病例分享
女性,28 岁,1 年前孕足月剖宫产,产后未哺乳,2 月后已恢复正常月经。
停经 55 天时自测尿 HCG(+),无腹胀及阴道出血。在妇科门诊就诊,诊断早孕,要求流产。术前检查血常规,凝血功能均无异常,B 超提示:孕囊大小 34×15 mm,胚芽长 10 mm,见心管搏动,孕囊位置偏下,靠近子宫峡部。查体无特殊。
B 超如下所示:

诊疗经过
按常规行负压吸宫术,吸出部分绒毛后发现阴道流血不止,患者主诉腹痛明显,缩宫素注射后出血无好转,宫颈口有大量鲜红色血液涌出,遂急诊入院,立即进手术室。
再次 B 超检查提示宫腔内中下段高回声区,直径约 5 cm,接近浆膜层。考虑子宫瘢痕妊娠不能排除,立即行剖腹探查术。手术中见子宫增大如孕 2 月,子宫下段瘢痕处菲薄,似乎马上就要破裂,切除瘢痕组织后可见瘢痕处附着大量暗红色血凝块,部分可见绒毛。
术中出血约 800 ml,术后病理提示子宫瘢痕妊娠。住院期间每 3 天监测一次血清 HCG,出院后每周门诊复查血 HCG 直至阴性。2 周后复查 B 超未提示明显异常。
经验教训
这是一个差点要命的人工流产,源于子宫瘢痕妊娠的特殊性。
子宫瘢痕妊娠,顾名思义,就是指孕囊长在了剖宫产的瘢痕处。这是一种很凶险的情况,也容易被误诊,临床上有很多惨痛的教训。
子宫瘢痕妊娠隐匿性高, 临床特点不显著, 主要表现为停经、不规则阴道出血、下腹痛及清宫术后出血不止,与普通妊娠流产并无不同。 若是不能及时有效的处理,极易出现难以控制的大出血、甚至子宫破裂,需要切除子宫挽救患者生命,已经成为妇科常见的急腹症,及早诊断并给予有效的处理措施及其重要。

B 超是诊断瘢痕妊娠的首选,也是最重要的一项检查,腹部超声结合阴道超声,当超声诊断有难度时,可行 MRI 检查协助诊断。
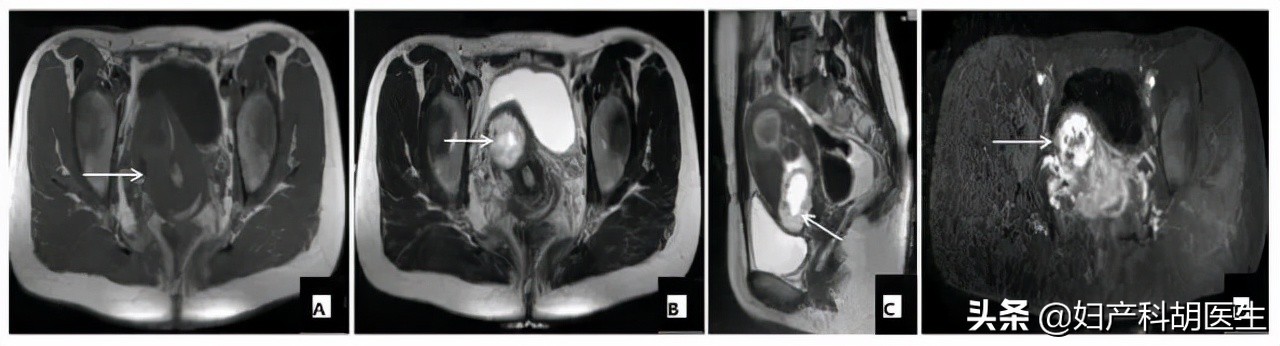
下面是一个子宫瘢痕妊娠患者的 MRI 图像,与 B 超相比,MRI 对孕囊的位置、子宫肌层的显示较为清楚。

图 A 子宫前下壁偏右侧肌层内见混合信号妊娠囊,19 mm×21 mm(箭头所指);图 B 子宫前壁肌层明显受浸润(箭头所指)。图 C 前方子宫肌层几乎消失(箭头所示)。图 D 胚胎组织与子宫肌层分界不清,提示子宫肌层受到浸润,子宫壁即将穿破(箭头所示)。
写在最后
近年来,伴随着剖宫产率的增高,剖宫产子宫瘢痕妊娠的发生率也逐年提高,临床上也越来越重视。
对于医生来说,面对一位需要流产的患者时,一定要细心,结合辅助检查、临床症状、详细询问病史,缺一不可。特别是 对于有剖宫产史的患者,在怀孕早期都应该进行详细的彩超检查,必要时行MRI检查。
对于患者来说,不向医生隐瞒病史,这点最重要,否则很可能会把自己和医生都处于危险的境地之中。

#秋天健康不打烊##非常病倒#