小张踢足球时,一下子扭伤了膝关节,疼痛难忍,回到家里,开始肿胀,冷敷热敷、跌打丸、云南白药用了一大通,勉强支撑到天亮。
第二天到医院看骨科,医生说得做核磁,刚到楼下,碰到一位同学的叔叔,在医院里当保安好多年了,他说没那么严重吧,拍张X线片子,看有没有骨折,没有的话,回去好好养着就行了,还用花这钱,去吧,我认识放射科的技师长,给他打个电话,你去找他帮忙吧。

受伤机制示意图
小张犯难了,是拍片子呢?还是去做核磁?拍片子几十块钱就解决问题了,而做核磁至少也得七八百吧,到底能解决什么问题呢?
象小张这样的情况每天在医院都会碰到,其实大家犯难的不是花钱的多少,而是各种检查难解决什么问题。
一般来说,X线片子,对于严重创伤造成的骨折,显示的较好,也直接,简单,便宜,应当是首选的检查方法。
但是,对于一些扭伤、拉伤,或非直接*力暴**所致的创伤,可能没有骨折,此时X线拍片就不能发现软组织的损伤了。
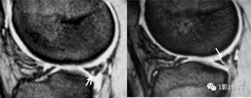
而核磁正好能补充X线片的不足,核磁不仅能发现细微的骨折、骨小梁的挫伤,还能能清晰显示肌肉、韧带、肌腱、半月板等的损伤,并能清楚地对损伤严重程度进行分级分度,来指导临床进一步治疗。

磁共振显示半月板损伤、韧带或肌腱损伤非常清晰
另外,也可以做CT,CT对于复杂部位的骨折显示较X线片要好得多,并且CT可以做多方位或三维重建,图像非常直观,临床医生和病人都很喜欢,但也是同样的问题,那就是对软组织的损伤不能准确判断。
象小张这种情况,最好的检查方法是核磁,如果有韧带或半月板撕裂,根据严重程度可得到及时手术治疗,如果是细微的软组织挫伤,或细微的骨小梁骨折,X线片是发现不了的,核磁可以明确诊断,从而早期得到正确治疗。