2023年1月中旬,山西的患者郝女士非常开心,没想到自己脑袋里的“病”经过短短21天的治疗就已经康复可以出院休养,可以在家过春节了!她说特别感谢肖庆主任和整个医护团队的精心治疗和照顾,帮她摆脱了疾病痛苦,对生活重新燃起了希望。
视频加载中...
郝女士刚刚41岁,平日体健,生活平淡且幸福。但入院前两周前无诱因出现头晕、恶心、走路不稳伴向后倾倒、头顶闷胀、视力下降、记忆力明显减退等症状,并且随着病程的增长,症状也越来越严重。郝女士在家人的陪伴下到当地医院就诊,听医生说自己脑袋里有积水和囊肿的那一刻,郝女士和家人都慌了神。

为了寻求更好的治疗,郝女士和家人赶到了北京,就诊北京某著名三甲医院,进行头颅MRI检查提示脑积水、四叠体池蛛网膜囊肿,看诊的专家表示做分流术的话很容易发生并发症,建议找治疗脑积水更专业的肖庆医生进行神经内镜治疗,给年轻的自己一个不必终身带管的机会。

郝女士家人在网上查了资料,了解到肖主任在这个领域做得非常好,成功案例也挺多,技术也是非常精湛,于是听从三甲医院专家的建议转院到了航空总医院神外四。
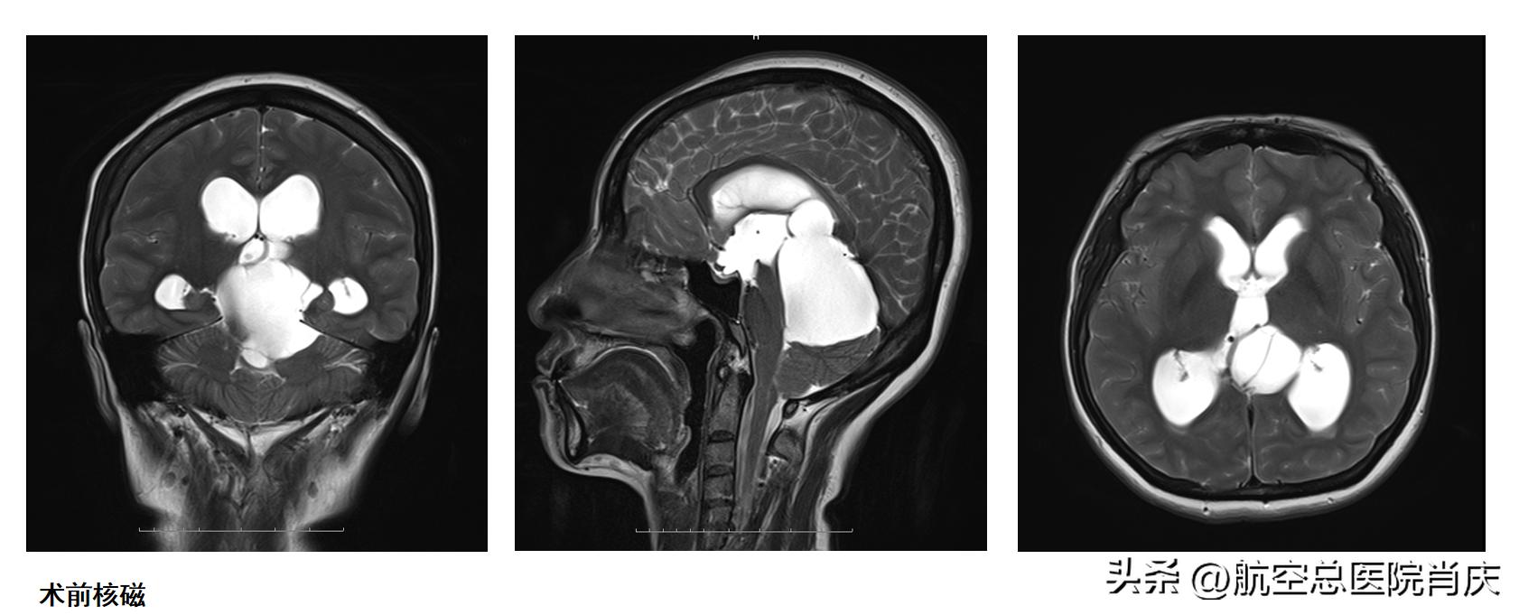
郝女士入院后,积极完善各项术前检查,头颅MRI提示四叠体池囊性病变,脑干、小脑半球及第四脑室受压改变,伴幕上脑室系统扩张。肖庆主任和团队对患者病情进行详细的诊断评估,进行会诊讨论,制定了科学周密的手术方案。

术后微创刀口
入院五天后,肖庆主任团队为郝女士在全麻下行神经内镜检查术,术中探查第三脑室后部,明确四叠体池蛛网膜囊肿,行蛛网膜囊肿造瘘术,留置脑室外引流管路并连接抗返流引流装置;行第三脑室底造瘘后见基底动脉搏动可,并松解基底池内粘连。术后保持引流通畅并抗炎治疗后,郝女士症状好转,头也不晕不痛了,视力和走路也都恢复了正常,进行头颅MRI及头颅CT复查示脑室系统无明显扩张,囊肿较前缩小,已经可以出院休养。

术后CT颅骨VRT可见微创骨孔
郝女士和家人对手术效果非常满意,通过神经内镜微创治疗,只有一个特别小的创口,恢复得很快,一直感慨没想到脑袋里的病可以这样治疗,完全消除了之前一想到要在脑袋上动手术害怕、担心、焦虑的心情。