最近有读者朋友留言提问,为什么每年查体,后来还是有同事得了晚期肺癌?定期体检防不住癌症吗?那还体检干啥?
豪大夫也曾遇到两位不幸的病人,一位50岁男子,五一体检没事,国庆节查出肝癌晚期,这位病人已经不在了;还有一位女士,6月份体检没事,9月份反复低热、胸水,结果胸水里找到了低分化的腺癌细胞……
不过幸运的是,这位女士抗争了8年(化疗和靶向治疗为主,花了40多万),生活质量一直还不错。

翻看历史,我们发现人类文明繁衍至今,曾经受到过很多次烈性疾病的考验,比如鼠疫、天花、疟疾、非典……最终人类都取得了胜利!
有的是找到特效药,阻止了大批病人死亡,比如利福平、异烟肼等控制了“痨病”;
有的是找到了阻断的方法,找到了特效的疫苗,比如天花;

还有一些至今尚未攻克,只能及时阻断发生,比如艾滋病毒、狂犬病;
而近几十年来,正处在攻克的过程中,前途光明但眼前依然有黑暗的,当属令人闻之色变的:癌症!
目前来说,很多早中期癌症,通过及时手术或其他特效治疗,可以实现治愈!甚至少部分晚期癌症,比如绒毛膜上皮癌、某些淋巴瘤,可以通过化疗治愈。
于是人们开始思考:既然癌症早期可以治愈,晚期大多没有良策,能否做到全部早期发现呢?
比如很多癌症虽然早期没有明显症状,但通过健康体检可以及时筛查出来!如早期胃癌、肝癌、乳腺癌、宫颈癌、肺癌等等。
那么,定期体检就不会得晚期癌症吗?
对不起,还不行!
健康体检就像渔网捞鱼,只能捞大鱼,小鱼可能会漏掉。
相对的,越便宜的体检套餐网眼越大,漏的会更多一点。
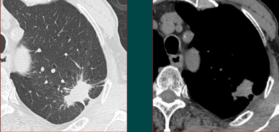
举个例子:很多单位的年度体检,肺部会选择胸片而不是胸部CT。
而胸部X光片对早期肺癌的漏诊率很高,因为分辨率不够,还存在视野盲区。

像图中箭头所示这种小肺癌,胸片不显影,肯定会漏诊,但CT可以筛查出来,密切跟踪,及时治愈。
这种情况该怎么办呢?
我们建议:40岁以上女性(有肿瘤家族史者不妨降低到35岁以上)、烟民或者经常接触二手烟者、长期接触厨房油烟者,胸部体检可以自费加做一个CT。
这样做有什么好处呢?
我们看一个比较遗憾的病人:

这位女士在钡餐体检时发现左肺尖高密度影。
这里的病灶常见于肺结核、尘肺等,但必须进一步CT检查除外肺癌。
遗憾的是病人没有选择自费进一步检查,自述年轻时可能得过肺结核。
结果一年以后,病灶长大了:

并且发生了淋巴结转移,不能手术了。
所幸现在晚期肺癌也有很多治疗手段,比如化疗、放疗、射频消融术、靶向药物治疗等。
这位老太太经过一年治疗之后,病灶明显缩小了:

晚期肺癌病人生存4、5年以上的越来越多了(不过治疗费用都不低)。
期待4、5年以后,能够涌现更多、更有效和更便宜的靶向药物和免疫制剂。
如果发现肺部病灶,想确定是不是肺癌,该怎么做?
一般来说,发现了肺部小病灶,首先都要做一个胸部螺旋CT,如果是实性结节,可能还需要增强扫描观察病灶的血供特点,鉴别炎症、结核球和肿瘤。
胸部CT配合增强扫描,加上肿瘤标志物检测等临床资料,可以明确大部分恶性肿瘤。

这个病例是豪大夫的师傅,山东肿瘤医院的黄教授提供
这位病人是一位78岁的老爷子,体检发现左肺不规则结节,有毛刺,有胸膜牵拉,高度怀疑肺癌。
但是增强扫描发现病灶没有任何强化,说明病灶没有供血血管,提示这是一个结核球(结核杆菌会破坏一切,形成局部干酪样坏死,没有血管所以增强扫描不强化;少数活动期病灶可以周边包膜样强化;极少数明显均匀强化)。
后来进一步穿刺证实为结核性肉芽肿,避免了挨一刀。
再引申一个常见的疑问:查到肺结节,医生建议随访观察,会不会错过手术机会?
很多人查到肺结节会非常紧张,担心随访观察结节会拖延到晚期,耽误治疗。
我们总结发现,小病灶绝大多数生长很慢,不会在短时间内增长到晚期。

像这个磨玻璃病灶,长径4毫米,3年的时间长到下图这个大小:

手术切除证实为浸润性腺癌,没有耽误治疗。
这个结节属于生长比较快的。
一般来说,吸烟者或频繁接触二手烟者,发现肺结节要谨慎,随访间隔要缩短,因为这个群体的肺结节,可能生长速度更快一些。

上图是一位老年男子,抽烟半辈子,体检发现右下肺实性小结节,直径5毫米。
仅仅1年后,增大数倍并且广泛转移了,很可惜:

至今有烟民质疑抽烟是否真的会致癌,这种明晃晃的例子比比皆是,为啥总是视而不见呢?
我是影像科·豪大夫,感谢阅读,希望对朋友有启迪!
如有疑问,可以在留言区提问,我会酌情回复!