
每天18时,以案说医。医案是中医临床实践的记录,体现了诊疗过程中理、法、方、药的具体运用,是医家诊治疾病思维过程的表现。历代名家医案是中医药宝库中的瑰宝。我们推出【以案说医】栏目,以期传承精华,启迪我辈,共同进步。
近日我们将记录广东中医医疗队在湖北抗疫的《新型冠状病毒肺炎中医医案精选》部分医案摘录出来,以当代中医的视角,感受与时间赛跑、与病魔较量的惊心动魄。
【基本资料】
孙某,男,72岁。既往有瓣膜性心脏、慢性心功能不全病史,平素服用地高辛、螺内酯、曲美他嗪等药物改善症状,时有气促症状。
【发病过程】
2月6日外出购物后出现咳嗽、气促、呼吸困难,无发热,微恶寒,遂至当地社区医院治疗,具体治疗药物不详,后未见明显好转,反复咳嗽。遂于2月9日至湖北省中医院就诊,查CT提示肺部阴影,新型冠状病毒核酸检测阳性,医师予口服连花清瘟胶囊治疗,但仍有咳嗽症状。近几天患者病情逐渐加重,出现双下肢对称性浮肿,遂于2020年2月20日入住雷神山医院C6病区。
入院血常规提示白细胞计数及中性粒细胞百分比升高,淋巴细胞绝对值偏低。B型钠尿肽1376pg/ml,肌酸激酶同工酶9.35ng/ml,超敏肌钙蛋白I 0.038ng/ml。
西医诊断:新型冠状病毒性肺炎;心脏瓣膜病;慢性左心功能不全。
【首诊证候】
患者面色微黄,无红润,无咳嗽咳痰,稍事活动即出现气促,心慌心悸,时有胸闷,头身困重,口干口苦,口渴喜热饮,疲倦乏力,纳眠差,二便正常。心率58次/min,血氧饱和度96%。舌暗红,苔白腻(图2-7-13),脉细。

图2-7-13 首诊舌象
【辨证论治】
病机诊断:元气不足,邪毒犯肺。
治则治法:扶正救肺,兼以解毒。
处方:四逆汤加减。
熟附子10g,干姜15g,炙甘草20g,金银花10g,皂角刺10g。
服法:颗粒剂冲服,一剂分早晚2次,热水冲服。
西医基础治疗:西药予莫西沙星抗感染治疗(0.4g,1次/d)。针对慢性心功能不全急性发作,先后予呋塞米、酒石酸美托洛尔(倍他乐克)、螺内酯、曲美他嗪、兰索拉唑、依诺肝素等药物治疗。
【随诊过程】
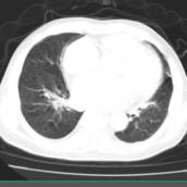
2月25日二诊:患者精神一般,少许气促症状,活动后加重,仍有心慌心悸,口干口苦,心率58次/min,血氧饱和度99%。肢体肤温改善,舌暗红,苔薄白,脉缓沉细。胸部CT提示双肺可见多发磨玻璃密度影,双侧胸膜不厚,左上肺可见少许纤维斑片影,双侧胸腔未见积液征象(图2-7-14)。
处理:效不更方,守方续服。

图2-7-14 2020年2月25日胸部CT
2月28日三诊:患者已无发热多天,无咳嗽咳痰,无气促呼吸困难,心率60次/min,血氧饱和度98%。2次新型冠状病毒核酸检测均阴性。停用抗生素莫西沙星。予氢氧气雾化机持续吸入(氢气/氧气:66.6%/33.3%),同时低流量给氧(2L/min)。
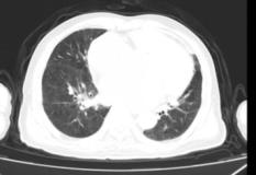
3月1日复查CT提示心脏增大;双肺多发少许磨玻璃影,不除外炎症吸收(图2-7-15)。

图2-7-15 2020年3月1日胸部CT
3月6日四诊:患者无气促症状,少许口干口苦,无发热恶寒,二便可。心率78次/min,呼吸19次/min,血氧饱和度99%,血压121/79mmHg。复查CT提示双肺磨玻璃密度灶,考虑病毒性肺炎。舌淡稍暗,苔薄白微腻(图2-7-16),脉细。考虑患者未再发热,无呼吸道症状,判断肺炎症状好转。但患者有基础疾病心功能不全,建议转专科医院继续心脏康复治疗。遂转院治疗。
复查血常规提示白细胞计数7.75×10 9/L,中性粒细胞绝对值5.56×10 9/L,中性粒细胞百分比71.7%,单核细胞绝对值0.64×10 9/L,淋巴细胞绝对值1.23×10 9/L;B型钠尿肽912pg/ml。

图2-7-16 四诊舌象
【按语】
(1)证候特点:本案例患者早期出现咳嗽、气促、呼吸困难等症状,但患者一直无发热,属于新型冠状病毒肺炎普通型。患者入院时伴有心功能不全,气促症状与患者心脏瓣膜病、心功能不全相关,辨证属疫毒侵袭,正气大伤。
(2)病机分析:患者高龄,素体虚弱,受疫戾邪气侵袭而染病。肺为娇脏,最易受邪,疫毒之邪峻烈,导致元气大伤,迁延不愈,故经过一段时间治疗后,仍有气促,心慌心悸,头身困重,疲倦乏力。舌暗红,脉细,渴喜热饮,为一派虚寒之象。
(3)理论溯源:《黄帝内经》云:“正气存内,邪不可干。”新型冠状病毒肺炎的辨证总属实证和虚证。此患者素体正气虚弱,邪气犯肺,即出现气促、胸闷,全身困重,故选用四逆汤扶正回阳,并予少量金银花、皂角刺清肺中邪毒。
(4)临证启发:新型冠状病毒肺炎的发病及演变规律虽有其自身特点,但总属虚、实为纲。对于老年人以及素体虚弱的患者,本虚为本,邪实为标,疫毒之邪侵犯,肺脏受邪,出现一系列症状;肺主一身之气,气机不畅,表现为气虚症状。此时扶正气为主,予四逆汤为底方,佐以解毒药物。
患者合并心脏瓣膜病、慢性左心功能不全,单纯中医治疗在短时间内不能完全纠正,出院后仍需要长时间的心脏康复治疗。
(本案编写:尹鑫)
【来源:《新型冠状病毒肺炎中医医案精选》,人民卫生出版社2020年5月第一版,主审:张伯礼,主编:张忠德、邹旭】
