做检查,结果发现自己有“颈椎生理曲度变直”?
然而颈椎正常的曲度是一个呈C型的结构,那这变直了应该怎么办呢?

案例分享
对此导入一则颈椎曲度变直的病人通过一年的努力下, 恢复成正常曲度的“成功案例” !
病人是一名长时间对着电脑办公的办公一族,一直以来,颈肩问题都不太好。尤其是去年,她一次不小心落枕, 将问题彻底引爆 出来了!
据病人描述:是在一天早上,她在朦胧将醒的时候就感觉到了一阵阵耳鸣。坐起来之后,耳鸣症状越发明显。仿佛是有人蒙住了一边的耳朵,然后“突 突 突 突 突”地在敲击耳膜。
当病人自己转头到一定的角度,例如头往左侧,稍倾斜15°,耳鸣症状就会消失,但一旦倾斜到20°,耳鸣症状就会立马出现。
病人当天马上预约了专业医生进行检查,并接受专业的手法治疗。经过一个星期三次的治疗后,耳鸣症状才逐渐消失。也是在这一次治疗中,病人才“因祸得福”知道了自己的颈椎曲度已经变直!

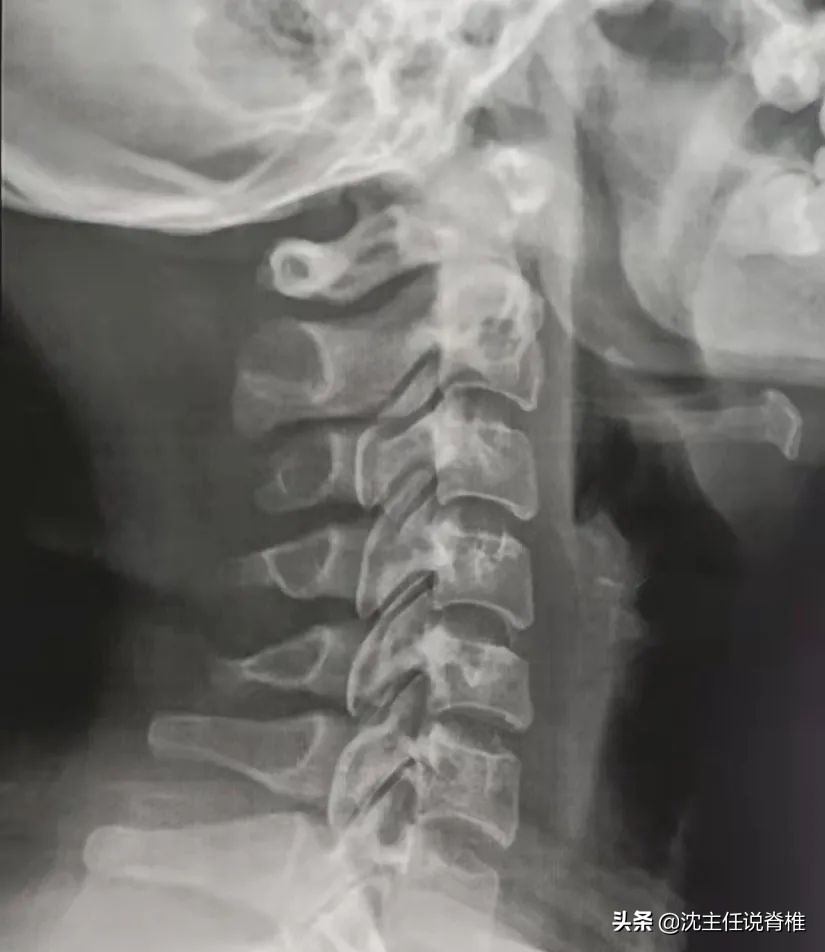
病人当时的颈椎拍片↑
据我们分析,长时间的姿势不良、长时间的低头伏案、枕头高度不合适、睡姿不好等原因下,都会导致颈椎曲度变直或颈椎曲度反弓。
像病人日常的颈肩疼痛、甚至这次耳鸣,都和颈椎问题息息相关,如果日常生活中还是不加注意,以后情况可能会越来越严重。从此之后,这位病人便开始了漫漫的颈椎曲度修复之路!
成功恢复颈椎正常曲度!
经过了一年时间,近日这位病人重新去拍了一组颈椎X光片,我们得到了她很好的反馈: 重获了一条非常“漂亮”的颈曲曲线!

从颈椎曲度变直,到现在颈椎生理曲度恢复正常,这位病人其实只做了2件事!
第1件事—“颈肩针对性锻炼”
一、平衡环环转运动:
动作要领:
1、将双手放入平衡环内,手臂抬于胸前,手腕放松向身体外发力,全速旋转30秒。
2、注意肩膀放松,不要耸肩。

动作作用:通过手臂旋转,带动肩胛骨不停转动、抖动、摩擦放松斜方肌,恢复斜方肌的收缩能力,保持对头部的牵拉和稳定,放松颈肩肌肉,改善颈肩僵硬,改善头前倾。
二、激活带肩部训练:
因为很多人在日常生活中大部分动作都是 置于身体前侧完成,再加上缺乏锻炼 ,肩膀往前,难以打开;背后斜方肌被拉伸的状态远远大于收缩状态,超期以往容易造成 肩膀僵硬 ,甚至 驼背 。
动作要领:
1、将拇指以外的手指放入激活带两端的环中,双手手臂伸直张开后做向后伸展动作,想象自己像蝴蝶飞一样,利用激活带的反拉力反复伸展。正方向与斜方向操作步骤同理。
2、在做动作时,要注意保持身体正直,抬头目视前方,头部不要往前伸,利用激活带的收缩力,带动双臂,尽力向后拉伸,压缩肩胛骨。

动作作用:利用激活带的反向收缩能力,激活背后斜方肌。正方向、侧方向、反方向的肩部运动,从正、侧面挤压放松我们的斜方肌,激活沉睡已久的斜方肌。非常适用于办公一族,可以快速放松肩部,促进新陈代谢。
除了上面2个动作外,全套动作有23组,不仅可以锻炼颈肩,还可以锻炼腰腹部、骨盆、双下肢,适用于全身运动!!最好每天都坚持做哦,效果更加明显,体态都可以有明显改善!

第2件事—“使用正确的枕头”
秉持健康枕头的三个原则设计——根据不同体型、不同睡姿、不同颈曲来选择枕头,帮助我们在睡眠中正确承托颈椎,放松颈椎压力。
我们的颈椎在仰睡与侧睡时所需的枕头高度是不一样的,因此可以参考枕头正确的高度。
仰睡高度:自己一拳头的高度;侧睡高度:自己一拳头加2-3横指宽的高度。

改善“颈椎曲度变直”这件事,是一个长期、持续的过程,除了平时加强颈部的锻炼之外,还要从生活中的姿势、贴身用品等去调整,这样坚持一段时间,相信颈椎不适的情况会有所改善!
#家庭健康守护官# #健康科普大赛#