医生,帮我看看我家孩子的片子,是不是脑性瘫痪啊!!!
女士,您的孩子得了佩梅病,需要及时治疗。
佩梅病?医生,我从来没听说过这种病。
一、什么是佩梅病?

佩梅病(Pelizaeus Merzbacher Disease,PMD) ,我们通常将因与蛋白脂蛋白 1 具有相关性的遗传性髓鞘发生病变从而引起的障碍病称为佩梅病。其早期 临床表现 通常表现为智力能力和运动能力显著落后于正常同龄儿童;有时有眼球震颤的现象;往后将会出现共济失调、肢体痉挛以及进行性运动功能障碍的临床表现。该病的临床表现与不随意运动性脑性瘫痪存在一定的相似[1]。
大多数患有佩梅病的患者都被 发现存在PLP1重复突变和正常PLP1蛋白过表达 [2]。佩梅病具有较为独特的病理改变,其与其他遗传性脑病的脱髓鞘病理性的改变并不相似,具有一定的特征性。佩梅病的神经髓鞘不能正常形成。由于在此病的脑组织活检中我们能够清晰地观察到 白质髓鞘缺失的现象 ,且发现其存在ⅹ连锁隐性遗传特征,因此我们将此病称之为 佩梅病 。
PMD的致病基因 为位于Xq22.2的蛋白脂蛋白1(proteolipid protein 1,PLP1)基因。
PMLD的致病基因 是缝隙连接蛋白α12(gap junction protein alpha 12,GJA12)。
二、临床诊断方法

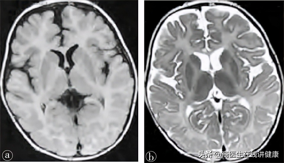
头 颅 核 磁 共 振 图 像(MRI) : 上图为MRI的影像学,而PMD主要影像学通常可以观察到患者的髓鞘发育不良或完全无发育。
PMD患者的头颅MRI影像会显示髓鞘化异常,其异常主要表现在Flair 像弥漫性高信号和脑白质T2 加权像 ,通常通过这两个异常表现来诊断患者是否为PMD患者,因此,MRI对 PMD 诊断具有重要的临床意义。

核磁共振波谱分析(MRS) :MRS是目前临床上唯一能够无创伤性进行活体组织的有关化学物质的检测方法,MRS也能够提供组织的代谢信息。PMD由于是髓鞘形成障碍性疾病,Cho水平不高。MRS能够分析胆碱复合物,而细胞膜分解时会导致Cho水平升高。在临床上,MRS对于PMD与脑白质脱髓鞘疾病比较具有重要意义。
三、病理性特征

佩梅病病理性切片
PMD的病理表现 为脱髓鞘区和髓鞘区相互交错,呈虎斑样状,镜下可以观察到有嗜苏丹样物质的沉积,且该物质沉积在脑干、小脑内以及半卵圆中心。 患者在患有佩梅病时,其病理性的特征通常表现为:脱髓鞘的病变;脊髓前角细胞、脑干神经核以及大脑运动皮质锥体细胞病变 。患者的病理性病变通常是由于病毒感染或患者的基因免疫异常所导致的。患者在患有PMD的同时,通产会患有PMD的并发症--髓鞘发育迟缓,该并发症会导致整个中枢瘫痪以及痴呆瘫痪多继发合并症,从而产生痉挛、疼痛,甚至会存在感染而危及生命的可能。
临床症状案例

摘取了几列关于PMD患者的临床症状案例,我们不难从图中看出,患者患病年龄较小,但确诊时间较长,但不难看出PMD患者的其临床首发症状表现通常为运动落后和眼球震颤的现象。
如有发现上述症状,
请一定及时就医进行诊断!!!
四、及时治疗

佩梅病药物治疗现状:
本病为遗传性疾病,目前无法治愈临床前的努力延长寿命证明只有有限的成功,而没有在治疗中显示功效。随着干细胞研究的深入,某些疾病已经实现了通过干细胞移植来治疗疾病。虽然尚有未解决的一些关键的技术问题,但相信用干细胞移植治疗PMD及PMLD在将来也会成为可能。
近期,美国凯斯西储大学Paul J. Tesar研究组[3],通过抑制蛋白脂蛋白PLP1可以达到缓解佩梅病症状的效果,为临床方面实现佩梅病的治疗提供了可能的方案。 未来可期!!!

辅助护理:
帮助患儿平时进行些适当的语言能力和运动能力的训练,创造良好的生活环境,推荐食用高蛋白食物,以及对患儿进行心理辅导,使患儿面对疾病保持积极向上、乐观的良好心态。
“
[1]季涛云,姜玉武.佩梅病及佩梅样病[J].中国实用儿科杂志, 2009,24(7):522.