新春的脚步越来越近,但医院忙碌的脚步却不曾停歇,很多患者还会选择节前手术,以保证有充足的恢复时间。近日,市二医院功能,深圳市第二人民医院功能神经科蔡晓东教授团队采用目前国际上最为先进的ROSA神经外科机器人完成全国首例ROSA机器人辅助经皮穿刺三叉神经半月节微球囊压迫手术(PBC)。
该手术不开颅,机器人精准定位后只需穿刺一针,一个针眼,术后一个创可贴覆盖即可。手术快速、精确、微创、安全,术后患者痛感立即消失,术后2天患者即出院回家。这一技术填补了国内ROSA机器人治疗三叉神经痛的空白,为广大三叉神经痛患者带来了福音。
三叉神经痛(Trigeminal Neuralgia,TN),俗称为“面痛”,是最常见的颅神经疾患之一,发病率约为52/10万。三叉神经痛发作时,患者脸部突然的闪电样、刀割样、烧灼样、难以忍受的剧烈疼痛,被称之为“天下第一痛”。患者常因此不敢擦脸、进食,甚至连口水也不敢下咽,严重影响着广大患者的身心健康和生活质量,病程较长者还可能伴生焦虑和抑郁等心理疾患。
31岁的陈先生(化名),就被三叉神经痛折磨了10余年,口服止痛药物已无效,外院反复多次神经阻滞治疗已无法缓解面部疼痛。深圳市第二人民医院作为深圳市首家参与国家级显微血管减压术治疗颅神经疾患的医疗单位,向患者提出接受显微血管减压术(MVD)的建议,但患者因恐惧开颅手术,加上春节将至,患者及其家属选择比较简单微创的微球囊压迫手术(PBC)。
经过细致、严谨的术前准备后,蔡晓东主任团队在三叉神经痛专家(已完成三叉神经半月节阻滞术上千例)付友增教授指导下于2019年01月18日上午顺利完成了ROSA机器人辅助下经皮穿刺三叉神经半月节微球囊压迫手术(PBC),术中球囊充盈呈标准梨形,球囊充盈体积为0.6ml,压迫时间为90秒。手术过程顺利,从右侧面部皮肤穿刺进针,到穿刺卵圆孔到位,到最后球囊压迫,只需10余分钟便完成手术。

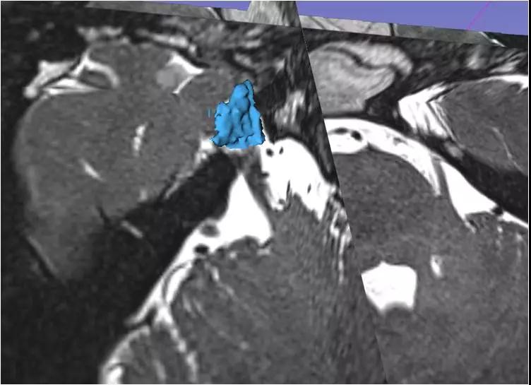
(术前根据卵圆孔大小及形态精确设计穿刺针道)

(术前利用3D-slicer软件精确重建右侧Meckel’s腔并计算其容积)

(付友增教授指导手术)

(经皮球囊压迫治疗三叉神经痛步骤)
据蔡晓东主任介绍,深圳市第二人民医院是华南地区第2家、全国第18家引入ROSA机器人的单位,ROSA机器人是一种多功能无框架立体定向手术机器人(Robot of Stereotactic Assistant,ROSA),极大地增加神经外科手术精准度和安全性,减少围手术期并发症;同时极大程度缩短手术的时间,提高了手术效率及患者的舒适度。功能神经科将会尽快建立“深圳市神经外科机器人手术中心”,全面建立ROSA机器人操作标准化流程和管理方案;全面开展ROSA机器人辅助下的各类神经外科手术,将极大提升深圳市神经系统疾病的诊治水平,造福更多的患者。
深圳市第二人民医院功能神经科简介
功能神经科是2014年为承担与国际一流的麦吉尔大学蒙特利尔神经病学研究所/医院(MNI/H)合作的市政府 “医疗卫生三名工程”,以多学科整合、临床和科研紧密结合、O2O(“互联网”线上线下协调发展)的国际先进模式成立的,华南第一家主要收治运动障碍性疾病、癫痫、疼痛等功能性脑疾病、脊髓脊柱疾病及其他需要定向微创技术治疗的脑神经疾病的神经外科亚专业科室。是华南唯一的“国家神经调控协同创新联盟”理事单位、中国神经调控联盟常务理事所在单位;科室将在五年内建成国内一流国际知名的“麦吉尔大学蒙特利尔神经病学研究所/医院—深圳 功能性脑疾病中心”,为广大病友提供一流医疗服务。

我们的诊疗范围:
1、运动障碍疾病 帕金森病、特发性震颤、肌张力障碍(音乐家手、书写痉挛、梅杰综合征、痉挛性斜颈、全身扭转痉挛)、舞蹈症、抽动秽语综合征、痉挛性脑瘫、痉挛状态。
2、难治性癫痫包括原发性癫痫和各种原因引起的继发性癫痫,如先天性疾病(脑皮质发育不良等);颅脑外伤后癫痫;感染(Russmusen脑炎、脑炎后癫痫);颅脑肿瘤(以癫痫起病的低级别胶质瘤、中枢神经细胞瘤等);脑血管疾病(动静脉畸形、海绵状血管瘤、Sturge-Weber综合征);变性疾病(结节性硬化);脑寄生虫病(脑囊虫、脑血吸虫病)。
3、慢性疼痛 三叉神经痛、舌咽神经痛、颈源性头痛、丛集性头痛、脊髓损伤后疼痛、臂丛神经损伤后疼痛、糖尿病性周围神经病、神经病理性疼痛、丘脑痛、带状疱疹后遗神经痛、癌痛、颈肩腰腿痛等难治性疼痛。
4、脊髓脊柱疾病 椎管内肿瘤、腰椎间盘突出症、颈椎病、椎管狭窄、枕颈畸形等。
5、颅神经疾病 面肌痉挛、三叉神经痛、舌咽神经痛、难治性耳鸣、眩晕、高血压等。
6、中枢性上肢瘫
7、植物人促醒
8、神经症 抑郁症、强迫症、神经性厌食症、焦虑症、肥胖症等。
9、其他立体定向治疗的脑神经疾病 囊性颅咽管瘤、脑深部病变、脑脓肿等。
深圳市第二人民医院功能神经科、健康宣教科