昨天又有一个朋友在线上问我,她说我的脚比较宽,是否可以通过手术来矫正,其实我在先前有跟大家聊过,脚宽是否可以坐窄,就古人说削足适履, 是否有必要?

脚肥
矫正拇外翻,恢复前足正常解剖结构和生理功能。大家好,我是专门做大脚骨拇外翻手术的李医生。欢迎来到我的频道,继续跟大家分享我的大脚骨手术案例,和拇外翻科普相关知识。
相对女性来讲,可能还是希望穿更小码一些的鞋子,希望自己的鞋*会码**更小一点。
当然鞋码我有跟大家讲过,鞋码它是由脚的长度,脚的宽度和脚的高度同时来做决定的,其主要因素的是脚的长度,其次是宽度,再次是高度,这3个决定因素决定。
我们大致要穿多少码的鞋,那有两个方面确实可以通过小小的改善,能够达成一定的效果。对于想要穿嗯更小码鞋子,其实我不建议大家去通过把脚做小,来穿更小码的鞋子,我们脚长这么大,其实它是有理由的啊有原因的。如果我们一味的去讲究着把这个脚去做小,这其实是一种比较畸形的需求。由于咱们中国以秀气为美,对女性的美。

美足
其实中间有一个比较秀气的,比较小巧的这种认知,就比方说古代认为三寸金莲是吧,这才是最美的脚。
其实,这相对我认为这是一种,比较畸形的审美,但是也有部分高大的,就是身高比较高的,可能啊你会穿到40码的鞋甚至41码的鞋,我认为这就没问题。
你像女篮那些个运动员,可能穿41码的鞋都不止呢?是不是 ?身高比较高,人家1米9、2米,比很多男性都高,那穿40多码的鞋这不太正常了吗?
如果你的脚,哪一种情况,他是可以通过手术来把它做窄一些呢,我就跟大家聊一下这个话题。
单纯的脚肥,就是看上去脚比较肥的那种情况,你就想都不用想根本就没有办法,即便有人说他可以帮你做小,你找他做去我不建议做。为什么呢?
即便你的脚可能脂肪看上去比较多,但是如果你把它去掉了的话,脚每天要行走它的边边,是要承受重力的,然后它是需要去受这种磕碰挤压,等等这一些的。
如果你把这肉去的太多,它后续的疼痛可能是你无法接受的,就是咱们胫骨,咱们脚胫骨的前端,它的前面就是脂肪组织非常少,就是皮下,就是骨头那一磕碰到就特别疼,你想一想脚如果成天是那么疼,你能受得了吗,我估计你是受不了的。
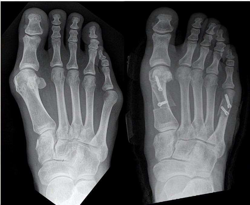
然后如果有哪种情况,他是可以通过手术来得以矫正的呢,就是图中这样子的情况,脚是有大脚骨,就是拇外翻,然后小踇趾外侧也会有凸起,我们看到这张x光片,可以通过这个情况我们能看到这脚是呈个骨头呈扇形分布。
正常状态下其实我们有一点点的角度,就是第1跖骨 第2跖骨之间有一点点角度,但是这个角度在7度以内,但是类似于这样这种角度就特别大,然后第四五跖骨现在夹角也较大。
那我们可以通过手术缩小第一二跖骨间的夹角,通过手术缩小第四五跖骨间的夹角,那把这两个夹角缩小以后,脚确实会窄许多,但有一些也要根据情况来。

大脚骨小脚骨术后
昨天有朋友就说,我想要把脚缩窄1厘米,是否可以做到,有一些可能确实可以做到,就是他第一二跖骨夹角比较大,第四五跖骨间的夹角也比较大。
一边缩个7毫米一边缩个3毫米,这是可能可以达成,但如果说两者之间的夹角都很小,基本接近正常,那这种情况你想要去把它缩小,难度就比较大。

双侧凸起术后
然后也并不一定会有多大的意义,脂肪组织,有一些人认为脂肪组织太多了,皮下组织太多了,我个人不建议去掉太多,有一些如果说因为先前没有,但是长期摩擦出现的拇囊增厚,局部组织增厚。
这种情况可去掉一点点,在解决了根本矛盾以后,他会去掉一点点,但其实它的增厚是一种代偿性的增厚,即便这一次我们不去解决根本性的问题,解决拇外翻这一类的问题,解决裁缝趾这样的问题的话,后续他依然可能出现,就是这种代偿性的增厚,他依然会再长出来。
就像我们在某个地方长了个茧子,如果我们用刀去把它削掉,这种代偿性的增生,他过一段时间他又长了起来,原理是一样的,他长这个出来是有原因的,就不去解决根本问题,不去解决根本矛盾,我们一味的去解决表象,治标而不治本。
那其实是达不成啊能够有效解决问题的目的,就单纯可能局部的软组织去除,意义也并不一定会太大。再说那个减少的部分也会非常的小,所达成的效果可能也会比较差,到时候你可能选择要么做了个伪手术,要么就是做的太多了,可能后续对于行走、运动等可能就会受到影响。
好了关于宽脚是否可以做窄,今天我就跟大家分享到这里。觉得我的内容有用呢,请帮我长按点赞,谢谢!更多大脚骨拇外翻相关的疑问,在下方评论留言,或者给我发私信。身边如果有大脚骨拇外翻的亲友,请把我的名片和我的视频转发给到他,新朋友请加关注,我们下一期再见。