
第59例:临床表现晕厥、气短、水肿
Case 59: syncope, dyspnea and edema
吴炜 方理刚 陈太波
作者单位:100730 中国医学科学院 北京协和医学院 北京协和医院心内科
通讯作者:陈太波,电子信箱:chentaibo@hotmail.com
患者女性,46岁,因"突发晕厥9个月,活动后气短伴下肢水肿8个月"于2017年7月6日入院。2016年9月29日患者在乘坐公交车时突发意识丧失,无抽搐或口吐白沫,无二便*禁失**,持续数分钟后意识自行恢复,无肢体运动障碍或感觉异常。被家人紧急送往当地二级医院后,患者反复出现三次意识丧失,发作时心电监护提示"宽QRS波群心动过速",予以心外按压及电复律后意识恢复,心电图显示窦性心律合并三分支房室传导阻滞(图1),遂转运至当地三级医院。住院期间患者再次出现晕厥,心电监护提示Ⅲ度房室传导阻滞,置入临时起搏器。超声心动图示右心增大,右室游离壁运动幅度减低,三尖瓣中度关闭不全,二尖瓣及主动脉瓣轻度关闭不全,少量心包积液,左室舒张末内径48 mm,右室前后径22 mm,右房内径45 mm,左室射血分数(LVEF)62%,少量心包积液。诊断为致心律失常性右室心肌病(arrhythmogenic right ventricular cardiomyopathy,ARVC),于2016年10月5日行双腔埋藏式心律转复除颤器(implantable cardioverter defibrillator,ICD)植入术。术后1周患者逐渐出现活动后胸闷气短,伴尿量减少和双下肢水肿,症状进行性加重至无法下床活动,伴不能平卧。2016年10月30日再次就诊于该三级医院,查血常规正常,谷丙转氨酶195 U/L(7~40 U/L),谷草转氨酶134 U/L(13~35 U/L),血肌酐78 μmol/L(41~73 μmol/L);心肌酶谱:肌酸激酶857 U/L(40~200 U/L),肌酸激酶同工酶45 U/L(0~24 U/L),肌钙蛋白I 3.18 μg/ml(0~0.04 μg/ml)。胸腹部CT示两侧大量胸腔积液及邻近肺组织膨胀不良,心脏起搏器植入术后,少量心包积液,左心室增大,腹腔积液及腹腔内大量渗出;胸腹壁皮下水肿。超声心动图示右心扩大,左室壁运动异常,LVEF下降至39%。ICD程控结果显示起搏多为心房感知,心室起搏(具体不详)。为降低心室起搏比例,起搏器工作模式为DDD程控为VVI单腔起搏模式,但效果不佳,遂恢复DDD模式。诊断患者"急性心肌炎",给予限制入量、利尿、加用美托洛尔25 mg,2次/d,螺内酯片20 mg,2次/d,伊伐布雷定5 mg,2次/d治疗后略好转。此后,患者分别于2016年11月1日、2016年11月2日及2017年1月1日出现心悸后ICD放电,程控结果显示3次均为室性心动过速,频率165次/min,ICD放电治疗成功(图2)。近半年来患者日常活动明显受限,在步行20~30 m后出现气短,双下肢仍有轻度水肿,为进一步诊治收入我院。既往史:平素体健,否认高血压、糖尿病等慢性疾病。家族史:爷爷的妹妹40岁时猝死,一姐姐有阵发心悸。入院查体:脉搏60次/min,血压90/60 mmHg,血氧饱和度95%,颈静脉充盈,肝颈静脉回流征(+),心音低钝,三尖瓣区可闻及3/6级收缩期杂音,双下肢轻度可凹性水肿。

窦性心律,电轴+90°~180°,三分支传导阻滞(Ⅰ度房室传导阻滞,右束支传导阻滞伴左后分支传导阻滞),V1、V2和V3导联可见T波倒置,箭头示QRS波群后的epsilon波
图1 患者初诊心电图

