简 介
颅咽管瘤是原发于鞍区的良性脑肿瘤,发病率约为0.18/10万。本病可能起源于Rathke囊的残余胚胎组织。颅咽管瘤的主要的治疗手段是最大程度的安全切除肿瘤,10年生存率达90%。但由于肿瘤累及视神经、下丘脑、垂体、Willis环等重要结构,易造成视力缺损、垂体功能低下、下丘脑功能障碍等并发症,严重影响患者的生活质量。所以当肿瘤累及下丘脑等重要结构时,可能残留部分肿瘤以保护功能。颅咽管瘤易复发,对残余肿瘤或复发肿瘤可采取放疗控制。目前尚无有效的化疗/靶向治疗手段。
颅咽管瘤有两种病理类型:造釉细胞型和乳头型。二者的临床和分子生物学特征不同。2014年Brastianos等的研究显示,有96%(51/53)的造釉细胞型颅咽管瘤存在CTNNB1突变,有94%(34/36)的乳头型颅咽管瘤存在BRAFV600E突变。乳头型颅咽管瘤(Papillary craniopharyngioma,PCP)好发于成人患者。此型肿瘤主要位于鞍上,因而更贴近重要解剖结构,手术难度更大。BRAFV600E突变激活MAPK信号通路,该突变在黑色素瘤、儿童低级别胶质瘤等肿瘤中中发生频率高。目前针对BRAFV600E突变阳性肿瘤已有较为成熟的靶向治疗药物(如达拉非尼Dabrafenib 、曲美替尼Trametinib、维莫非尼Vemurafenib等),因此对于复发或残余PCP的靶向治疗备受关注。2019年Brastianos等汇总了6例接受BRAFV600E突变*制剂抑**治疗的PCP患者的临床数据。
BRAF*制剂抑**在PCP的应用

表:患者的临床资料
本研究共回顾了在不同研究机构接受BRAF*制剂抑**的治疗的6例PCP患者,其中例1-5为复发肿瘤,且经多次手术或手术+放疗肿瘤控制不佳。采取的靶向治疗方案主要包括达拉非尼联合曲美替尼(4例)、达拉非尼单药(1例)、维莫非尼单药(1例)。经靶向治疗,所有肿瘤均达到客观缓解,起效时间在治疗后数月内。影像学检查示囊性和实性成分均有缩小。大部分患者对治疗的耐受性较好,2名患者暂停用药(例2出现脑脊液漏,例3出现发热)。
病例1为39岁男性患者,采用达拉非尼联合曲美替尼治疗1月后肿瘤明显缩小,后续接受手术切除残余肿瘤,并行局部放疗。该患者在治疗后12月恢复良好,但后续失访。病例2为57岁女性患者,在接受维莫非尼治疗后肿瘤接近CR,但因脑脊液漏停药3月后肿瘤复发。患者再次接受维莫非尼治疗,肿瘤得到控制,但仅维持7个月后肿瘤再次进展。因患者状态较差,未再行辅助治疗并于停药6月后去世。病例4为47岁女性患者,在接受达拉非尼联合曲美替尼后肿瘤明显缩小,并接受放射治疗。统计截止时该患者无残余肿瘤并继续接受靶向治疗。病例5在使用达拉非尼治疗9个月后肿瘤基本消失,遂停止用药,在18个月后复查未见肿瘤复发。

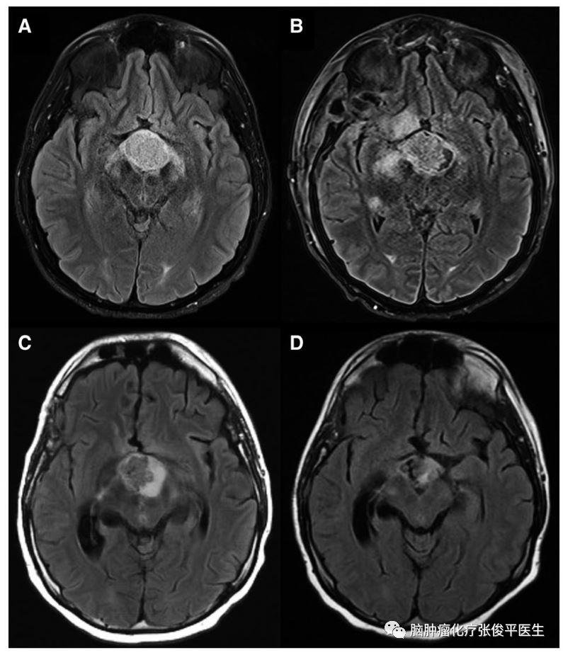
图:病例6的MRI检查结果:T2-FLAIR像可见鞍上囊实性占位。
A:确诊时;B:术后;C:达拉非尼联合曲美替尼治疗2周后;D:治疗6月后。
病例6为21岁男性患者,主因间断头痛和疲劳起病。眼科检查示视野缺损。MRI检查示鞍上异常强化病灶。该患者接受手术治疗,部分切除肿瘤,术后病理证实为PCP,存在BRAFV600E突变。手术并发脉络膜前动脉供血区域的梗死和垂体功能严重减退。术后1月患者复查MRI示肿瘤进展,并开始靶向治疗。6月后肿瘤显著缩小,头痛和精神状况明显改善。
尽管以上6例患者的临床资料为BRAF*制剂抑**治疗PCP提供了有价值的信息,但最佳用药方案、用药时机和周期数仍不明确。2017年起开展的一项多中心Ⅱ期临床研究(NCT03224767)探索利用BRAF*制剂抑**维莫非尼联合MEK*制剂抑**考比替尼(Cobimetinib)治疗PCP的有效性。另外,病例6为活检后新辅助治疗PCP提供了初步的参考,经组织病理学活检确诊PCP后,可进行靶向治疗,以降低后续手术风险。另外,创新性诊断技术如液体活检可通过检测外周血循环BRAF突变情况以诊断PCP。若此类技术成熟,可在确诊后直接进行靶向治疗,使患者获益。
参考资料:
1. TA Juratli et al. Targeted treatment of papillary craniopharyngiomas harboring BRAF V600E mutations Cancer. 2019 September 01; 125(17): 2910-2914.
2. PK Brastianos et al. Exome sequencing identifies BRAF mutations in papillary craniopharyngiomas. Nat Genet. 2014 February ; 46(2): 161-165
敬请注意:本文仅供相关专业人员学习参考之用,文中的所有信息均不作为诊断和治疗疾病的依据。如出现文中描述的症状,请及时就医。另外,本文仅节选原文的一部分,内容可能不完整或与原文存在偏差,若需更完整的信息请参阅原文。
编译:赵 赤
审校:张俊平