01. F先生,今年65岁,3个月前因咳嗽伴痰中带血丝就诊,发现肺内不规则软组织肿块,病灶位于右肺下肺门区,并累计至左肺下叶背段,病灶最大径约4.0cm。

多平面显示病灶最大径约4.0cm
02. 行支气管镜检并去病例活检,提示左肺鳞癌

03. 于是进行了PET/CT代谢显像,进行肿瘤分期,依据结果,考虑为左下肺鳞癌Ⅱa期,T2bN0M0(AJCC,2018版,肺癌分期)

FDG-PET/CT显像,提示病灶呈明显葡萄糖代谢增高,SUV最大值为10.2。

04. 患者采用免疫+化疗联合用药治疗:替雷利珠单抗+紫杉醇+卡铂 化疗4期。

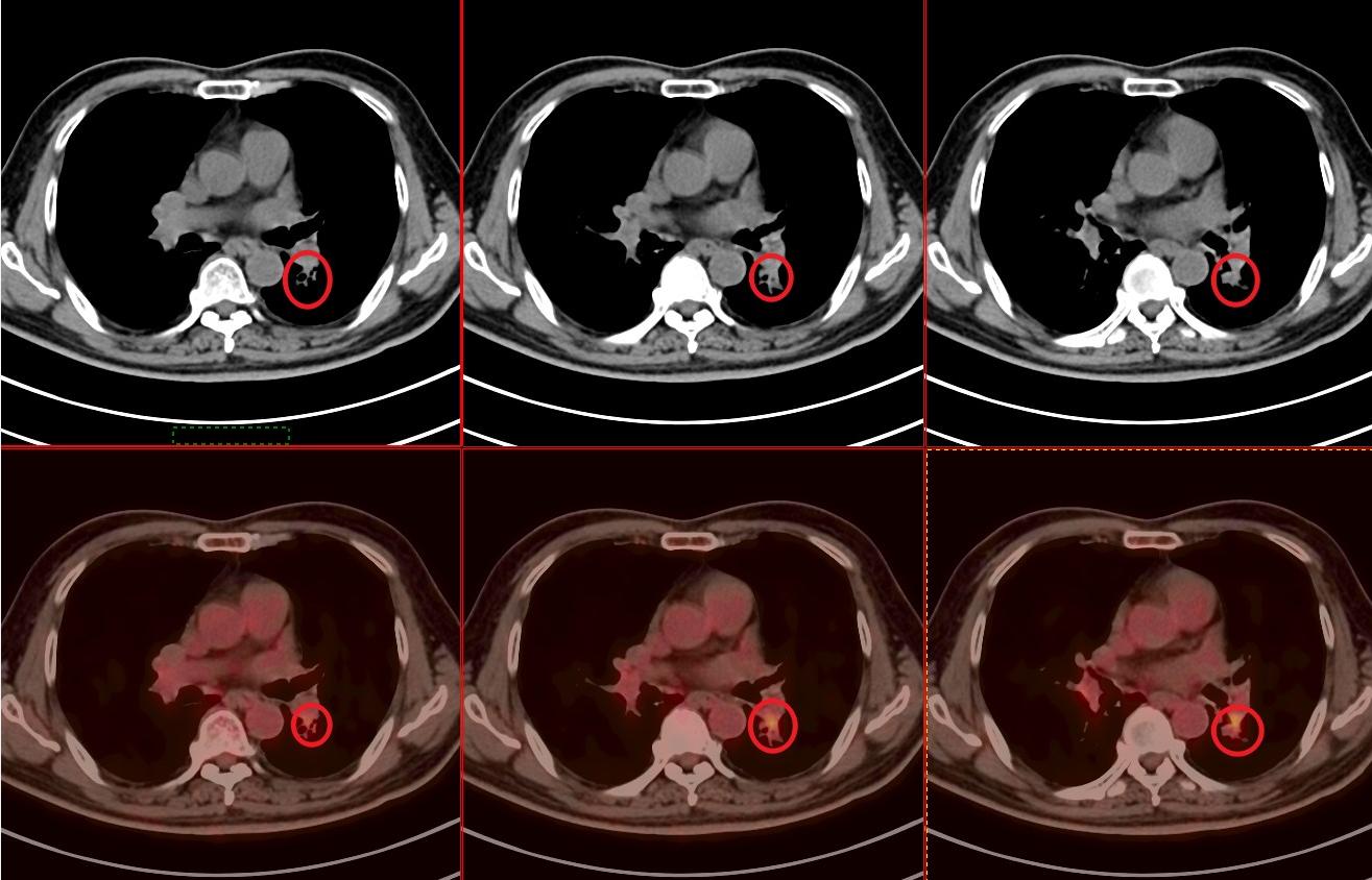
05. 4期治疗后复查, 今日来复查 :病灶明显缩小,FDG-PET/CT肿瘤活性明显减低。

病灶由最大4cm,缩小1.5cm,最重要的是肿瘤活性明显减低,SUV最大值由10.2,降低到3.0,病灶内还有少许肿瘤活性残留。

病灶最大径约1.5m
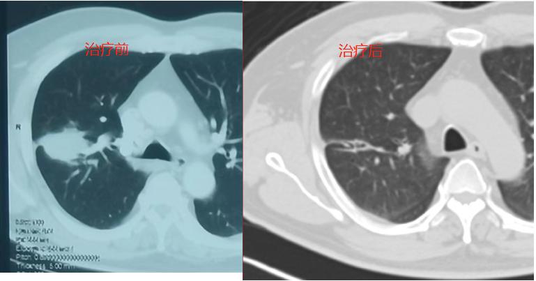
06.类似病例
下面是一例三期肺癌通过靶向治疗病灶明显好转的情况。

治疗后明显缩小
类似病例在巫医生的其他科普有非常多,相关治疗方案、指南、影像学评效和解读都有,请关注我,每天进行真实看诊病例分享。