周周寄语:
海德综合征(Heyde syndrome)是主动脉瓣狭窄与不明原因的胃肠道出血并存的特殊临床现象。临床表现与严重主动脉瓣狭窄引发的获得性IIA型血管性血友病和消化道血管发育不良导致的不明原因的胃肠道出血相关。从本例病例提示我们在临床工作中,需要提高对于主动脉瓣狭窄和消化道出血关联的警惕,避免对于海德综合征的漏诊。海德综合征的治疗原则上应该先治疗处理瓣膜狭窄的情况,大部分患者可以得到消化道出血的改善。

本期分享的是一名64岁的女性,因为反复不明原因消化道出血在外院消化科反复就诊,在外院剖腹探查亦无诊断出出血原因,此后仍有反复消化道出血表现。后来因为劳力性的气促诊断为重度主动脉瓣狭窄来广东省人民医院就诊,进行TAVR治疗后气促症状缓解再发消化道出血的情况。临床表现上符合海德综合征(Heyde syndrome)的诊断。
海德综合征(Heyde syndrome)指的是严重钙化性主动脉瓣狭窄合并凝血功能异常及消化道出血的一组临床综合征。在1958年,华盛顿的全科医生Heyde教授向新英格兰医学杂志(The England Journal of Medicine, NEJM)写了一份Letter,在这封157个字Letter中提出他临床上碰到了至少10例钙化性主动脉瓣狭窄的老年患者合并不明原因的消化道大出血的临床现象。但是他不清楚主动脉瓣狭窄与消化道出血到底存在什么样的联系,因而请NEJM将他的信件发表并请学界关注及进行研究。[1]同年,Goldman教授回顾了37423例患者,发现主动脉瓣狭窄与3倍的消化道出血风险增加相关。此后,主动脉瓣狭窄与不明原因的消化道出血的关联受到关注,并被命名为海德综合征,此后它的发病机制和治疗原则逐渐被阐明。[2.3]
在Heyde教授的Letter发表28年后,一项关键的研究来自Greenstein RJ教授,他们发现粘膜下的血管发育异常是海德综合征消化道出血的来源[4],然而,由于病例有限,主动脉瓣狭窄与粘膜下血管发育异常是否真的存在关联以及其中的机制尚未完全阐明。
随后,多个研究发现,严重主动脉瓣狭窄导致的流体动力学改变可以消耗高分子血管性血友病因子(Von Willebrand Factor,vWF)且促发vWF发生结构改变从而更容易被ADAMTS13蛋白酶裂解,从而导致了患者的出血倾向。这种获得性的高分子vWF下降,称为获得性的IIA型血管性血友病,获得性的IIA型血管性血友病可以见于血流动力学改变的心血管疾病,如:肥厚梗阻性心肌病、室间隔缺损、动脉导管未闭等;还可以见于一些免疫疾病、肿瘤、药物、肾功能不全、肝硬化及肺动脉高压等。[5]
海德综合征的诊断,需要明确严重的主动脉瓣狭窄,同时消化道出血部位,胃镜和结肠镜将作为主要检查项目。若发现胃肠道血管发育不良,同时患者有主动脉瓣狭窄既往史,则可诊断为海德综合征。获得性IIA型血管性血友病最主要的实验室表现是血浆高分子vWF多聚体减少,但诊断假阴性率偏高。凝胶电泳目前是其诊断金标准,若高分子vwF多聚体缺乏,将有助于其诊断。此外,出血时间延长,vWF:RCo、vwF:Ag水平降低也是其实验室表现,而APTT、凝血因子Ⅷ通常正常。
海德综合征的治疗应首先考虑行主动脉瓣置换术。King等进行的研究,研究纳入91例海德综合征患者的回顾性病例研究结果显示,37例行开腹手术,其中35例(95%)术后仍反复出血;而16例患者行主动脉瓣置换术,随访8~12年,仅有1例出现反复出血,而出血的原因主要还是因为过度抗凝治疗。[6]2013年JACC报道了7例海德综合征患者使用TAVR治疗主动脉瓣狭窄后取得的良好临床效果。[7]可见单纯主动脉瓣置换术的止血效果明显好于单纯胃肠外科手术,可能归咎于单纯肠段切除术并未解除主动脉瓣膜狭窄所致获得性IIA型血管性血友病,以及潜在的胃肠道血管发育不良未被完全切除,胃肠外科术后出血风险依然很高。