患者出现室性心动过速,ICD予以3次短阵快速刺激(Burst刺激)后未能转复,放电后成功终止室性心动过速
图2 ICD程控记录
1
分 析
患者中年女性,既往体健,发病初期反复意识丧失,结合发作时心电监护结果,心源性晕厥诊断明确。患者在首次晕厥发生之前无任何临床表现,整个病程可以分为两个阶段:第一阶段为2016年9月29日至10月5日,患者在1天之内连续出现4次晕厥,发作时的心电监护记录到宽QRS心动过速,第1次持续数分钟后自行缓解,此后3次均通过电复律的方式恢复窦律,超声心动图提示右心增大和右室收缩功能下降,左室大小与功能正常。此后再发晕厥时又记录到Ⅲ度房室传导阻滞,遂先置入临时起搏器,后植入双腔ICD。第二阶段为2016年10月中旬至今,患者出现了肺淤血(活动后气短,端坐呼吸)和体循环淤血症状(水肿、胸腔积液、腹腔积液),超声心动图示左右室收缩功能均减低,符合全心衰竭的诊断,经过利尿和抗心衰治疗后略好转。复习患者在发病当日的心电图(图1),除了三分支传导阻滞外,可以在右胸导联(V1、V2和V3)看到典型的epsilon波(箭头所示)以及T波的倒置,结合患者以恶性心律失常为首发表现,而且发病初期超声心动图提示右心的增大及右室收缩功能异常,猝死家族史,诊断ARVC基本明确。AVRC是一种以右室心肌被纤维脂肪组织所替代为病理特点的遗传相关心肌病,根据新版的ARVC诊断标准[1],ARVC的诊断主要根据:(1)右室运动异常以及右室流出道增宽或右室增大的影像学表现;(2)右室游离壁的组织病理学改变;(3)复极异常:V1~V3导联的T波倒置;(4)除极/传导异常,如epsilon波等;(5)心律失常:主要为室性心动过速;(6)家族史:家族中有患者诊断ARVC或一级亲属发生<35岁的猝死疑似ARVC。该患者没有做心肌活检来证实病理学改变,同时因已植入ICD未能行心脏磁共振成像检查,但其他方面基本符合经典的ARVC的诊断(本例患者右胸导联T波变化亦不能除外为右束支传导阻滞继发改变),具有植入ICD的适应证。第二阶段出现的问题则更为重要,患者在植入ICD后约1周时间就出现了全心衰竭,这是来我院就诊的主要目的,也是需要筛查和思考的重点。
↓ SEE MORE ↓
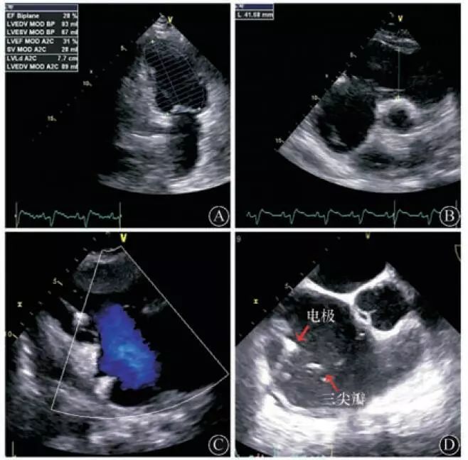
入院后查血常规:血小板83×109/L,余正常;肝肾功能:血肌酐96 μmol/L;心肌酶正常;N末端B型利钠肽原1 661 pg/ml,B型利钠肽(BNP) 360 ng/L;经胸超声心动图示全心增大,左室舒张末内径56 mm,右室横径44 mm,左、右室收缩功能减低,双平面*L法**VEF下降至28%,重度三尖瓣关闭不全(图3A,图3B,图3C),下腔静脉增宽。经食道超声心动图示重度三尖瓣关闭不全,右心内可见起搏导线回声。三尖瓣与电极间关系不易观察(图3D),未见左心耳及左右心房血栓。

经胸超声心动图:A:双平面法测LVEF为28%;B:右室流出道增宽,达到42 mm;C:三尖瓣大量反流;经食道超声心动图(D):右室电极与三尖瓣相距较远,无直接干扰三尖瓣关闭的证据
图3 患者超声心动图
2
分 析
总结患者多次复查的超声心动图检查结果(表1),显示患者在第二阶段主要表现为全心进行性扩大与LVEF进行性下降。首先考虑能否用原发病的"一元论"解释。典型的ARVC以右心室受累为主,表现为右房、右室扩大,右室流出道增宽以及右室收缩功能的下降,因此患者入院以后评估的右心增大可以用AVRC解释。但是ARVC亦可以累及左心,表现为双心室受累。据报道,ARVC患者双心室受累发生率达到了56%,单纯右心受累仅占ARVC病例的39%,而且还有5%的患者左心室受累比右心室更显著[2]。因此,从文献分析,一元论似乎可以解释患者整体病情发展的全貌。另一方面,患者的右心比发病初期有所扩大,三尖瓣反流量从中量增加为大量,是不是常见的起搏器心室电极对三尖瓣的干扰?因为少数植入右室电极的患者会因为电极阻碍三尖瓣关闭或者与三尖瓣叶缠绕导致三尖瓣关闭不全,造成右心增大及重度三尖瓣反流。入院以后我们重点筛查了起搏器电极与三尖瓣的关系,但是经胸超声及经食道超声均未发现上述证据。
↓ SEE MORE ↓
表1 患者经胸超声心动图的主要参数变化

