类风湿关节炎(rheumatoid arthritis, RA)不但影响关节功能、生活质量,还带来预期寿命的下降。而导致预期寿命下降的主要原因有:心血管疾病、易感染倾向。

影响寿命的心血管疾病
一,类风湿关节炎所致的非冠脉心脏病
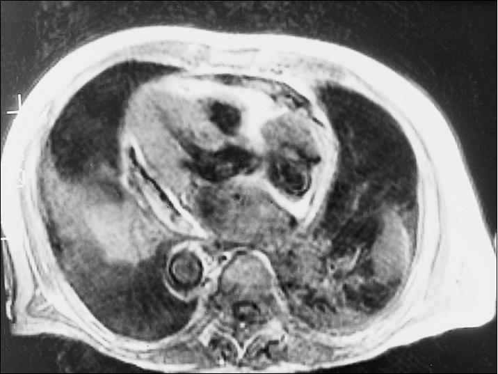
类风湿关节炎(RA)常带来心包炎、心包积液。有研究显示,RA患者出现心包积液的风险是普通人的10倍。但多数是无症状的,并不会带来明显的心脏功能下降。少数有症状的会表现出胸痛、限制性心包炎。

RA的缩窄性心包炎MRI图。心包与灰色心肌之间白色致密浸润为心包液。
RA还可以带来心肌炎。它可以是肉芽肿性、或者间质性。RA所致心肌炎通常是无症状的,罕见影响心脏功能。
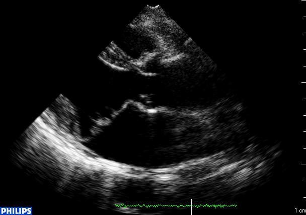
RA也可以导致心脏瓣膜病变。这主要是类风湿结节累及心脏瓣膜所致。这会导致瓣膜关闭不全、心肌传导阻滞;类风湿心脏瓣膜病变也增加脑卒中、动脉栓塞等病变风险。

46岁女性RA患者的二尖瓣脱垂的超声图
二,类风湿关节炎患者的冠脉病变
一篇包含24项观察性研究共纳入111,758例患者的meta分析总结道:类风湿关节炎(RA)患者发生冠心病死亡的风险比普通人群高59%。实际上,RA并非单纯累及关节。它也是全身受累的炎症性疾病。
RA患者的炎症细胞、炎症因子直接损伤血管内壁;血液循环的免疫复合物沉积、疾病所致的血液高凝状态、以及血脂紊乱都导致了RA患者处于冠心病高危状态。
除疾病外,治疗RA的药物也在带来冠心病。糖皮质激素带来的高血压、高体重、血脂紊乱、血糖增高等直接让增高冠心病风险。RA患者常用非甾体消炎药止痛,但该药物增加冠心病风险。除上述药物外,钙调磷酸酶*制剂抑**(环孢素、他克莫司)、来氟米特都有增高血压、血脂等风险,它们都有导致冠心病高危的副反应。
研究发现,RA患者的冠心病更可能表现为「无症状」。其原因不是很清楚。可能的原因有:
1,更少体力活动等,从而更少诱发冠心病相关症状;
2,胸痛等症状常被归咎给RA本身;
3,止痛药等药物的使用可能掩盖了冠心病引发的胸痛。
急性冠脉事件时,RA患者更少报告胸痛。风湿科医生面对RA患者无理由的血压骤高、乏力、晕厥等状况时,应能想到急性冠脉综合征可能。

冠心病的冠脉栓塞示意图
三,类风湿关节炎患者的心脏功能衰竭
很显然,类风湿关节炎(RA)病人群有更多冠心病所致心衰。但,即便不考虑冠心病所致缺血性心肌病,RA患者的心衰发病率仍较同年龄人群偏高。这可能是跟RA的全身性炎症相关。而抗风湿病药物也起了很重要的作用。
1,激素和非甾体消炎药会恶化心衰。
2,TNF*制剂抑**增加心衰风险;
3,环孢素、他克莫司有增加慢性肾病风险、增高血压、导致血脂血糖紊乱等副反应;
4,来氟米特增高血压、导致血脂紊乱。
在治疗RA时,医生务必考虑到患者的心脏功能。一方面在初始治疗时评估心功能,另一方面在治疗中也应监测心功能。

心脏明显扩大的心衰患者
1,《Echocardiography in Rheumatoid Arthritis (RA)》,Małgorzata Wisłowska
2,《 Rheumatology》(第7版)
3,《Kelley and Firestein's Textbook of Rheumatology》(第10版)
4,Uptodate临床顾问