最近有一个患者家属又和护士打了一架,医生用了一天的时间来和患者家属交流沟通,最后才安抚了他的莫名“怒气”!
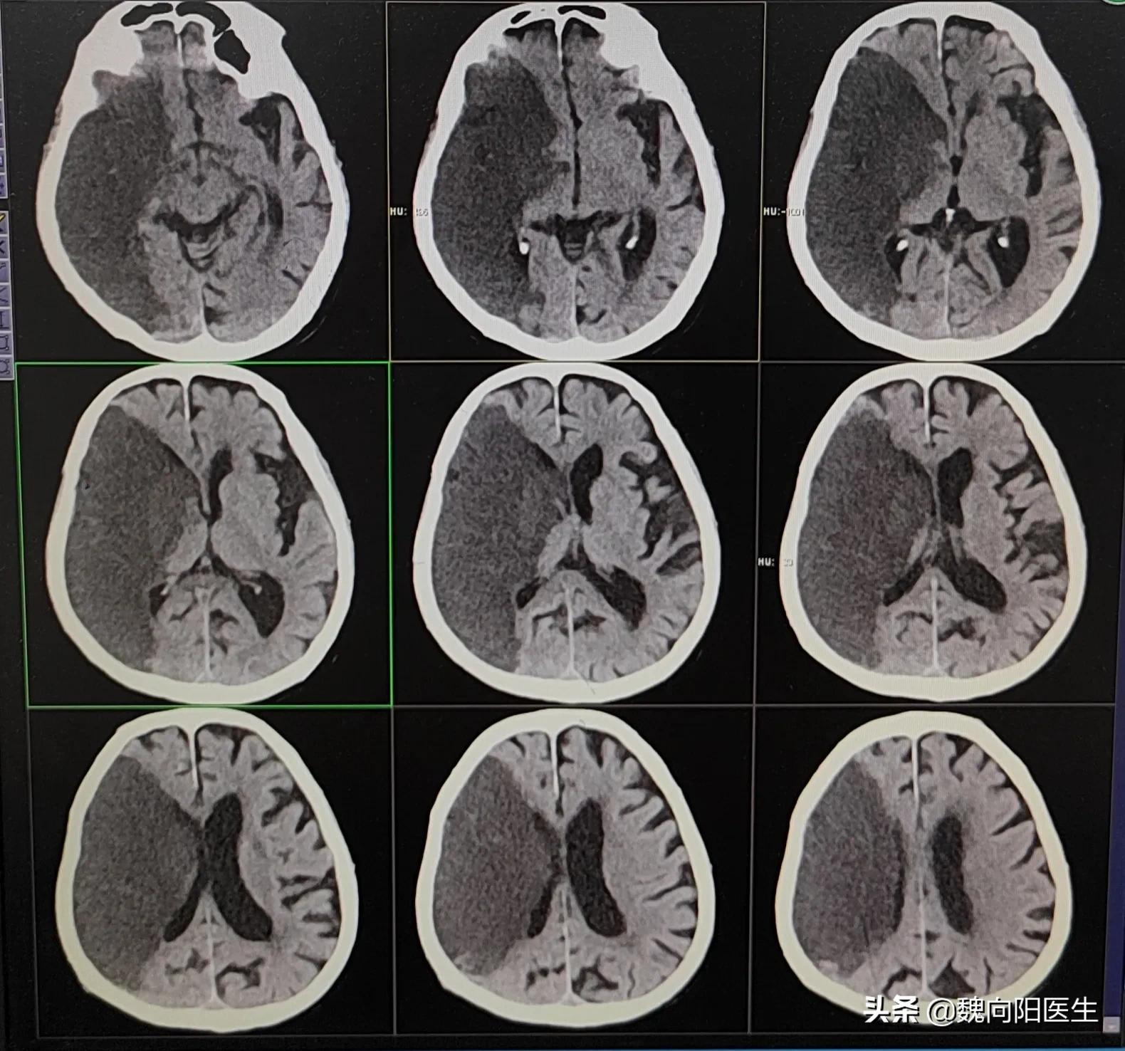
这是一个80多岁的老年患者,因为大面积脑梗塞入住医院,因为患者住院之后,意识欠清楚,不能自主进食。

医生建议患者下胃管治疗,必要时鼻饲饮食,经过长时间的与患者家属沟通之后,终于同意下胃管治疗。
听说患者有一个在药房工作的子女(已经退休),坚持拒绝老父亲下胃管治疗。
下胃管之后,抽出咖啡色胃液,告知患者存在应激性溃疡,考虑有消化道出血。
刚跟患者家属说明这个问题,家属马上就沉不住气啦,认为是下胃管导致的出血。
真的是下胃管导致的应激性胃溃疡吗?
应激性溃疡 (stress ulcer,SU)是指机体在各类严重创伤、危重疾病等严重应激状态下,发生的急性消化道糜烂、溃疡等病变,它最后可导致消化道出血、穿孔,并使原有病变恶化。
重型颅脑创伤、脑出血、大面积脑梗死都是应激性溃疡的诱发因素。
因此,这个患者的胃出血,考虑是由于大面积脑梗死导致的应激性胃溃疡。与下不下胃管根本没有关系。
下胃管的目的是为了尽可能的引流出咖啡色胃液,以防胃液反流引起,引起吸入性肺炎。

肺部感染
对于没有咖啡色胃液的患者,可以及早进行胃管进食。尽可能维持肠道菌群的稳定,以防肠道菌群移位引起二次感染。
下胃管,患者并没有太大的痛苦,对于评估吞咽有障碍、不能进食或怀疑胃肠道硬经溃疡者,需要尽早下胃管。
@魏向阳医生