注:NA:无数据
患者入我院后心电图提示心房与心室起搏心律(图4),QRS宽度为181 ms;ICD程控结果提示患者心室起搏比例达到98%。

患者为心房起搏与心室起搏心律,QRS波群显著增宽,为181 ms
图4 患者入我院心电图
3
分 析
如果用ARVC原发病的一元论解释,那么患者似乎只有心脏移植的唯一治疗方案了。但回顾患者的病程,存在一个值得商榷的问题,为什么患者在植入ICD前左心的结构与功能正常,但在植入ICD后1周即出现了左心功能不全的症状,同时有水肿等体循环淤血的表现,此后迅速进展为扩张型心肌病的表现?从时间关系来看,疾病进展似乎与ICD的植入密切相关,而与典型ARVC的逐渐进展的病程特点不符。有没有另外的解释原因?从ICD植入的时间特点、患者心律对心室起搏的依赖性以及心室起搏时QRS的显著增宽,我们考虑可能存在一种临床情况——右室起搏诱导的心肌病(right ventricular pacing-induced cardiomyopathy,PICM)。PICM的定义为起搏器植入后,LVEF下降≥10%,而且LVEF<50%。在1项包括1 750例单腔或双腔起搏器植入患者的观察中,筛查出植入前及植入起搏器1年后均有超声心动图检查,并且右室起搏比例≥20%的患者共257例,其中50例(19.5%)发生了PICM[3]。这50例患者平均随访3.3年,LVEF平均值从植入前的62.1%下降至植入后的36.2%。男性、基础LVEF较低及基础QRS较宽(>110 ms)是发生PICM的预测因子。本例患者由于存在ARVC的基础,所以植入ICD之前的基础QRS>110 ms,具有较高的PICM风险。而心室起搏后的QRS宽度是PICM的重要预测因素,每增加10 ms,其多因素风险比增加1.34,起搏后QRS宽度≥150 ms对于PICM的敏感度达到了95%。本例患者起搏后QRS宽度为181 ms,综合分析其发生PICM的可能性较大。
↓ SEE MORE ↓
针对PICM的处理,我们首先考虑能否通过延长ICD起搏AV间期减少右心室起搏,但最终发现患者为持续的三度房室传导阻滞,依赖心室起搏,因此这一方案不合适。经过与患者的细致沟通,我们决定为患者将ICD升级为心脏再同步化治疗转复除颤器(cardiac resynchronization therapy + defibrillator,CRT-D),3个月后随访,患者慢性心力衰竭纽约心脏病协会(NYHA)心功能分级从Ⅳ级改善为Ⅱ级,复查超声心动图,左室舒张末内径由56 mm下降至50 mm,LVEF由28%上升至49%,三尖瓣反流由重度改善为中度。
4
分 析
PICM的原因尚未明确,但考虑与右室起搏时造成的电活动不同步以及心室机械收缩不同步相关。目前针对PICM的治疗,最佳方案是CRT,本例患者由于自身存在ARVC和恶性心律失常的情况,应植入CRTD。左室电极的植入可以显著缩短PICM患者的QRS宽度,同时左室壁的同步收缩可以显著改善LVEF。一个关于PICM的小样本研究显示,PICM患者升级为CRT后多数表现为超反应(super-response)[4]。该研究分析了7例PICM患者(平均LVEF=22%),升级为CRT后7例患者均报告了临床改善,其中6例患者左室舒张末容积下降超过30%,5例患者的LVEF绝对值提高幅度≥12.5%,4例患者在6个月时复查超声心动图LVEF仍然维持在45%以上。本例患者的CRT治疗反应与国际研究相似,其治疗效果进一步验证了之前PICM的判断。
↓ SEE MORE ↓
患者最终诊断为ARVC,在植入ICD后又发生了PICM,通过将双腔ICD更换为CRTD后病情得到了有效控制。
本例提示,对右室起搏的患者,尤其男性、基础LVEF较低及基础QRS波较宽的患者,如出现不能以其他原因解释的LVEF明显降低,应考虑PICM,建议进行心脏再同步化治疗。
参 考 文 献
[1]MarcusFI,McKennaWJ,SherrillD,et al.Diagnosis of arrhythmogenic right ventricular cardiomyopathy/dysplasia:proposed modification of the Task Force Criteria [J].Eur Heart J,2010,31(7):806-814.
[2]RomeroJ,Mejia-LopezE,ManriqueC,et al.Arrhythmogenic Right Ventricular Cardiomyopathy(ARVC/D):A Systematic Literature Review [J].Clin Med Insights Cardiol,2013,7:97-114.
[3]KhurshidS,EpsteinAE,VerdinoRJ,et al.Incidence and predictors of right ventricular pacing-induced cardiomyopathy [J].Heart Rhythm,2014,11(9):1619-1625.
[4]GwagHB,ChunKJ,HwangJK,et al.Comparison of De Novo versus Upgrade Cardiac Resynchronization Therapy; Focused on the Upgrade for Pacing-Induced Cardiomyopathy [J].Yonsei Med J,2017,58(4):703-709.
本 文 来 源
吴炜, 方理刚, 陈太波. 第59例:临床表现晕厥、气短、水肿 [J] . 中国心血管杂志,2018,23( 3 ): 270-273. DOI: 10.3969/j.issn.1007-5410.2018.03.020.