J Am Coll Cardiol. 2013 Feb 12;61(6):687-9.
病例情况:
64岁,女性。
1993年因右侧乳腺癌行手术根治术,术后放疗、化疗;术后出现子宫大出血,给予子宫、卵巢切除,2008年乳腺癌复发,行化疗4疗程;13年出现血便,血色素下降7克,行胃肠镜检查提示:空肠血管瘤,结肠多发息肉,未见明显出血,给予输血、药物止血等治疗不理想,后行开腹探查,未见明显出血,继续输血,护胃,止血,中西医结合等治疗后好转;1年前因晕厥入外院,行冠脉造影后再次出现消化道出血,持续1月后缓解。2018年因劳力性气促来广东省人民医院就诊。
主诉:劳力后气促1年余。
现病史:患者约于1年前始无明显诱因下出现劳力后气促,当时尚可从事一般较重体力劳动,未进一步诊治,症状渐进性加重,最近2月发展至步行上1-2层楼时即可出现明显气促症状,无晕厥,无胸痛,无发热,无夜间阵发性呼吸困难,曾多家医院就诊,超声心动图提示重度主动脉瓣狭窄,长期口服“可定,呋塞米,螺内酯,美托洛尔”等药物治疗效果不理想。
辅助检查:2017年07月03日外院心脏彩超:主动脉瓣重度狭窄并关闭不全,二尖瓣轻度狭窄并关闭不全,三尖瓣轻度狭窄并关闭不全,轻度肺动脉高压;2017年07月04日外院冠脉造影:右冠中段轻度狭窄。
入院诊断:
心脏瓣膜病(重度主动脉瓣狭窄并关闭不全,心脏扩大 NYHAⅢ级);冠状动脉粥样硬化;乳腺癌根治术后;子宫卵巢切除状态;消化道出血;

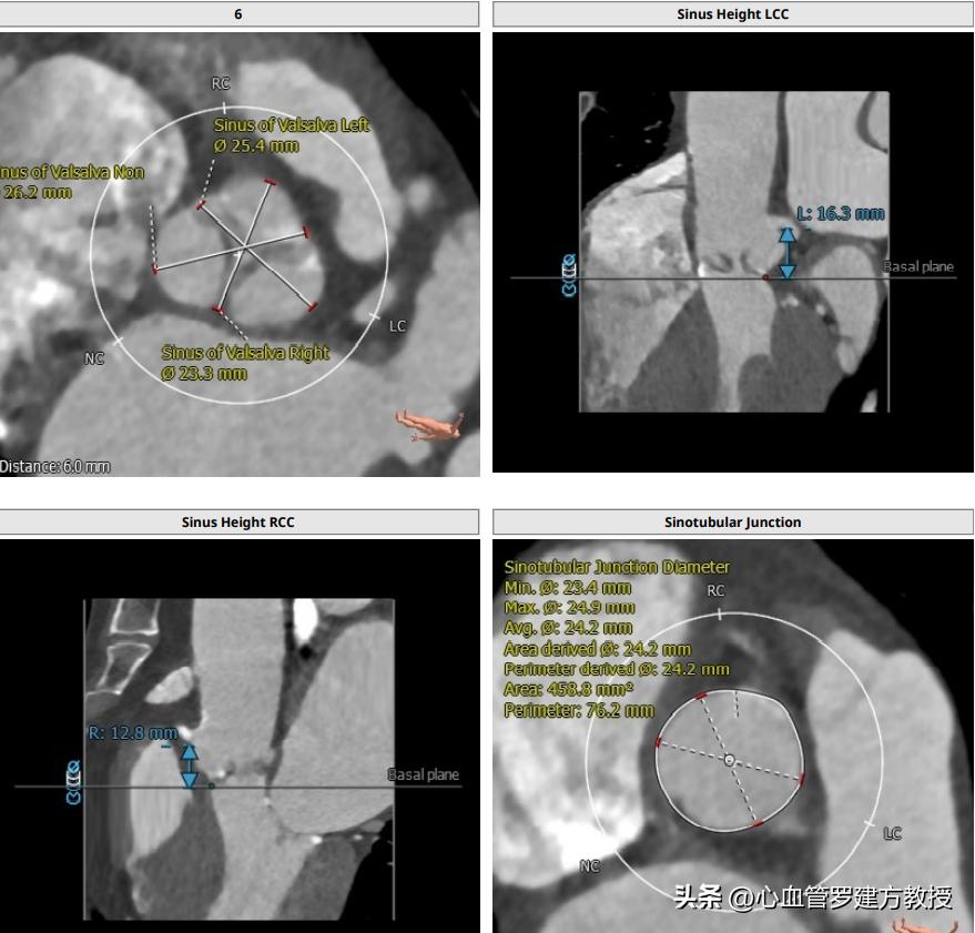
病人女,64岁,2018年在广东省人民医院行TAVR手术,三叶瓣,轻度钙化,瓣环20.5,Lvot 20.6,左右冠高度尚可,STJ 24.2,窦部长短径分别为26.3及23.3,窦部空间相对较小,结合术中球扩结果,瓣膜冠脉风险不高,遂植入VenusA 26号瓣膜。
根部解剖:



