自从新冠放开之后,新闻上随处可见60岁以上老人感染新冠,病情加重,不幸去世的消息。所以,你或多或少听说过。
比起新闻上冷冰冰的字眼和提醒,以及不幸去世的老人,我似乎是幸运的,又或者是不幸的。
不幸在于没有及时觉察老人的病情加重,幸运点在于,老人送医之后病情得到控制,目前转危为安。
所以,我愿意用亲身经历,对家里有 60 岁以上的老人,多嘱咐几句:警惕老人新冠“低烧”,及时送医(希望您能看完)。
88岁姥姥:每日步行2公里
2023年,姥姥即将迎来88岁大寿,但此刻却因为新冠被困在医院的病床上。你也许会说:人老了,多多少少都会得病,住院是很正常的。
但,这一次,是姥姥生平第一次住院。而且,未感染前,姥姥每日步行超过2公里,无基础性疾病。

右图:去电影院看电影的姥姥
郭德纲常说:于谦有3大爱好,抽烟、喝酒、烫头。
比起于谦,我88岁的姥姥爱好平常很多,那就是:吃猪蹄、看电影、逛大街。
她的体力,让做外孙女的我都自愧不如。所以,当她开始发烧时,我天真地以为:吃过退烧药,就能恢复如初。
可没想到,眨眼之间,病情就恶化到住院的地步。
忽视老人“低烧”
元旦初始,姥姥开始“低烧”,温度只比平时高5度,37.3。刚开始低烧的时候,姥姥的状态和往常别无二致,饭量也不错,所以只服用了布洛芬。
但是我忽略了一点:作为88岁的高龄老人,平时的温度就要低于年轻人,37.3的温度,已经在危险的边缘。
可当时的我没有认识到这一点。
服用布洛芬之后,姥姥的烧退了,但是精神头明显弱了一些。第二天虽然反复了一下,但是第三天,第四天都没有发烧的迹象。就当我们觉得姥姥挺过去这一关之后,顽固的新冠又给我们开了一个大大的玩笑。
第五天,姥姥的胃口还是弱,妈妈犹豫着要不要去看医生,本着能不去医院就不去医院的原则(主要怕医院病菌多),我没有采纳妈妈的意见。
结果当天晚上,姥姥再次烧起来,头也抬不起来,还伴随着呕吐。
妈妈也吓哭了。
我突然意识到:姥姥的病情恶化了。那一刻,我开始埋怨自己,但也有一丝侥幸:姥姥温度不高,就算去医院,病情也不会严重。
可事实却狠狠地打了我的脸。
病情恶化,立即入院
第二天,我们抱着忐忑,又有一丝侥幸的心,拍了肺部CT。

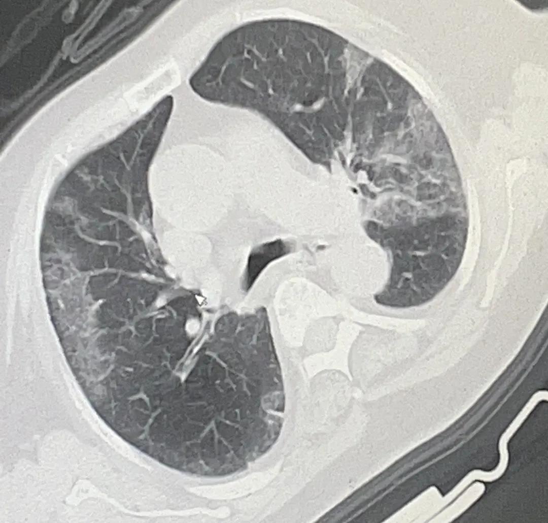
姥姥肺部影像(部分)
可以看到,姥姥双肺已经出现大面积的白色块状物,看到肺部影像,医生建议:病情恶化,立即住院。
但,没有床位。
虽然是意料之中的事儿,但这个时候,用尽全部的力量也要让姥姥可以入院治疗。
好在护士答应去各个科室问问情况,最终在多方打听下,呼吸科还余一个床位,明天就可以办理入院。
悬着的一颗心,暂时落了下来。
那些濒临在“生死”边缘的老年人
输液,打针,雾化,吸氧,抽血,CT,吃药……

病床
相比上了呼吸机,在ICU的老人,姥姥是幸运的,在病床上躺了几天以后,她终于可以睁开眼睛,动动手了,精神状态也有所好转。
后续还需要为期10天左右的治疗,但希望就在前方,姥姥好似已经挺过了这一关。
但,那些徘徊在生死边缘的老人呢?
在医院的这段日子,我看到了,因为新冠引起并发症而死亡的人;看到了呼吸衰竭没了心跳的人;还听到了在病房中痛苦*吟呻**的人……
呼吸科大概20个病房,住满了因为感染新冠肺炎的老年人,花白的头发,蜷缩的身体,此起彼伏的*吟呻**声……
这一幕幕,刺痛了我,也让我认识到:老年人,感染新冠,是一定会危及生命的!
关于老人“新冠”,我们应该注意什么
回顾姥姥这次感染新冠,我总结了一些比较常见的表现,以及容易被我们忽略的情况。
- 反复“低烧”,这里的“低烧”是指高于老人平时的温度。
这里多说一句:布洛芬刺激胃,对肠胃功能本身就弱的老人来说,容易引起呕吐,谨慎服用。
- 食欲不振,饭量逐渐减少。
- 精神萎靡,抬不起头。
- 咳痰,痰的颜色逐渐变黄,且频率增加。
- 血氧晚上低于92%,白天低于95%
以上五点是我们比较常见的情况,不常见的一点是:持续性打嗝。
无论是喝水,还是吃饭,都会打嗝,不间断打嗝3-4次以上,很可能是新冠引起的脾胃不适,不要大意。
如有以上 6 点,或者你已经判断,老人感染了新冠,且状态不断变差,不要犹豫,请及时就医。
写在最后
个人觉得,姥姥此次的脱险,很大程度上在于身体素质过硬。如果本身就有基础疾病,比如冠心病,糖尿病等,感染新冠就更不能忽视。
不要觉得“病情恶化”离我们很遥远,或者听到哪个老人感染以后,很快就康复。再或者感染新冠的人那么多,不可能轮到自己。
哪怕是万分之一的概率,也不要掉以轻心,毕竟那是我们的家人。
世界上最痛苦的事情,莫过于失去我们的家人。
感谢你看到这里,如有需要,可以转发到家族群或者朋友圈(愿我们的家人平安)。
图片与文字均为原创,转载需注明,文章为个人观点,与平台无关。