海军总医院神经内科顶级专家刘建国主任的课,讲的很棒❤
题目:瘤样炎性脱髓鞘病与胶质瘤、PCNSL临床、影像鉴别
------
医学V直播:国内免费的医学直播交流平台
♥如今,多数医生都会遇到心脑疾病患者... 在这里,有全国顶级心脑专家授课!
♥发愁,因为凑不够学分还要搞科研论文! 在这里,在线学习可以申请学分!
♥当你,遇到棘手患者不会诊治怎么办? 在这里,提出问题就能获得解答!
------
课程简介
瘤样脱髓鞘病是一种较为特殊的脱髓鞘病,是CNS炎性假瘤中的一种。在临床、影像等方面与脑肿瘤有诸多相似之处, 临床中二者易于混淆、误诊或误治。本次课程介绍了瘤样脱髓鞘病与胶质瘤、原发性中枢神经系统淋巴瘤的临床及影像的鉴别,更好的为临床诊断和治疗提供支持。
前言
1979年van der Velden M 首次提出瘤样脱髓鞘病(tumefactive demyelinating lesions,TDLs),亦称脱髓鞘假瘤(demyelinating pseudotumor, DPT)或瘤样炎性脱髓鞘病(tumor-like demyelinating diseases, TIDD)。临床症候与脑肿瘤类似,影像学上有占位效应,但病理为 CNS 特发的炎性脱髓鞘病。常累及中青年,临床容易误诊为胶质瘤、原发性中枢神经系统淋巴瘤(PCNSL)混淆。
TDL影像学标准是T2WI最大病灶的最长直径≥20mm,同时具有占位效应。但临床中往往会出现误诊的情况,究其原因主要有:对TDL、胶质瘤与PCNSL的临床、影像鉴别点缺乏较全面认识;活检取材位于病变的边缘,仅为胶质细胞增生,而PCNSL边缘还可为反应性T细胞增生;激素治疗后,TDL与PCNSL病理不典型。
与胶质瘤、PCNSL临床对比
临床症候比较

图 发病年龄比较
首发症状的统计学分析:(1)TDL组及PCNSL组的视力下降较常见。(2)PCNSL、TDL组的认知障碍较常见。(3)胶质瘤组的癫痫较其他两组更常见。(4)头痛是TDL的常见首发症状。

图 首发症候特点的比较
与胶质瘤、PCNSL影像鉴别
1. 影像学比较(CT)

图 TDL

图 胶质瘤

图 PCNSL
2. TDL影像学

图 MRI形态学

图 MRI平扫

图 MRI增强扫描

图 MRI增强扫描结果

图 TDL“梳齿样”静脉扩张征

图 DWI结果

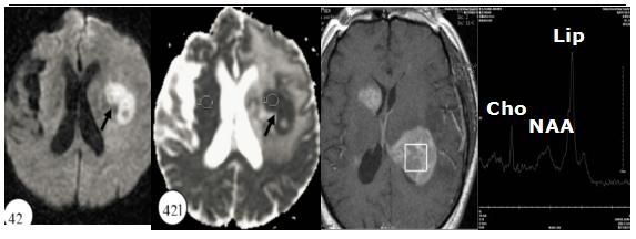
图 MRS
3. 胶质瘤影像学

图 DWI与MRA

图 MRI增强扫描

图 MRS
4. PCNSL影像学

图 DWI与MRS

图 MRI增强扫描
5. TDL与胶质瘤、PCNSL的影像对比

图 占位效应

图 基底动脉包绕征

图 环形病灶

图 胼胝体增厚

图 MRI平扫

图 蝶形病灶
讨论
1. 临床表现鉴别
(1)PCNSL发病年龄较大,TDL相对年轻。
(2)以“头痛”为首发症候的TDL占25.0%,因此,头痛起病的颅内占位,要注意与TDL鉴别。
(3)10%的TDL以“视力下降”,胶质瘤少见,但PCNSL也有13%以此起病,应注意鉴别。
(4)胶质瘤沿白质纤维浸润,较TDL往往为影像表现重,而临床症候相对较轻。
(5)以记忆力减退、情绪淡漠 起病的应注意TDL与PCNSL鉴别。
(6)TDL以“癫痫”起病较少,以胶质瘤为多见(占20%)。
(7)PCNSL也常以认知功能下降、情绪淡漠及头痛首发,以与TDL混淆。
2. 占位效应鉴别
(1)TDL占位效应明显不及胶质瘤;中线结构移位的发生较少。
(2)胶质瘤,特别是高级别的更易出现病灶的囊变、坏死,TDL少见。
3. CT影像鉴别
(1)CT高密度可基本除外TDL。
(2)PCNSL的高密度征(83.3%)较胶质瘤(60%)更为常见。
(3)高密度的形态:点片状、均匀片状、环状及弥漫高密度。
(4)CT高密度可能与核浆比例高相关,与肿瘤级别无关。
4. MRI影像鉴别
(1)TDLs的MRI-T2WI往往边界清楚,胶质瘤的MRI-T2WI边界相对模糊。
(2)DWI:TDLs往往急性期、亚急性期较高,逐渐变淡;胶质瘤与PCNSL往往信号越来越高。
(3)TDLs的强化随病程规律变化,慢性期变得不显著,而胶质瘤与PCNSL变化越来越重。
(4)PCNSL往往强化非常显著,常常均匀强化。
5. MRS鉴别
(1)三者相似点:cho峰增高,NAA峰降低,部分可见Lac与Lip。
(2)三者不同点:肿瘤的cho峰增高显著,多超过2倍的NAA峰; PCNSL可出现高大的Lip峰,少数胶母也可出现高大Lip峰,可能与坏死相关;β,γ-Glx峰升高对于TDL与肿瘤的具有一定特异性。
6. 特异性鉴别
(1)对胶质瘤相对特异:桥脑基底动脉包绕征、中线结构移位、胼胝体增厚及病灶的出血、坏死、囊变。
(2)PCNSL较特异:Cho/NAA≥2 +高大Lip峰,少数胶母也可;增强MRI的“握拳征”、缺口征、均匀强化,以及沿室管膜强化在TDL罕见。
(3)TDL较特异:同心圆样病灶、增强MRI的动态演变、开环样强化、垂直于侧脑室的“梳齿征”及云片状T2病灶,边界较清楚,伴短T2边缘。
课程小结
TDL与胶质瘤及PCNSL的临床与影像学各有特点,掌握好他们的特点将有助于临床鉴别。要注意几点:
(1)单一影像学的特异性是相对的,应注意结合多种影像学手段,不能忽视临床。
(2)对于临床及影像难以甄别的,应注意激素对病理诊断的影像,特别是PCNSL。
(3)影像的动态观察,特别是TDL的增强MRI演变有规律性较强 。
(4)对于影像学与病理学不太吻合的,应注意随访。

订阅医学V直播,访问微信号【医学V直播心脑时间】,您可以免费在这里找到北上广最好的专家课程,听课、提问、获得解答。
头晕与眩晕怎么鉴别?脑炎如何诊断与治疗?癫痫的治疗规范方法?路易体痴呆的诊断?心脏科各类相关治疗方法有什么技巧?
北京协和医院、*013院医**、天坛医院、宣武医院和上海华山医院专家会为您解答。
更多讲座请登录:www.yxvzb.com,关注官方微信号:vzb0066