踇外翻是一种常见的足部畸形,主要发生在女性朋友身上。原因是踇外翻的发生与穿鞋不合适有很大关系,比如女*爱性**穿的高跟鞋就是发病原因。此外,遗传因素也是重要的发病原因,以及像类风湿性关节炎这样的系统性关节疾病的患者也常患有踇外翻。


踇外翻早期除了外观不美丽、选鞋困难等并不会给人们带来太多不适。随着外翻畸形加重,会产生疼痛,并发拇囊炎、爪形趾、鸡眼、脚垫等,严重影响生活和工作。所以一旦发现,要尽早防治!

防治措施:
1.选择合适的鞋子,鞋跟不能太高、鞋头要宽松,注意要拒绝高跟鞋;
2.加强足底肌肉的力量锻炼;
3.借助矫形器械。

当外翻畸形严重,疼痛严重影响日常生活时,就需要毫不犹豫地选择手术治疗了,否则延误治疗时机会造成更大的损害。
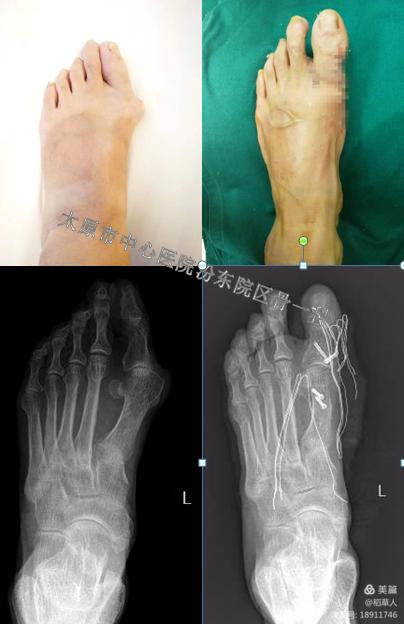
手术治疗可以有效矫正踇外翻畸形,恢复美观,消除疼痛。

这是一位24岁的年轻女孩,经过手术后成功恢复了美丽的外观。

这是一名19岁的男孩,虽然年纪很小,但是踇外翻已经已经很严重并且累及临近的足趾,出现了爪状趾畸形,于是需要附加做松解及术后的石膏固定。

这是一位57岁的大娘,术后疼痛明显缓解,等她完全康复后,又可以愉快的去跳广场舞了。
关于踇外翻就说到这里,如果你想了解更多关于踇外翻的问题,欢迎咨询太原市中心医院骨科汾东一病区!
科室专家

杜虎羽
骨科汾东一病区负责人,硕士研究生导师,主任医师,副教授。
山西省足踝学组委员、中国医师协会骨科医师分会足踝专业委员会委员、中国医师协会运动医学分会足踝外科学组委员、山西医学会手外科学分会常务委员、山西医师协会显微外科分会副会长。
擅长足踝外科疾病的诊断和治疗。

牛建鹏
副主任医师,脊柱外科组长,山西省疼痛医师协会委员,脊柱内镜专业委员。
擅长用微创技术治疗腰椎间盘突出症、颈椎病、腰椎管狭窄症、脊柱源性顽固疼痛、颈源性头痛头晕、神经痛、内脏神经痛、会阴痛、肩周炎、膝关节炎等引起的病痛。

刘君
主治医师,硕士,足踝外科组长。中华医学会骨科分会足踝外科学组青年委员、中华医学会运动医疗分会足踝工作委员会青年委员、中国医师协会骨科分会足踝工作委员会青年委员。
擅长足踝外科疾病的诊断和治疗。

张乐
主治医师,手外科组长,江西显微外科分会委员。
擅长断肢(指)再植,各类皮瓣、组织瓣修复,手(拇)指再造,肢体功能重建与肢体畸形矫正与延长等。
科室介绍


太原市中心医院骨科汾东一病区,是新院区首批搬迁成立的科室,初期进行专业细化,突出各专业特色,形成“科有特色、人有专长”的专业化发展模式,技术实力及人才梯队建设处于山西省内领先水平。
科室目前具备的硬件设施有:术中透视C臂,彩色多普勒血管探测仪,prp治疗仪,德国体外冲击波治疗仪,微波治疗仪,各种显微器械,下肢充气泵治疗仪,电动腰椎牵引及按摩理疗仪,四肢康复锻炼仪器,骨折治疗仪,专业正规的康复矫形工作室等。
供稿:骨科汾东一病区
图片:骨科汾东一病区
校稿:宣传部 田星
责编:宣传部 马剑茹 仇小斌