入路解剖:

手术过程:

首枪造影

Numed20预扩

瓣膜释放前1/3

瓣膜位置调整

瓣膜释放

最后一枪造影
术后:
瓣膜功能良好,患者主窄解除,主动脉瓣未见明显反流及瓣周漏。术后给予波立维联合达比加群酯抗栓,复查粪、尿常规,未见明显出血,血红蛋白稳定。
出院前复查心超:

术后2年心超:

专家介绍

罗建方 / 广东省人民医院
医学博士、主任医师、博士生导师。现任广东省人民医院心内科副主任,广东省人民医院南海医院院长、广东省人民医院血管病诊疗中心主任、广东省冠心病防治研究重点实验室副主任。
学术任职:美国心脏病学院Fellow (FACC)、欧洲心脏病协会Fellow (FESC)、美国心血管造影与介入学会Fellow (FSCAI)、首批Global Hybrid Algorithm Community国际认证Hybrid CTO带教专家、卫生部心血管疾病介入诊疗培训基地(冠心病介入治疗)导师。
中华医学会心血管病学分会大血管学组副组长、中国研究型医院学会心血管影像专业委员会副主任委员、中国研究型医院学会血管医学专业委员会副主任委员、中国医疗保健国际交流促进会血管疾病分会副主任委员、中国医疗保健国际交流促进会难治性高血压与周围动脉病分会副主任委员、中国医药教育协会血管医学分会副主任委员、广东省介入性心脏病学会周围血管介入分会主任委员、广东省医师协会心血管介入医师分会副主任委员、广东省医师协会心血管内科医师分会常务委员、广东省医学会心血管病分会结构性心脏病学组副组长等。
血管疾病多学科协作论坛(VMDT)执行主席、冠心病与周围血管介入沙龙(CPIS)执行主席、亚太CTO俱乐部广州峰会共同执行主席、亚洲心脏病学会年会秘书长等。
技术特长:擅长复杂冠脉病变、主动脉疾病、瓣膜疾病、周围血管病等的介入治疗。在国内率先开展脑保护装置下颈动脉介入治疗、经桡动脉行肾动脉介入治疗、快速起搏与经皮穿刺主动脉腔内修复术(TEVAR),2016年4月完成华南地区首例经导管主动脉瓣置换术(TAVR),2019年2月成功实施全球首例经股动脉途径TAVR联合TEVAR一站式手术,团队整体TAVR手术量已超过500台,已经帮助全国100家中心开展TAVR手术。
科研成果:获中国医药教育协会科学技术奖二等奖1项、广东省科学技术奖二等奖2项、三等奖2项。参编学术专著6部,发明专利4项,发表学术论文100余篇。先后承担省市级课题数项,培养硕博士20余人,目前在研经费超过500万元。

李捷 / 广东省人民医院
医学博士,副主任医师,硕士导师。
学术任职:中国医师协会心血管病分会结构组委员;广东省介入性心脏病协会结构分会常务委员;广东省医师协会心血管介入医师分会委员;广东省医师协会高血压分会青年委员;广东省医院协会心血管质控管理分会结构性心脏病学组委员;中国大湾区心脏协会精准诊疗分会委员;中国结构周秘书长;血管疾病多学科协作论坛(VMDT)秘书。
技术特长:擅长经导管主动脉瓣置换术,手术量超600台,帮助全国70多家中心开展TAVR手术。擅长复杂冠脉病变、主动脉疾病、瓣膜疾病、周围血管病等的介入治疗。