我们坚持的是:不该做的手术绝不做!我们发布的,都是科室真实案例!著名逻辑学家吴家国教授在他的《普通逻辑》上说:“只有分析地阅读,才能学得深透,不致囫囵吞枣,一知半解;只有综合地阅读,才能学得完整系统,不致断章取义,以偏概全。”我觉得,这不单止在逻辑上,不单止在阅读上,还有在生活阅历上,也是适用的。 --- by 已无力回复喷子的小编。
受尽烫伤苦痛 终究回来手术

简样(化名)的外观照
简样(化名),49岁,住着5床。
是位农民。被诊断为“脊髓型颈椎病”。这是我科是常见的、普通的疾病。
但因他脖子后面、两小腿都有多处类似圆形的烫伤疤痕而受到了特别关注。这是中医的一种瘢痕灸。

简样的MRI片子
事情是这样的:
简样半年前开始出现脖子痛。刚开始脖子痛的时候休息可以缓解,所以简样就没有管它了。后来发展到两手掌内侧小鱼际的地方、无名指和小指麻痹,两足底麻痹。
于是,去汕尾某医院看医生的。当时给拍了MRI,结果显示:
椎间盘突出(第3椎体和第4椎体间的椎间盘、第5椎体与第6椎体间的椎间盘突出);后纵韧带及黄韧带增厚(第5颈椎及第6颈椎水平后纵韧带及黄韧带增厚)等。
结合症状,医生建议简样手术治疗。可是,对于一位淳朴的农民来说,在脖子上动刀,那就是在太岁爷上动刀子,要命的啊!
没多说的,简样要求医生给开了药,就离开医院了。
这个世界上还没有药是能够让突出的椎间盘缩回去,让增厚的韧带减肥的。所以毫不意外,简样吃了药之后,手脚麻痹,走路不稳依然没有得到改善。

在简样心里,脖子上动刀子,就是打着灯笼上厕所---找死的事情。可是吃了药,又一点用都没有。
正愁着的时候,听隔壁老王(当然也是化名)说有一位老中医,包治百病!于是,简样就决定去试一试。
老中医说,因为寒气阻塞经络,不通则痛,不通则无力的。所以,祭出最经典的驱寒大招:瘢痕灸。
瘢痕灸怎么整?
就是拿一小壮艾柱(用艾叶磨成粉捏成的小金字塔),点燃之后在选定的穴位上涂上油或者蒜汁,将小艾柱粘在上面,艾炷燃尽后,再来一次。等所有小艾柱都点完了,皮肤结了疤痕。若皮肤出现红、痛、水泡都属于正常范围。

百度上的瘢痕灸操作方法
只是打字描述这过程,小编就觉得痛得不得了。不知道当时简样是怎么撑下来的。但不幸的是,受尽苦楚,症状却得不到控制。

在手麻痹的基础上,发展到拿着筷子都掉了的状态时,简样终于都受不了,搭高铁去了广州,来到南方医科大学第三附属医院。
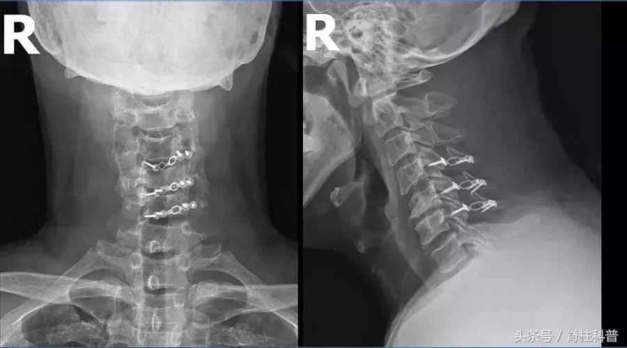
2018年6月19日被张忠民主任以“脊髓型颈椎病”收治入院。2018年6月24日,在气管插管全麻下做了减压和内固定的颈椎手术。(颈椎后路单开门式椎板成形术+ARCH钢板内固定术)

简样的“脊髓型颈椎病”在我们科室是收治的常见的疾病,我们习以为常。但是在门诊与病人及家属沟通手术必要性的时候,依然是被病人及家属拒绝的多。
相信大家最近在朋友圈随时都可以看到《我不是药神》的影评。《我不是药神》这部电影讲就是因“‘格列宁’这款可以很好的控制慢粒白进展的药非常昂贵”而引起的一系列情节。
“脊髓型颈椎病”相比于“慢粒白”来说,比之不幸的是,没有药物能够让损伤的脊髓得到恢复,也没有药物能够让退变的颈椎“年轻化”。
比之幸运的是,脊髓型颈椎病可以通过手术来解除瘫痪,而“慢粒白”却不能。
不知道那些在听医生说完:“这个病(脊髓型颈椎病)没有药可以治的”的病人,会不会羡慕有药可吃的“慢粒白”病人呢?
哈哈。行走诚可贵,且行且珍惜吧。

指导医生:南方医科大学第三附属医院 脊柱外科 张忠民主任医师、王亮医生