晕、昏、眩……傻傻分不清
“医生,我头晕……”“您怎么晕呢?是晕,还是昏?眩晕吗?”“啊,我……就那样晕。”门诊接诊头晕病人开始的对话一般是这样的。面对“晕”,我们词穷,是因为“头晕”虽然熟悉常见,但它作为专业术语,确实复杂。研究表明 前庭系统病变 是导致头晕眩晕的重要原因,专注于研究前庭疾病的跨学科国际组织巴拉尼协会,于2009年将前庭症状分为 眩晕、头晕、姿势性症状 和 前庭-视觉症状 。

晕并不是一种高度特异性症状,有明显的主观差异性,我们临床上对于“晕”,实际上分为 头晕、头昏、眩晕 三种。 头晕 是指空间定向能力受损或障碍的感觉; 头昏 是指头脑不清晰感或头部沉重压迫感,通常与自身运动无关联; 眩晕 是指没有自身运动时感到的自身运动感觉或是在正常头部运动时感到的扭曲的自身运动感觉。 头晕、眩晕两者可同时存在。
头晕 就是头晕晕的、不稳感,像晕车、轻微醉酒一样。 头昏 就是脑袋昏沉或迷糊不清醒的感觉,像没有睡醒觉一样。 眩晕 就是感觉自身或周围环境物体在旋转、摇晃、漂浮,天旋地转的感觉。头晕、眩晕的恶心、呕吐、心慌、出汗等伴随症状明显。 “晕”的病因多种,表现多样,不同的“晕”往往意味着不同的疾病,学习“晕”的概念,可以在专科医师的引导下,向医生准确地描述“晕”,以及发生、发展变化和伴随症状,将有助于医生尽快明确诊治方向、对因治疗。

该不该就医呢?
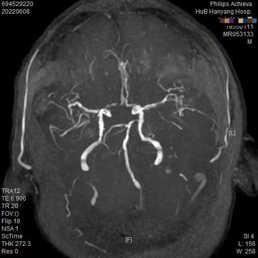
病例A :25岁的年轻人,头晕1周,前来就诊。起病后自行在网上查,觉得就是没休息好,后来又发现像“颈椎病”,觉得自己年轻,调整一下就恢复了。结果1周了,还是晕,上网搜“是不是脑梗中风?”,心里开始发紧了。赶紧到医院指挥医生,“别问这多的,那些检查我都不做,我要做核磁,我要排除脑梗”。头部核磁结果出来了,“正常的,没有急性中风病灶”,说什么都不愿继续检查和治疗了,“我要去做理疗”。1周后患者再次来到诊室,“医生我晕还没有好,睡眠也不太好,晕也不想去参加活动……”,瞬间有点emo了,病人逐渐变成慢性头晕影响生活质量了。 病例B :67岁老年人,有高血压病史,头晕、眩晕1周就诊。一开始起病后症状不重,患者自认为“眩晕症发了”,*毛老**病,扛一扛,自己吃点眩晕的药就会好的。结果症状逐渐加重,开始出现走路不稳、右边手脚麻木,前来求治。头部核磁共振提示右侧小脑半球急性脑梗死,头颈部动脉硬化改变,右侧椎动脉闭塞(见下图),但急性期溶栓时间已过。


头晕眩晕发了,该不该就医呢?无论是A或B哪种情形,都需要到专科门诊规范诊治,有时还需要积极住院治疗。青年人,某搜在手,百事不愁,是不理智的行为,容易把急性病拖成慢性病;老年人,怕麻烦,凭经验,扛一扛,轻症容易酿成重症。 头晕、眩晕病人长期得不到规范治疗,迁延不愈,容易转化为慢性头晕。 约50%急性前庭疾病在病后3-6年期间转变为慢性持续性头晕, 长期影响生活质量。而 有些晕是急性脑中风,忽视了容易致残甚至贻误性命 。因此在忽视和恐慌之间,我们要认知到位。

头晕要命吗?
头晕不要命?晕起来真难受。是吗?头晕除了难受,也 有一部分“晕”是要命的病! 在头晕眩晕疾病谱里,前庭周围性眩晕的占比为44%—65%,其中,良性发作性位置性眩晕(耳石症)、前庭神经炎、梅尼埃病、持续性姿势性感知性头晕、突发性耳聋等相对常见;前庭中枢性病变,多位于脑干和小脑,少数见于丘脑、前庭皮质或颅底高颈髓。以中枢来源的头晕眩晕诸如脑干和小脑病变,在头晕眩晕疾病谱中占7%—12%,病因以脑梗死最多,其次为脑出血、多发性硬化、肿瘤、感染和变性病等。根据疾病对身体损害程度,我们通常把预后相对较好的外周性眩晕视为良性眩晕,把容易致残、危及生命的中枢性眩晕视为恶性眩晕。因此, 头晕眩晕的良恶不是肿瘤的良恶之分,而是它的轻重之分。面对头晕眩晕,我们要学会识别,切勿良恶不分,轻重不分。 恶性眩晕,比如上文提到的急性小脑梗死,如果早发现、早溶栓治疗,预后也良好。
晕是个新学问
头晕、眩晕涉及较多科室和专业学科,除了神经内科、耳鼻喉科外,还涉及老年科、心内科、内分泌科、眼科、骨科、精神心理科等。因而传统的依赖某个专科的诊断路径制约了眩晕疾病的诊断治疗。应该从哪里下手看头晕眩晕病人,怎样开始头晕眩晕病人的检查?往往是,病人就诊无门,医生接诊困惑。 如今,眩晕学这一多学科交叉的整合性学科,已发展为一个专门学科,大多临床医生由于没有系统学习眩晕学,对于头晕、眩晕病人的理解,仍停留在“颈性眩晕”“椎基底动脉受压”等陈旧观念里,甚至仅仅以模糊的“头晕”诊断,对症治疗。广大人民群众尚缺乏眩晕的基本知识,导致有病乱投医,导致一些病人也把自己的头晕冠以“颈椎病”“脑供血不足”诊断,自行治疗。 近来,头晕眩晕疾病越来越得到重视。中华医学会2017年组织更新《眩晕诊治多学科专家共识》,2019年出版《头晕/眩晕基层诊疗指南(2019年)》,2021年中国卒中学会推出《老年人头晕/眩晕诊疗多学科专家共识(2021)》总结近年来国内外在头晕眩晕疾病诊断与治疗领域的新发现和新进展,特别是将常见的眩晕诊断标准和治疗指南进行归纳和推荐,值得学习。医院建立头晕眩晕多学科协作(MDT)和头晕眩晕专病门诊是提高诊断与治疗水平的重要措施。
头晕怎么办?
1、不要恐慌,积极寻求医疗帮助,尽早到头晕/眩晕专科就诊。2、尝试在医生的引导下分清头晕、头昏、眩晕、不稳等症状;快速进入正确诊治方向。3、良性、恶性眩晕并不可怕,遵循指南规范治疗是关键。4、治疗后定期专科随访。随访,随访,非常重要!
疫情尚未结束,防疫不可松懈

来源:武汉汉阳医院