——薛绛宇/文 河南省人民医院神经复合手术科主任、教授
组织交待的任务
阅读提示:这不是一般的有压力啊。
一个54岁的回民兄弟,近一月前突然出现左侧肢体无力和语言不清,并有口角歪斜。不用说,是脑梗塞了,也被核磁共振检查证实了。
脑血管造影发现,患者的右侧颈内动脉全程闭塞了,而且,一点残端都没剩下,这种情况,通常是血管闭塞很久了,决不止一个月。
这次脑梗塞发作不是才一个月吗?是的,血管闭塞的时间与脑梗塞发作时间不一定一致。
一个人的脑组织损害程度,并不取决于直接供应血管的狭窄或闭塞程度,而且取决于侧支循环。







有的人,一侧颈动脉闭塞了,但血流可以从其他血管(比如对侧颈内动脉系统)绕过来,而且流量充沛,就不会有明显的症状。不过在特定条件下,某些原因的血压波动,比如有人大量出汗或腹泻后,血容量不足,脑梗塞就发生了。毕竟平时这一侧半球血供是靠对侧支援的,一旦对侧自顾不暇了,援助肯定减少,脑血管可不如某政府境界高,宁可自己的人民挨饿,也要支援非洲。
本周末上海东方脑血管介入大会,安排几个医院手术直播,其中有我院。这台手术敢不敢直播呢?
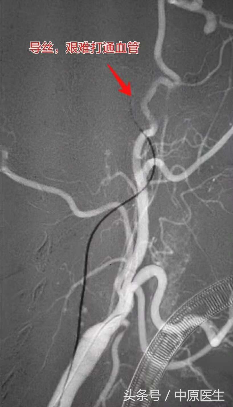
没有血管残端,若想打通血管,导丝没有着力点;闭塞的时间太久,陈旧血栓早已纤维化,一根塑料绳似的,无法打通。

中间不打马赛克的是谁?
感谢病人家属的信任(不论成败,强烈要求我们手术尝试),通过艰苦的努力,成功打通了血管。术后血管造影吓出一身冷汗:他颅内有个动脉瘤!由于血管是闭塞的,事先不知道啊!要是盲目摸进动脉瘤腔,捅破了动脉瘤,老天爷,那才是不堪设想。
没敢直播,感谢许奕教授洪波教授黄清海教授同意我们做了录播。感谢许小勤蔡小阳术中出的热汗,和我术后出的冷汗。
算是完成了组织交待的任务。(本文由本号总顾问梁宝松教授推荐,梁宝松,1984年毕业于河南医科大学本科,河南省人民医院消化内科主任医师 教授)