这么需要悟性的事儿,
给我3分钟就可以。
牙线使用攻略
第1步,取一段干净牙线,长度约等于你的小臂长,30-40cm

第2步,将牙线缠绕在双手中指上,食指和拇指捏紧牙线,中间段空出2cm左右

第3步,将受控段的牙线沿着两颗牙间的缝隙,贴住左边牙齿邻接面慢慢滑入(贴住是为了小心借力,不要误伤牙龈),上下提拉清洁

第4步,将受控段的牙线贴住右边牙齿的邻接面慢慢滑入,上下提拉清洁

第5步,利用手指,轮换一段干净的牙线,依次清洁其他牙缝,不要遗漏最里一颗磨牙的最里面

牙线棒使用攻略
一般而言,牙线比牙线棒更“多块好省”又易于携带,推荐养成习惯后长期使用。但对于成人初学者/儿童而言,牙线棒由于易于抓握而比牙线更不容易误伤牙龈,因此用作起步训练也未为不可。

方法:握住手柄,使牙线部分沿着牙缝,轻轻竖向滑入,宗旨仍然是控制用力,避免误伤牙龈。其他步骤同牙线使用攻略,最后提出牙线棒,换一根新的继续清洁下一个牙缝。

无论是牙线棒还是牙线,本质仅抓握方式不一样,清洁牙缝的技巧却是相通的。可以戳上面的视频复习。
为什么要用牙线(棒)?

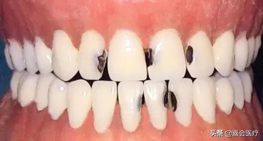
刷牙只能够清洁牙齿污垢70%(牙面),牙线帮助清洁余下的30%(牙缝),互相不可替代。
通常我们只注意刷牙,不注意牙缝清洁,这就是为什么很多小朋友/大朋友的蛀牙都是从牙缝开始。此外,牙线还能够带走难闻的口气,原理就是清除你陈年珍藏的牙菌斑呗。关于这一点,第一次使用牙线的口气患者感受尤为明显。
牙线会让牙缝变大吗?
牙线不会,牙签才会。体验过材质的软硬度,就很容易理解——牙线是滑入牙缝的,牙签是挤入/卡进牙缝的,有没有?
长期不使用牙线“剔牙”,导致牙缝中过多牙菌斑堆积,形成牙结石,会把牙缝“挤大”,这时候人们终于想起去洗牙,洗完牙回家照镜子,就发现了本来堵满污物现在被清扫一空的大!牙!缝!了,有时还穿风~因此,请每天做好一点点,别等着杯具发生。
儿童需要用牙线(棒)吗?
请回忆刚刚我说的牙线的功能找答案。
既然牙线是用来清洁刷牙所不能带走的牙缝污垢,那么,当孩子有了第1个牙缝/牙齿邻接面/第1组相邻位牙齿起,就应该开始用牙线。这样才能预防那些不蛀则已一蛀惊人、丑陋又高发的牙齿邻接面龋齿,正因为它不易被发现,所以发现时通常已经比较严重。


这里我们推荐使用儿童专用安全牙线棒作为宝宝的第一支“剔牙”用品,逗趣可爱的造型,不仅更具吸引力,使用完,剪除牙线的动物手柄还可以当作小玩具爱不释手哦~

使用牙线棒直至9岁,宝贝的四肢协调应该已经相当不错,爹妈可以鼓励TA像成人一样,开始用牙线替代牙线棒,遵照本文中的方法安全“剔牙”,就一定会一天比一天健康闪耀,成为班上逼格满满的爱牙小明星啦。
每天需使用牙线几次?
没有硬性规定,三餐/茶点后就应该“扯一扯”。建议根据用量随身携带10-200m长的小/中卷牙线随时取用。

学会用牙线能省下老多看牙的钱了
好了,今天的健康干货就先发到这里
如果还没看够,关注【嘉会医疗】
祝你一天比一天健康闪耀!
版权声明:文章内容由嘉会医疗医疗团队撰写并审核,任何其他机构或个人未经允许不得转载。