本来有一颗整齐的乳牙,
但是当开始更换第一颗恒牙时,
牙齿开始出现了不整齐的情况,
随着越来越多的牙齿被替换,
牙齿的不规则排列变得越来越明显。
那么,什么时候应该开始矫正牙齿呢?
是否需要等到孩子的乳牙被替换?
大约7岁是牙齿矫正的的第一个黄金时期
7岁是儿童成长和发展最活跃的时期,也是小儿牙齿矫正的第一个黄金时期。在此期间,牙齿更换会遇到很多问题,例如乳牙的固位和受影响的恒牙。这时,我们掌握生长发育的特征进行矫正,不仅可以对齐牙齿,而且可以促进骨骼的积极发育。这时,治疗效果是最好的。
那么,什么是专业的幼儿童矫正?在什么情况下需要对儿童进行早期矫正?
什么是儿童早期矫正?

你知道么!7岁左右是第一个牙齿矫正黄金期!#雅悦齿科#
儿童早期矫正是指预防在儿童的早期生长和发育阶段(通常在青春期高峰或高峰期之前)显示出的牙齿和颌骨畸形和畸形趋势(即牙齿和颌骨畸形的原因)和预防,阻断,矫正和引导治疗。
主要包含以下三方面内容:
1.早期预防,2.早期阻滞,3.早期生长控制
早期预防
它是指及时发现和消除影响牙齿,牙槽骨,颌骨等正常生长和发育的全身性和局部不良因素,及时发现并祛除或纠正较小的异常,以使牙齿和颌面部的生长协调。实际上,这是不良反应的发现和消除,因素在防止错牙合中起着一定的作用。
早期生长控制
指使用简单的方法来治疗由于先天或后天因素引起下颌骨发育异常的、异常倾向的患儿,这些因素是正在发生或已初步显示牙齿,牙列,咬合关系和骨骼发育等异常,以阻止畸形的发生。在此过程中,它可以自我调整以建立正常的咬合关系。用通俗易懂的话说,如果发生咬合不正,牙齿矫正医生将采取一些措施来阻止该过程并避免不良后果。
早期生长控制
早期生长控制是指在生长期间出现严重异常或上下颌有异常倾向的儿童,在生长和发育的高峰期使用咬合生长指导和颌骨整形术来促进和抑制颌骨的生长。改变其生长方向,空间位置和比例关系,以指导正常的颅颌面生长。
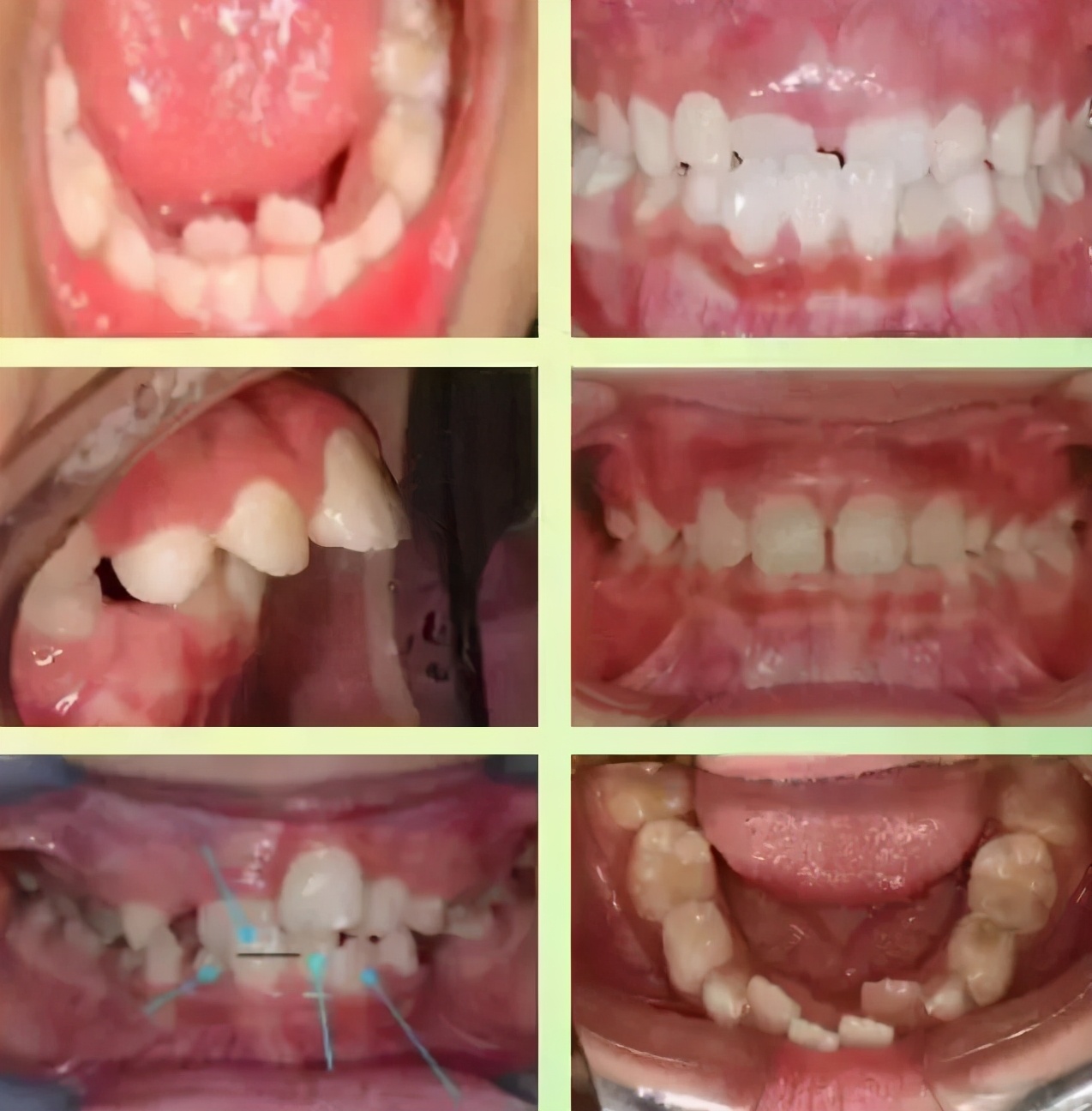
我们来看一组照片

你知道么!7岁左右是第一个牙齿矫正黄金期!#雅悦齿科#
在儿童成长的早期阶段,由于儿童的不良习惯,很可能会出现牙齿问题,例如不规则的牙齿,深深的咬合和地包天。
目前在国内,关于错颌畸形的相关知识尚未普及。 大多数父母仍然认为,在完成12岁儿童的恒牙替换后,才可以进行矫正,但是,这实际上是不准确的。

你知道么!7岁左右是第一个牙齿矫正黄金期!#雅悦齿科#
5〜12岁是儿童牙齿快速生长发育的时期。 睡眠期间,孩子的荷尔蒙会大量分泌。 在生长激素的作用下,孩子的颌面部位和牙齿迅速发育。
研究发现,儿童颌面部的生长和发育在4岁时完成了60%,在7岁时完成了70%,在12岁时完成了90%。
因此,年龄在5至12岁之间的牙齿矫正可以达到舒适的牙齿矫正的效果,并使牙齿沿正确的生理方向生长。